Cookie Consent byPrivacyPolicies.commulti unit ou bien multi soucis ? - Eugenol

multi unit ou bien multi soucis ?

Vw campersurfvan bmnk1q - Eugenol
enlaye

23/03/2021 à 18h07

.


TA2

23/03/2021 à 18h27

enlaye écrivait:
------
> Adressé bien sur .
> Meme mieux c est moi qui ai pris rdv . Comme c est une de mes mamies gâtées , on
> a meme choisi sur le net ensemble :

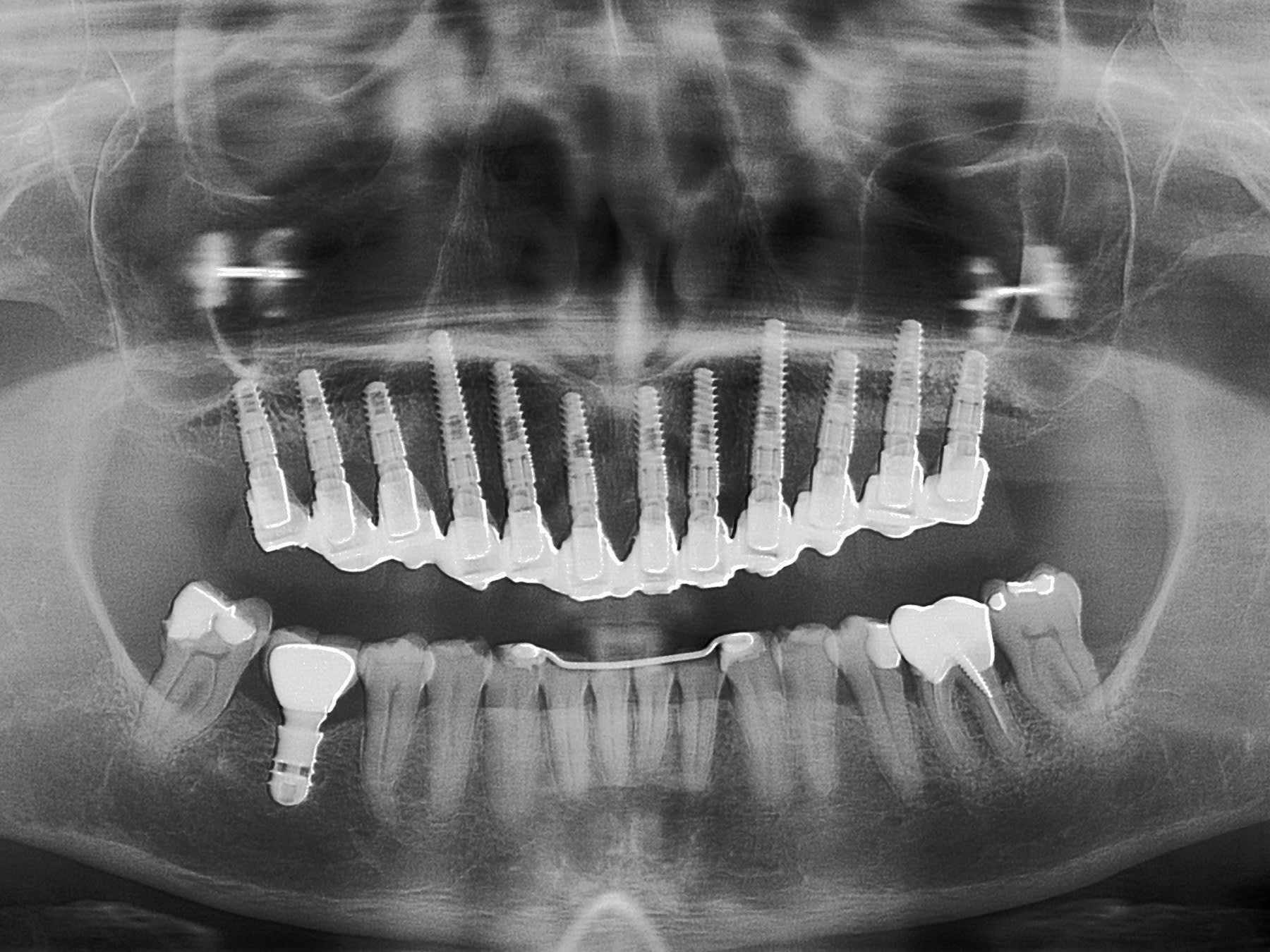
Attends t'expliques mal pour une fois , parce 4 implants antérieurs pour a priori un seul postérieur , je comprends pas enfin si c'est une complete sur locators , pilotis , transvissée ???

