Cookie Consent byPrivacyPolicies.competit bricolage occluso ortho implanto - Eugenol
Vw campersurfvan bmnk1q - Eugenol
enlaye

04/03/2021 à 20h09

Salut les collègues
je viens de revoir un cas que j avais fait en 2012/2013 ,
bon y a pas de quoi se taper le cul par terre , mais quand même suis content et cela me renforce dans 2 conclusions dont je vous ai déjà parlé ,
et puis comme tout ceci ne me regarde plus puisque je suis devenu ferrailleur , il n y en aura pas d autre ,

donc je reçois cette mamie à qui il manquait 35 et 36 donc plus de calage post puisque de l autre coté il manquait et il manque tjs un calage post ,
l implanto lui avait mis 2 implants 35 et 36 mais en position 35 ¼ et en 36 3/8eme ,
me suis dit , tient , il doit avoir une harley ou une jeep et il fait tout à l américaine en pouces ,
mais finalement , comme cette mamie avait une canine inverse et une 34 enquillée dedans , autant en profiter pour essayer de bricoler un truc ,
bien entendu elle ne voulait plus entendre parler de ttt de spécialistes à rajouter ,
bon ,à l époque elle avait déjà 76 ans la mamie , quand même :-)


Vw campersurfvan bmnk1q - Eugenol
enlaye

04/03/2021 à 20h12

alors j ai collé un téton sur la 34 et mis un elastoc ,
et elle a commencé à bouger , faut dire aussi que je l avais bien meulée cette 34

1 kgiwrd - Eugenol
2 bmkmy4 - Eugenol

Vw campersurfvan bmnk1q - Eugenol
enlaye

04/03/2021 à 20h23

bon la 34 a bien reculé .
fallait maintenant reculer la 33.
bon faut pas rever , sans fil de fer ou gouttiere je ne pouvais pas a la fois la reculer et la lingualer .
donc le but c etait surtout de sortir le haut pour virer cette occlusion inverse .
alors une fois que la canine avait un peu reculé , je lui ai mis un petit pan de glissement dessus que je modifiais a chaque fois .

4 cfrurm - Eugenol

Vw campersurfvan bmnk1q - Eugenol
enlaye

04/03/2021 à 20h31

et en meme temps que le haut sortait , le bas rentrait .
sympa .

3 gy88sf - Eugenol

Vw campersurfvan bmnk1q - Eugenol
enlaye

04/03/2021 à 20h33

et au final avant ttt prothetique ça a donné ça

5 cbayb3 - Eugenol

Vw campersurfvan bmnk1q - Eugenol
enlaye

04/03/2021 à 20h36

ce qui m a permis de faire ça
janvier 2013

6 gqukbh - Eugenol

6szjws718sv1jksw54v4mpj3a6cu - Eugenol
vulpi

04/03/2021 à 20h37

enlaye écrivait:
------
> et en meme temps que le haut sortait , le bas rentrait .
> sympa .
Si tu avances quand je recule. Bah, c'est pas si mal finalement.


Vw campersurfvan bmnk1q - Eugenol
enlaye

04/03/2021 à 20h39

:-))


