Cookie Consent byPrivacyPolicies.comIdentification implant - Eugenol

Identification implant

WMX

14/04/2021 à 12h02

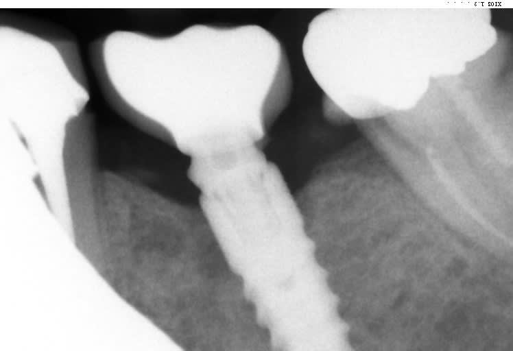
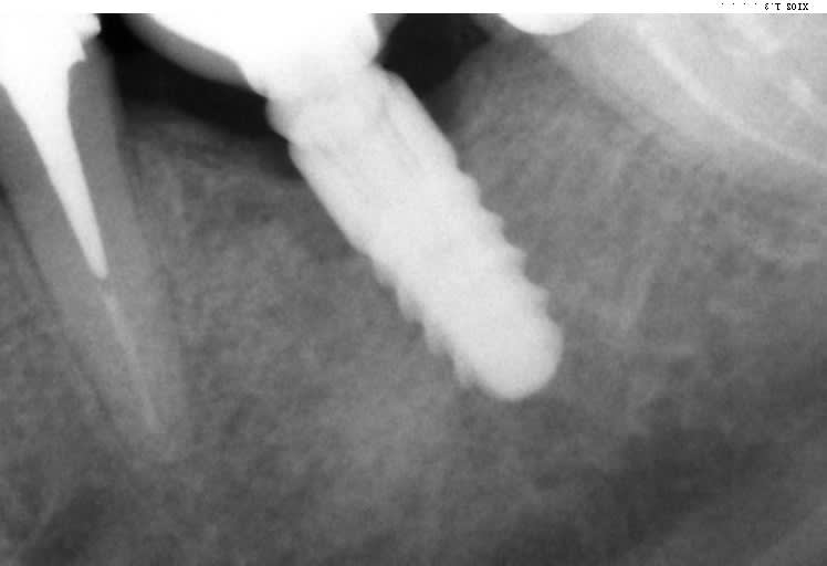
Bonjour, je ne parviens pas à identifier cet implant.
Implant posé par un confrère de St Omer il y a qq années et qui a mis fin à ses jours depuis.
Merci pour votre aide.

Xdvj4ofkkkcw2ro49oxd - Eugenol
Etvcfqotg7ohfeppxbhj - Eugenol
Xpugzxsehvbxyh8epedb - Eugenol

Photo pluton1b h9n4ea - Eugenol
pluton

14/04/2021 à 14h18

TIOLOGIC DENTAURUM
https://shop.dentaurum.fr/index.php?id=pg&pgsn=3194&ch=dacea3


WMX

14/04/2021 à 14h54

Merci Pluton, très aimable de ta part de prendre le temps de répondre.