Cookie Consent byPrivacyPolicies.comImplant SERF anneau esthétique - Eugenol

Implant SERF anneau esthétique

Mesdiscussions 14274 y9skw0 - Eugenol
ericthedoc

14/04/2021 à 12h31

Bonjour à tous.
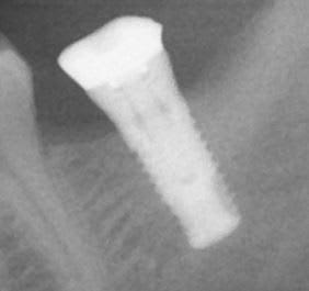
J'ai un soucis sur un vieil implant SERF 5*10, très bien ostéo-intégré mais qui manque cruellement de hauteur pour faire une couronne correcte (sur la radio est présente la "couronne" actuelle)
Peut-on démonter l'anneau esthétique pour gagner un peu de hauteur, et comment ?
Et quelle hauteur je peux espérer en gain
La dent antagoniste va être couronnée de toute façon, mais si je veux garder une courbe occlusale correcte je ne peux pas gagner tout ce qui me faut.

Merci par avance

Cautqhkelpse9afdcmcx - Eugenol

Cynthia

14/04/2021 à 12h41

Oui l'anneau esthétique peut être enlevé. Il existe chez serf/globald un instrument appelé extracteur d'anneau esthétique. Demande au commercial si il peut te le prêter


Mesdiscussions 14274 y9skw0 - Eugenol
ericthedoc

14/04/2021 à 13h45

Au final je viens de voir le patient pour l'endo de l'antagoniste et j'ai juste testé de dévisser la couronne et l'anneau est venu avec, un problème de réglé