Vw campersurfvan bmnk1q - Eugenol
enlaye

04/03/2021 à 20h48

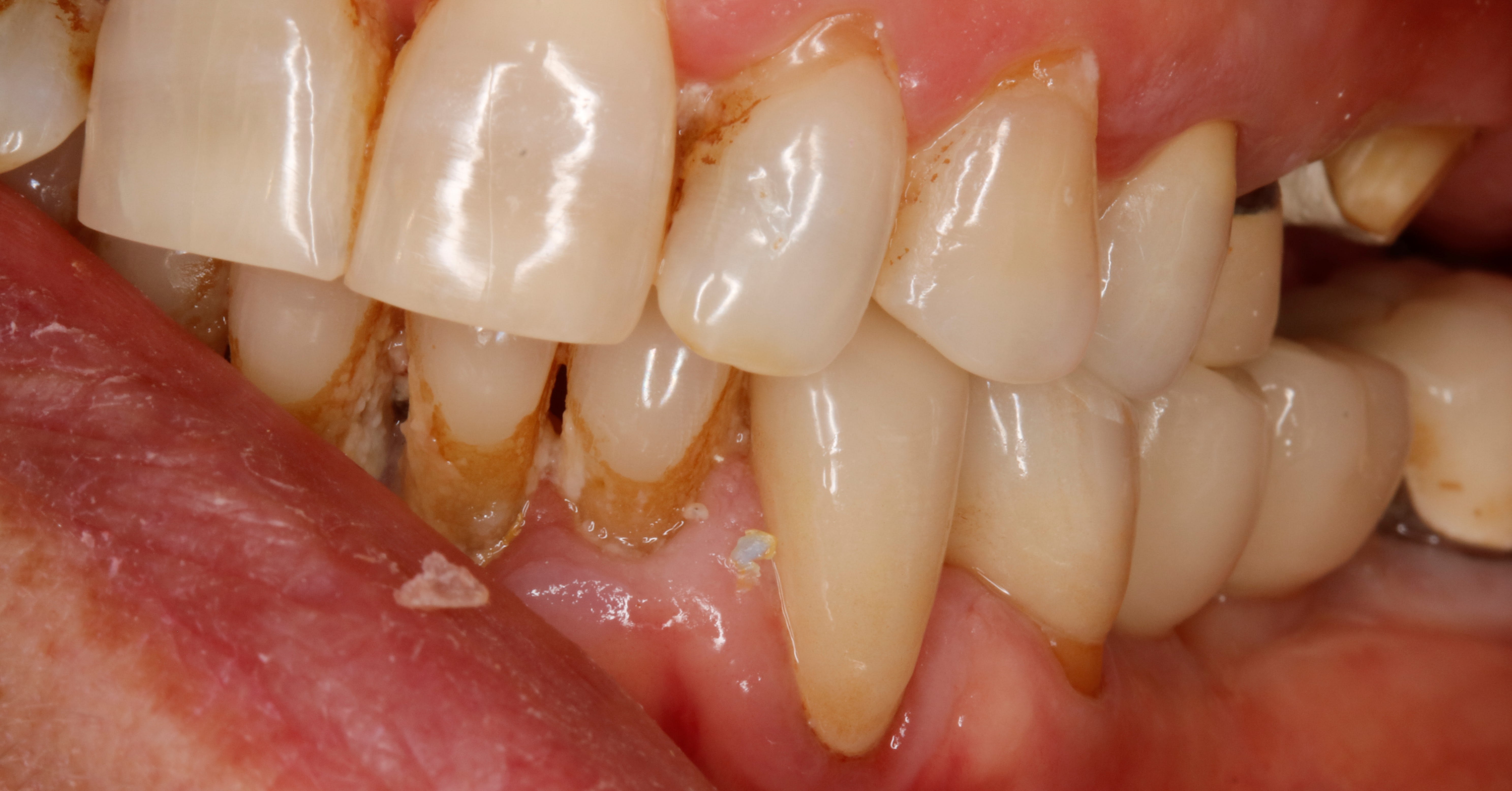
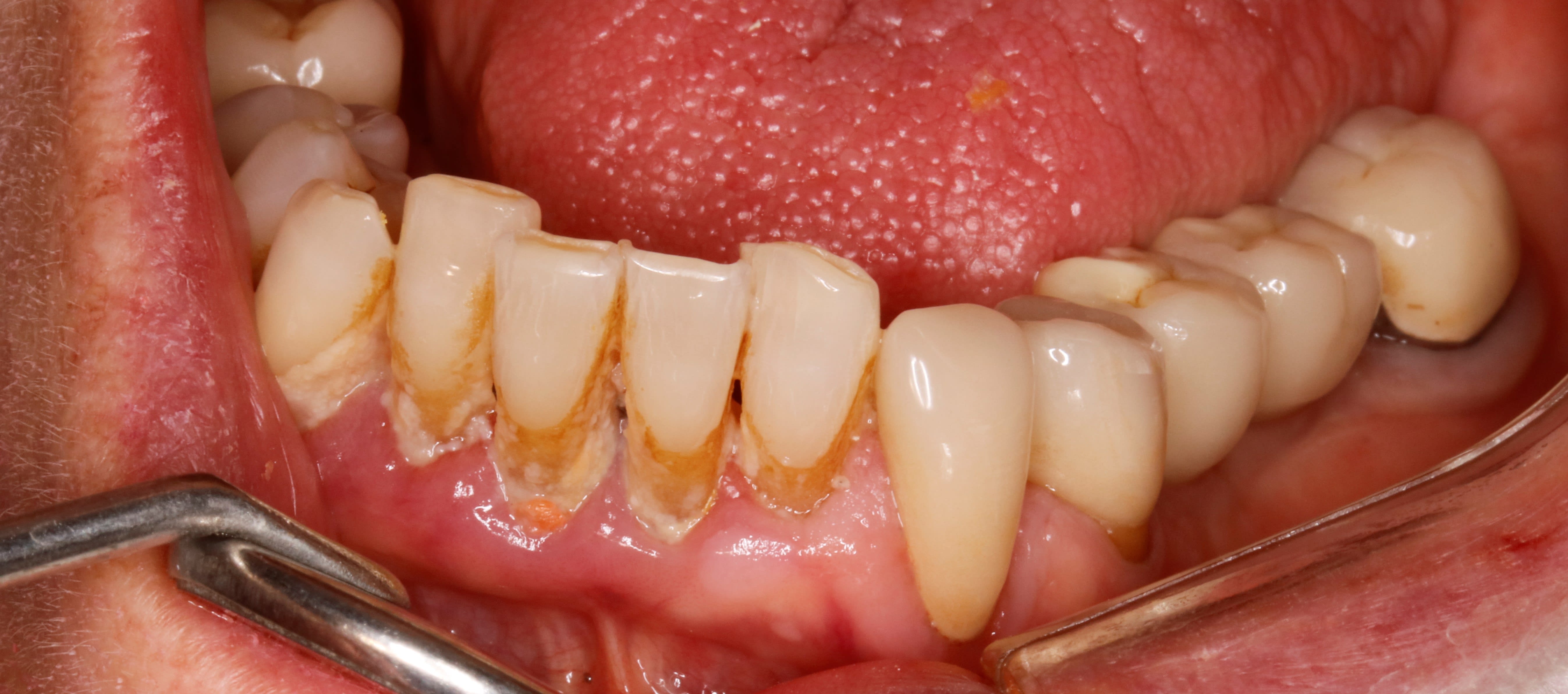
et là c est mardi passé , donc 8 ans apres et elle a donc 85 ans . j en profite pour lui refaire sa 26 .
et là il me vient 2 remarques qui sont flagrantes .
donc en attendant qu on en parle , vous pouvez commenter et critiquer ou pas ce serait avec plaisir .
et c' est quoi ces 2 remarques d après toi ?