Moi sur le net j'achète mon bricolage , mes fringues mais le coup de l'implanto , type tourné manège j'adore ;o)))


bf

23/03/2021 à 18h43

à POSIT
compte tenu que tu ne vas pas au delà des 5 sup , c'est vrai que tu n'es pas gêné par la hauteur du tournevis
au delà des implants super bien posés les mettre aussi verticaux t'empêche de les mettre plus distal pourquoi en mettre 8 pour supporter que 10 dents


Utilisateur banni

23/03/2021 à 18h46

Si je ne me trompe pas les implants sont des Nobel, voici ce qui existe en connectique compatible Nobelreplace cornical en 45°. Chez Nobel il s'arrêtent à 30°. Là c'est proche de ton dessin.

Image1 dpvuai - Eugenol

Utilisateur banni

23/03/2021 à 19h09

bf le patient est jeune, il faut que ça tienne quelques dizaine d'années.


Vw campersurfvan bmnk1q - Eugenol
enlaye

23/03/2021 à 19h38

TA2 écrivait:
---
" Attends t'expliques mal pour une fois , parce 4 implants antérieurs pour a priori un seul postérieur , je comprends pas enfin si c'est une complete sur locators , pilotis , transvissée ??? "

ok je reprends :-)
- je l ai connu pour lui faire un bridge implantaire de 44 à 47 il y a quelques années sur 3 implants avec mon implanto habituel.
- 2019 , je suis obligé de couper son vieux bridge de son ancien dentiste 34 pilier 35 pilier 36 inter 37 pilier pour enlever 34 et 35 .et je lui fais l endo de 37 pour pouvoir la remettre dans le plan d occlusion .
oui pcq tout ses pb venaient de la 37 qui sortait de son plan d occlusion et retropulsait la mand bref un grand classique .
donc je lui dis : ma nine , il est hors de question de faire un bridge 33/37 il faudrait 2 implants de ce coté .
oui pcq je parle comme j ecris hein , , meme s ils viennent me voir en avion :-)
et puis va savoir pourquoi elle n avait pas accroché avec le cab de luxe du 1 er implanto , peut etre pcq elle est elle meme super luxe et comme elle m a dit on a pas besoin de m attirer avec un bar à putes :-)
donc on a cherché un autre implanto moins loin que le 1er .

imprévu , lors de la radio du nouvel implanto , l implant en position de 46 aurait lâché .
va comprendre ce qui lui a passé par la tete , il lui a dit : on va tout arracher comme ça vous serez tranquille et je m occupe de tout vous repartirez avec des dents .
dailleurs il y a eu un pb et elle n a pas eu ses dents le jour meme .....
peut etre qu il s est pris pour un portugais , va savoir , sur un malentendu .
et voilà tu sais tout et j ai démonté son bridge ppa prov hier .


Olieve

23/03/2021 à 20h17

enlaye écrivait:
------

> et puis va savoir pourquoi elle n avait pas accroché avec le cab de luxe du 1 er
> implanto , peut etre pcq elle est elle meme super luxe et comme elle m a dit
> on a pas besoin de m attirer avec un bar à putes :-)
> donc on a cherché un autre implanto moins loin que le 1er .
>
J’adore ta patiente :-)
Je suis triste pour elle que son implant soit foireux.
Le mieux c’est de déposer. Il y a pas la place pour un 6mm sans correction d’axe ?


Vw campersurfvan bmnk1q - Eugenol
enlaye

23/03/2021 à 20h36

Olieve écrivait:
------
" J’adore ta patiente :-) "
ah oui , elle est extraordinaire , puis elle a tjs quelque chose a te raconter , soit une bonne blague , soit un truc intime ou pas sur un tel homme politique ou une telle femme artiste , ou autre gonz tres connu de l époque , tu meurs de rire .

