Cookie Consent byPrivacyPolicies.comExtraction, implantation et mise en vitrine - Eugenol

Extraction, implantation et mise en vitrine

Aiguille cyboyt - Eugenol
fatboy

04/03/2021 à 12h01

Salut à tous,
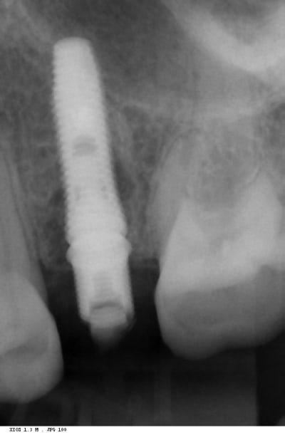
Patiente 54 ans avec fracture radiculaire sur 25.
Bon état général. Bruxisme, mais porte une gouttière.
Quand je lui explique le problème et la solution, le fait de rester sans dent ne serait ce qu’une journée lui est “inhumain “.
En général, j’ai une solution, je fais très souvent des Maryland bridge, ou je colle une provisoire sur les dents adjacentes, ou je vire une couronne pas top à côté et je mets une couronne en extension. Je n’utilise jamais d’amovible (je trouve ça plus inconfortable que rien, et psychologiquement, ils prennent un coup de vieux quand tu leur refiles le berlingot).
Rien n’est possible dans son cas, pas assez de hauteur coronaire.
Bref, je regarde un peu mieux mes radios (il n’y a pas d’infection apicale, la racine est fine, le forage serait décalé en palatin par rapport à celle ci, assurant un bonne stabilité primaire, je peux même aller chercher la corticale sinusienne pour l’augmenter, si je veux.
Et c’est parti.
Incision de 24 à 26 en vestibulaire et palatin (je veux pas faire à proprement parler de lambeau, la cicatrisation sera meilleure), que je recline jusqu’à la crête, mobilisation de la dent, extraction douce.
L’alveole correspond au plan, la paroi vestibulaire est intacte comme en distal, il manque 2 mm en mesial et 5 en palatin.
Forage, je franchis la corticale sinusienne avec le premier forêt, pas avec les autres.
Vissage d’un dentium superline SLA en 4x14mm bloqué à 30N.cm, je monte à 55.
L’implant est enfoui en D, il manque 5 mm en P, 1 en M, et 8 en V.
Je réalise la couronne provisoire avec un moule Ion que je rebase avec de l’unifast sur un pilier provisoire que j’ai réduit. C’est très important de polir parfaitement la partie sous muqueuse.
Je laisse 2mm d’inocclusion.
Je comble l’alvéole au bio-oss recouvert par des gelatemp que j’aplatis pour en faire des membranes.
Suture et radio.
Conseils post-op habituels + ne mordez pas de ce côté pendant 3 mois.
Rendez-vous dans 2 semaines pour contrôle.
J’ai déjà fait cette technique plusieurs fois avec un seul échec, une 11 sans une bonne stabilité et un patient qui je pense n’a pas respecté le fait de ne pas mordre.
A vos claviers.

Bnx7mxjxjmoxyjwspayv - Eugenol
B6pxngnsvo3mrfwrooon - Eugenol
Q4obhtaiuey4gr9nvjiz - Eugenol
Akx0rejdbig5q9wgszgi - Eugenol
Xobagwvd5ijf7yrk9bi5 - Eugenol

raeko

04/03/2021 à 12h31

Je serai toi, j'appellerai ou ferai appeler la patiente au bout d'un mois pour lui dire de surtout pas manger dessus. Parfois, certains pensent qu au bout d un mois c'est bon..


Photo pluton1b h9n4ea - Eugenol
pluton

04/03/2021 à 13h04

Propre, simple et efficace, good job 👍


Image r6habu - Eugenol
Thomas Crown

04/03/2021 à 13h53

Est ce qu'il faut une expertise ou une démarche particulière pour décider de franchir la corticale sinusienne ou pas ? le fais tu à chaque fois ? j imagine que cela augmente la probabilité d avoir un bon torque et stabilité primaire, mais est ce indispensable ? et est ce potentiellement dangereux ? cas nickel !


Gabzou

04/03/2021 à 14h55

+1: pourquoi la corticale sinusienne? Pas moyen de poser un implant plus court? J'ai l'impression que çà aurait été suffisant (mais peut être pas pour la mise en charge immédiate?).


Aiguille cyboyt - Eugenol
fatboy

04/03/2021 à 16h09

Ce n’est pas une mise en charge, juste une mise en vitrine, un peu comme une vis de cicatrisation un peu plus grosse (et plus jolie...). Mais il faut quand même une très bonne stabilité primaire. Sans ça j’aurais sûrement mis un implant plus court.
D’où l’intérêt d’utiliser la corticale, la perforation est contrôlée, seul le foret le plus fin a percé la corticale sans percer la membrane (j’espère) ensuite au vissage la corticale et la membrane sont gentiment soulevées.
Dans ce cas l’implant est très long, mais je le fais très souvent, ça permet de gagner 2mm de hauteur facilement sans faire un summers. Typiquement avec 8mm de hauteur je mets un 10mm, ou un 8 avec 6mm de hauteur c’est très courant. Jamais eu de problème sur des dizaines de cas.


Lebarbu24

04/03/2021 à 19h42

Tiens dentium ça m'intéresse ! Cet implant à une bonne accroche ?
J'ai fais pas mal de fois cette technique, mais je préfère combler avec os tuberositaire plus cônj par dessus lorsquil y a un manque d'une paroie osseuse. Les résultats sont top. Technique IDR de rosa ! Très bons résultats


Péach

05/03/2021 à 22h36

Merci Fatboy pour ta contribution mais 4X14, appui cortical, 2mm de sous occlusion et 55N/cm, je me serais satisfait de quelque chose de plus léger pour ma part : 4X12 à 35-40 N/cm sans perforation, avec appuis cortical peut-être mais sans perforation de toute façon
Après, ton cas marchera de toute façon sur le plan ancrage
Bonne continuation


Aiguille cyboyt - Eugenol
fatboy

06/03/2021 à 04h17

55 N.cm c’est pour passer la corticale, après c’est beaucoup moins. Et de toute façon, il n’y a plus de butée.
Je n’aime pas visser avec beaucoup de couple, ça provoque des douleurs et gêne même l’osteo-integration.
Dans ce cas, il faut être sûr que l’implant prenne, sinon, c’est une catastrophe. Et en voulant arranger la patiente, je me retrouverai avec un protocole plus long et une perte osseuse plus importante.
@lebarbu oui l’accroche est très bonne, meilleure que celle des direct et Nobel que j’utilisais avant.