8 bhzsyh - Eugenol
7 mzojmm - Eugenol

Nouveau image bitmap fz77zh - Eugenol
Sethef

04/03/2021 à 22h58

Y'a de la plaque partout, sauf sur tes cerams?
Les antérieures semblent avoir égressé et s'être lingualées, mais c'est presque l'évolution normale ça.

T'as mis combien de temps à tout faire bouger? C'est cool!


Vw campersurfvan bmnk1q - Eugenol
enlaye

04/03/2021 à 23h46

Sethef écrivait:
------
" Y'a de la plaque partout, sauf sur tes cerams? "

eh oui ç est la 1ere chose , et c est flagrant .surtout quand il n y a pas de metal , ici ce sont des @max
meme sur la 34 ou il y a une récession , ç est nickel .
alors tu me diras par exemple tel coté elle a mal au bras , et elle ne se brosse pas bien , ..., mais regarde la 24 pareil propre alors que le secteur 20 n est pas top
j ai tjs dit que la paro sans la prothese ç est du pipo en exagerant .
le fait de faire un curetage périphérique a la fraise grain fin du cément ben ça fait tjs du bien .deja pcq tu fais tout le tour , tu enlèves du tartre et du cément infiltré en proximal , ce que tu ne peux pas faire sans prothèse .
je pense que si j avais fait faire de l ortho classique par un pro sans prothese finale on aurait pas eu ça .
d autant qu il y aurait eu , d une façon classique une contention .
t imagines une hygiène pareille avec un fil comme ce serait pourri ? :-)

et j en viens à la 2eme chose que je remarque :
ç est que sans contention , sans solidarisation , ça n a pas bronché . je n ai pas perdu un point de contact .
je n ai meme pas eu de fracture de compo au niveau des angles
donc je maintiens que si c est bien équilibré la contention ne sert à rien . meme si c est une occlusion pipée comme ici .
pour le temps c est assez rapide , je te confirmerais ça demain en regardant les dates des photos . je dirais 3 / 4 mois . avec un état paro initial défavorable ça va vite :-) .
ce qui n empêche pas qu avec de la prothèse , ce soit stable .