" Il y a pas la place pour un 6mm sans correction d’axe ? "
sais pas je vais lui faire passer une pano .


TA2

24/03/2021 à 08h14

Si jamais chouchou minou n'a plus envie de repasser par le stade tourne a gauche et foreuse , sans compter les temps de cicatrisation , tu pourrais envisager une vis de cicatrisation sur l'implant Pise qui deviendra orphelin et réaliser ta prothèse définitive sur pilotis .

Pour moi pilotis , c'est comme les couronnes pilotis , la prothèse tient par friction sur moignons , et le patient peut la retirer , une alternative aux locators . et donc tu auras toujours la possibilité si instabilité de la prothèse d’ultérieurement faire poser un autre implant .


6szjws718sv1jksw54v4mpj3a6cu - Eugenol
vulpi

24/03/2021 à 08h28

enlaye écrivait
> " Il y a pas la place pour un 6mm sans correction d’axe ? "
De là à abattre le poseur, ça y va fort ce matin.


Photo pluton1b h9n4ea - Eugenol
pluton

24/03/2021 à 08h44

posit écrivait:
-----
> Si je ne me trompe pas les implants sont des Nobel, voici ce qui existe en
> connectique compatible Nobelreplace cornical en 45°. Chez Nobel il s'arrêtent à
> 30°. Là c'est proche de ton dessin.
c'est bien du Nobel replace Posit.....mais le classique avec le trilobe.....pas du conical....


Photo pluton1b h9n4ea - Eugenol
pluton

24/03/2021 à 08h47

bf écrivait:
--
> à POSIT
> compte tenu que tu ne vas pas au delà des 5 sup , c'est vrai que tu n'es pas
> gêné par la hauteur du tournevis
> au delà des implants super bien posés les mettre aussi verticaux t'empêche de
> les mettre plus distal pourquoi en mettre 8 pour supporter que 10 dents

MDR bf....si tu savais le nombre de MCI que j'ai fait avec lui en plaçant des implants dans la région ptérygoïdienne.....


Vw campersurfvan bmnk1q - Eugenol
enlaye

24/03/2021 à 08h48

TA2 oui tu as raison quand j ai dit pilotis , j ai du employer un mauvais terme . Je voulais dire prothese vissée avec dents du commerce .
Ce que je n ai jamais fait .


Vw campersurfvan bmnk1q - Eugenol
enlaye

24/03/2021 à 08h57

vulpi écrivait:
-----
enlaye écrivait
" Il y a pas la place pour un 6mm sans correction d’axe ? "
"" De là à abattre le poseur, ça y va fort ce matin.""
Naann , Vulpi , il a dit 6mm sans correction , il n a pas dit 6.35 sans sommation .:-)
On en est pas encore là :-))


Vw campersurfvan bmnk1q - Eugenol
enlaye

24/03/2021 à 09h11

Pluton , toi qui connais plein de marques , moi je trouve que le pere Nobel ,quand il etait petit il ne devait pas trop jouer au mecano ou au lego et au fisher price , pcq ce n est pas d un esprit tres pratique .
Chaque fois que j ai eu posé un bridge ( surtout sans multi unit ) j avais la désagréable impression de vouloir visser un lustre au plafond d une main en le tenant par l ampoule .


TA2

24/03/2021 à 09h14

enlaye écrivait:
------
> TA2 oui tu as raison quand j ai dit pilotis , j ai du employer un mauvais terme
> . Je voulais dire prothese vissée avec dents du commerce .
> Ce que je n ai jamais fait .

Rien de bien compliqué pour un mec qui a ta rigueur .
Le plus dur , c'est la douloureuse du protho ;o)))


Vw campersurfvan bmnk1q - Eugenol
enlaye

24/03/2021 à 09h20

TA2 écrivait:
---
" Rien de bien compliqué pour...."
Si quand même il faut faire des selles qui ne servent a rien a part recolter de la merde dessous , suis embêté .
Autant avec un bridge ceram c est joueur , tu peux creuser la gencive pour placer des inters , en coller des bouts de peau par ci par là pour te fabriquer une papille , mais avec de la resine ....


