Cookie Consent byPrivacyPolicies.comVos avis pour une 16 - Eugenol

Vos avis pour une 16

Images oecc9d ijdijh - Eugenol
Akrobat

23/03/2021 à 13h43

Bonjour,

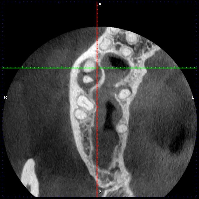
J'ai ce matin un patient qui se présente pour une fracture de 16, asymptomatique.
Test froid négatif, la dent présente une PDP qui radiologiquement ressemble à de la biodentine, cliniquement parait plus blanc.
Je fait une cbct: 4 canaux, lésion infectieuse sur chaque racine et surtout, ce qui ressemble à une résorption interne de la racine palatine.
Qui ferait quoi? qui pense que l'endo est vouée à l'échec?



Ygelxp0vhphhsc4dwbtx - Eugenol
Zluijbpbcans3je8qxer - Eugenol
Djn4w6li8pyxycn8rj1g - Eugenol

Et7jtaj0pdi18gzjlxjiamlx15gs - Eugenol
Prunelles

23/03/2021 à 13h54

Sur un patient jeune je tenterais une temporisation à l’Hydroxyde de Ca jusqu’à cicatrisation complète.
Si ça foire -> Davier et Marteau pour le clou.


Tozzi

23/03/2021 à 15h21

C'est quand même très très très très mal barré pour cette 16 car elle cumule tous les problèmes possibles.
Je comprends même pas qu'une hésitation soit possible ?


Ylfwcw979cz1jnx9gfqeaxndiuzk - Eugenol
Algi

23/03/2021 à 15h33


Juste que je meure moins con....

Kesako une PDP?

--

On a toujours le choix mais entre quoi et quoi?
Vas-y boulégue et l'avenir te le dira!


Images oecc9d ijdijh - Eugenol
Akrobat

23/03/2021 à 16h27

une protection dentino-pulpaire (fond de cavité)


dent2669

23/03/2021 à 20h17

Tozzi écrivait:
-----
> C'est quand même très très très très mal barré pour cette 16 car elle cumule
> tous les problèmes possibles.
> Je comprends même pas qu'une hésitation soit possible ?

C'est clair, je ne comprends même pas comment on peut penser ne pas garder cette dent !!
Faut arrêter avec le titane, cette dent avec une belle endo et une reconstitution collée sans tenon tient encore 10 ans sans problème !!!


Kams34

23/03/2021 à 21h20

dent2669 écrivait:
--------
> Tozzi écrivait:
> -----
> > C'est quand même très très très très mal barré pour cette 16 car elle cumule
> > tous les problèmes possibles.
> > Je comprends même pas qu'une hésitation soit possible ?
>
> C'est clair, je ne comprends même pas comment on peut penser ne pas garder cette
> dent !!
> Faut arrêter avec le titane, cette dent avec une belle endo et une
> reconstitution collée sans tenon tient encore 10 ans sans problème !!!

+1


Nouveau image bitmap fz77zh - Eugenol
Sethef

23/03/2021 à 21h30

+2.
L'endo fonctionnera. Évidemment, pas de tenon dans la racine palatine.

La question du délabrement notamment en distal, se pose, il nous manque des éléments de ce point de vue là. Mais pour le reste...

A noter que même si la dent venait à être extraite par la suite, on aurait au moins récupéré de l'os à l'apex, ça simplifiera l'implanto, c'est toujours ça de pris.


Vw campersurfvan bmnk1q - Eugenol
enlaye

23/03/2021 à 22h06

Sethef écrivait:
------
" A noter que même si la dent venait à être extraite par la suite, on aurait au moins récupéré de l'os à l'apex, ça simplifiera l'implanto, c'est toujours ça de pris. "
+3