doc.yoyo

05/03/2021 à 07h47

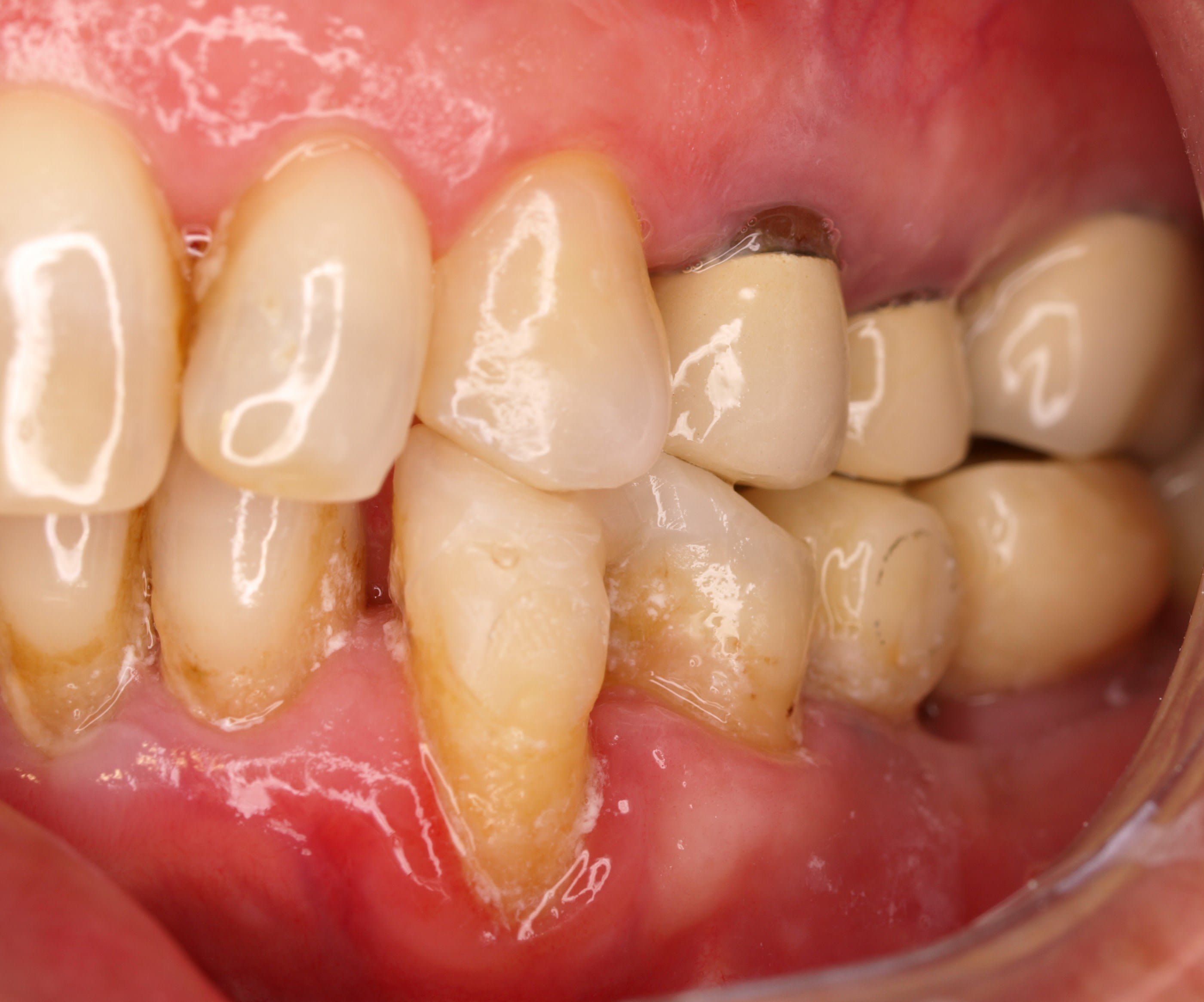
Beau boulot et amusant cette histoire de plaque mais pourquoi pas de plaque sur la 34 ?
car le cément a du s'infiltrer ? ou bien pouvoir bactéricide de l'emax ?


Vw campersurfvan bmnk1q - Eugenol
enlaye

05/03/2021 à 08h03

pour la 34 je pense à plusieurs effets .

- non on ne dirait pas que le cément soit infiltré . ç est lisse comme une mylolyse .
et je pense que c en est une tout simplement .
j avais dit que la mylolyse etait du petit courant piezzo qui pelait la dent .
et peut etre bien que ce petit courant a un effet bacterien , va savoir :-)
en tout cas là on re peut pas dire que que cette mylolyse est due à un brossage trop fort :-))
d ailleurs si tu remarques bien il y a rarement de plaque ou de carie sur une mylolyse active .


Vw campersurfvan bmnk1q - Eugenol
enlaye

05/03/2021 à 08h21

la deuxieme chose , c est que la racine a ete taillée .
et j ai pour habitude de tailler les racines à la grain fin en 1ere intention avec une ligne de finition simple . puis de repréciser la limite en fonction de la cicatrisation .
et quelques fois je la reprécise plus haut ou plus bas , tout dépend de la nouvelle attache .
et meme que souvent je surface les racines des dents d à coté en meme temps ( meme si je ne les couronne pas , hein )
et j ai remarqué que ce cement taillé , bon d abord il est plus lisse , logique , mais plus stable à l étanchéité . pourtant les paro te diront qu il ne faut pas tailler le cement .
enfin , ils le disaient en tout cas , je ne sais pas s ils le disent tjs .
voilà je n en sais pas plus que toi . je constate , c est tout .