TA2

24/03/2021 à 09h27

enlaye écrivait:
------
> TA2 écrivait:
> ---
> " Rien de bien compliqué pour...."
> Si quand même il faut faire des selles qui ne servent a rien a part recolter de
> la merde dessous , suis embêté .

As tu essayé de rebaser le provisoire avec un fitt ou un liner par curiosité ? Il y a peut etre un espace du a la cicat ...


Vw campersurfvan bmnk1q - Eugenol
enlaye

24/03/2021 à 09h32

Un espace tu dis ?t y es fou , j en ai pas assez en stock pour bourrer tout le dessous .:-)


Utilisateur banni

25/03/2021 à 10h08

pluton écrivait:
------
> posit écrivait:
> -----
> > Si je ne me trompe pas les implants sont des Nobel, voici ce qui existe en
> > connectique compatible Nobelreplace cornical en 45°. Chez Nobel il s'arrêtent
> à
> > 30°. Là c'est proche de ton dessin.
> c'est bien du Nobel replace Posit.....mais le classique avec le trilobe.....pas
> du conical....
Alors je ne connais pas de système adaptable sur cette connectique à + de 30° qui pourrais améliorer la situation mais qui ne résoudra pas le manque d'enfouissement et l'inclinaison importante de cet implant.


Utilisateur banni

25/03/2021 à 10h16

pluton écrivait:
------
> bf écrivait:
> --
> > à POSIT
> > compte tenu que tu ne vas pas au delà des 5 sup , c'est vrai que tu n'es pas
> > gêné par la hauteur du tournevis
> > au delà des implants super bien posés les mettre aussi verticaux t'empêche de
> > les mettre plus distal pourquoi en mettre 8 pour supporter que 10 dents
>
> MDR bf....si tu savais le nombre de MCI que j'ai fait avec lui en plaçant des
> implants dans la région ptérygoïdienne.....
.
En effet c'est plus un adaptation au cas qui détermine une architecture qu'un dogme


TA2

25/03/2021 à 11h15

pascalouné écrivait:
----------
> Alors le minot il a un problème pour faire son bridge sur implants ?:)))
>
> TA2 tu parles des prothèses qui tiennent par frictions avec des chapes de
> friction : ce sont des prothèses télescope
> Quand c’est transvissée avec fausse gencive c’est une prothèse pilotis
>

Exact , je me suis fabouiller les neurones , mais c'était dans cette idée ;o)


TA2

25/03/2021 à 18h40

pascalouné écrivait:
----------
> N’empêche que TA2R2D2 a une bonne idée :
> - rattraper l’axe + chape
> - tout est parallèle
> - prothèse qui s’enlève et qui se remet
>
> Après faut vraiment que ça soit bien fait car il suffit qu’il y ait trop de
> friction pour que ça soit impossible à enlever :)

J'ai fait que du pilotis , Le télescope m'a tenté pour le coté hygiene ( en considérant que les locators sont de la daube ) , mais de ce j'ai compris les parties femelles des téléscopes sont en or par electroposition , et l'or ben çà s'use et j'avais un doute sur le pérennité de la rétentions des chapes femelles et quant à leur remplacement j'ose pas imaginer le tour de passe passe à la majax pour les refaire ;o)


Utilisateur banni

25/03/2021 à 20h13

TA2 écrivait:
---

> > Après faut vraiment que ça soit bien fait car il suffit qu’il y ait trop de
> > friction pour que ça soit impossible à enlever :)
>
> J'ai fait que du pilotis , Le télescope m'a tenté pour le coté hygiene ( en
> considérant que les locators sont de la daube ) , mais de ce j'ai compris les
> parties femelles des téléscopes sont en or par electroposition , et l'or ben
> çà s'use et j'avais un doute sur le pérennité de la rétentions des chapes
> femelles et quant à leur remplacement j'ose pas imaginer le tour de passe passe
> à la majax pour les refaire ;o)
.
voici un bridge télescope fait en immédiat comme d'ab
réalisation pluton

Copie de pano3mois udu87e - Eugenol

Utilisateur banni

25/03/2021 à 20h23

TA2, voici quelques bridges télescope posés par béotien en 2013