Cookie Consent byPrivacyPolicies.comidentification implant - Eugenol

identification implant

clarafon

29/03/2021 à 18h32

Bonjour,
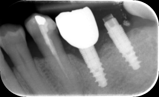
J'essaie d'identifier le type de ces deux implants, après recherche sur what... il me semble reconnaître de l'Euroteknika mais je n'en suis pas sûr du tout, un peu d'aide me serait précieuse.
par avance merci.

Bbclraikgo5cbs0j2o4r - Eugenol

Photo pluton1b h9n4ea - Eugenol
pluton

29/03/2021 à 21h31

Ta radiographie est pas super nette...mais il me semble deviner les spires qui se dédoublent en haut.....et si c’est bien ça alors c’est un tiologic dentaurum

https://www.dentaurum.de/fra/concept-du-systeme-tiologic-32770.aspx


clarafon

30/03/2021 à 08h02

Merci beaucoup Pluton