Vw campersurfvan bmnk1q - Eugenol
enlaye

05/03/2021 à 08h34

ce qui veut dire , que pour un bloc ant comme ici où tout est infiltré pourri .
où il y a égression des dents + perte d os , forcement .
et si je tailles tout , je suis un fou ?? :-)
ça oui , ç est pas nouveau on le sait :-)
mais au final , si il n y a plus de plaque et qu en plus cela permettrait un ajustement occlusal , en plus d etre joli , est ce que serait du sur traitement ?? j 'suis moins sur du coup :-)


Vw campersurfvan bmnk1q - Eugenol
enlaye

05/03/2021 à 08h38

est ce que comme ici , si elle perdait une centrale du bas pour cause occluso /paro ce serait judicieux de poser un implant ? suis moins sur aussi du coup vu le contexte paro .


Aiguille cyboyt - Eugenol
fatboy

05/03/2021 à 11h21

Beau boulot!
Les taches rouges, c'est du bethel?


Vw campersurfvan bmnk1q - Eugenol
enlaye

05/03/2021 à 19h37

Sethef écrivait:
------
" T'as mis combien de temps à tout faire bouger? "
autant pour moi Sethef ce n est pas 3/4 mois .
la 1ere photo avec le teton sur pm est du 23.01.2012
celle sans tetons est du 02.10.2012
elle m a dit ma femme , toi t as pas la notion du temps .:-)


Vw campersurfvan bmnk1q - Eugenol
enlaye

05/03/2021 à 19h43

bon ,ben je croyais qu on allait discuter d une quelconque polémique ,histoire de rigoler , eh bien non .
caramba encore raté .:-))


Nouveau image bitmap fz77zh - Eugenol
Sethef

05/03/2021 à 20h23

Ben y'a rien à discuter, tu mets tout le monde d'accord.


6szjws718sv1jksw54v4mpj3a6cu - Eugenol
vulpi

05/03/2021 à 21h46

Au prix de l'emax c'est normal qu'elle les brosse. Les autres dents c'est du gratuit, elle est moins motivée.


Vw campersurfvan bmnk1q - Eugenol
enlaye

05/03/2021 à 21h51

alors , avec le rac0 il ne fait pas bon avoir des actions chez Colgate :-)


Orezza gazeuse verre litre ocoxey - Eugenol
casa

06/03/2021 à 07h23

Ahhh Enlaye , toujours aussi rafraichissant de te lire ! T'es un génie de la dentisterie ! Une petite hypothèse : tu as dis que de l'autre coté c'était pas terrible , donc ta mamie doit manger surtout de ce coté là ... d'où des dents nickels . Pour ma part , la mastication est aussi importante que l'hygiène .... Chez les patients sans hygiène mais qui ont une bonne occlusion et qui ne mange pas que du mou ,il n'y a aucun problème paro .


Vw campersurfvan bmnk1q - Eugenol
enlaye

06/03/2021 à 08h01

ouiiiii bien vuuu :-)
la fonction est auto nettoyante , j en suis persuadé .


Vw campersurfvan bmnk1q - Eugenol
enlaye

06/03/2021 à 08h37

tout est prévu pour sucer et avaler .
que ce soit pour le bol alimentaire ou pour la déglutition salivaire , tout doit refluer vers le haut au centre du palais et permettre à la langue d aider à avaler .
ce n est pas pour rien qu il existe un décalage oim - orc .
ç est ce mouvement qui permet à la langue de machiner vers l arriere alors que les dents frottent encore .( auo nettoyage )
ce n est pas pour rien non plus qu il existe des cingulums incisifs et des tubercules de Carabelli :
c est pour proteger le contour gingival lors de la chasse de la langue et ramener au centre en fin de mouvement .

donc dans un cas comme celui là , je pense , que le fait de liberer la canine , elle a pu à la fois retrouver le mvt avant arriere ( decalage oim/orc ) + une fonction d écrasement .( qui rappelons le n existe pas de l autre coté ) .
et il est fort possible que sa langue se soit rééduquée en conséquence . encore un plus pour l auto nettoyage .

à cela , vu que de ce coté le plan occlusal est pipé ( il n y a pas de courbe de spee ) il y a un frottement bout à bout et cela y rajoute l effet mylolyse .



12