Cookie Consent byPrivacyPolicies.comEpulis - Eugenol

Epulis

Toucan3 dhuzb4 - Eugenol
Doolin

16/04/2021 à 11h57

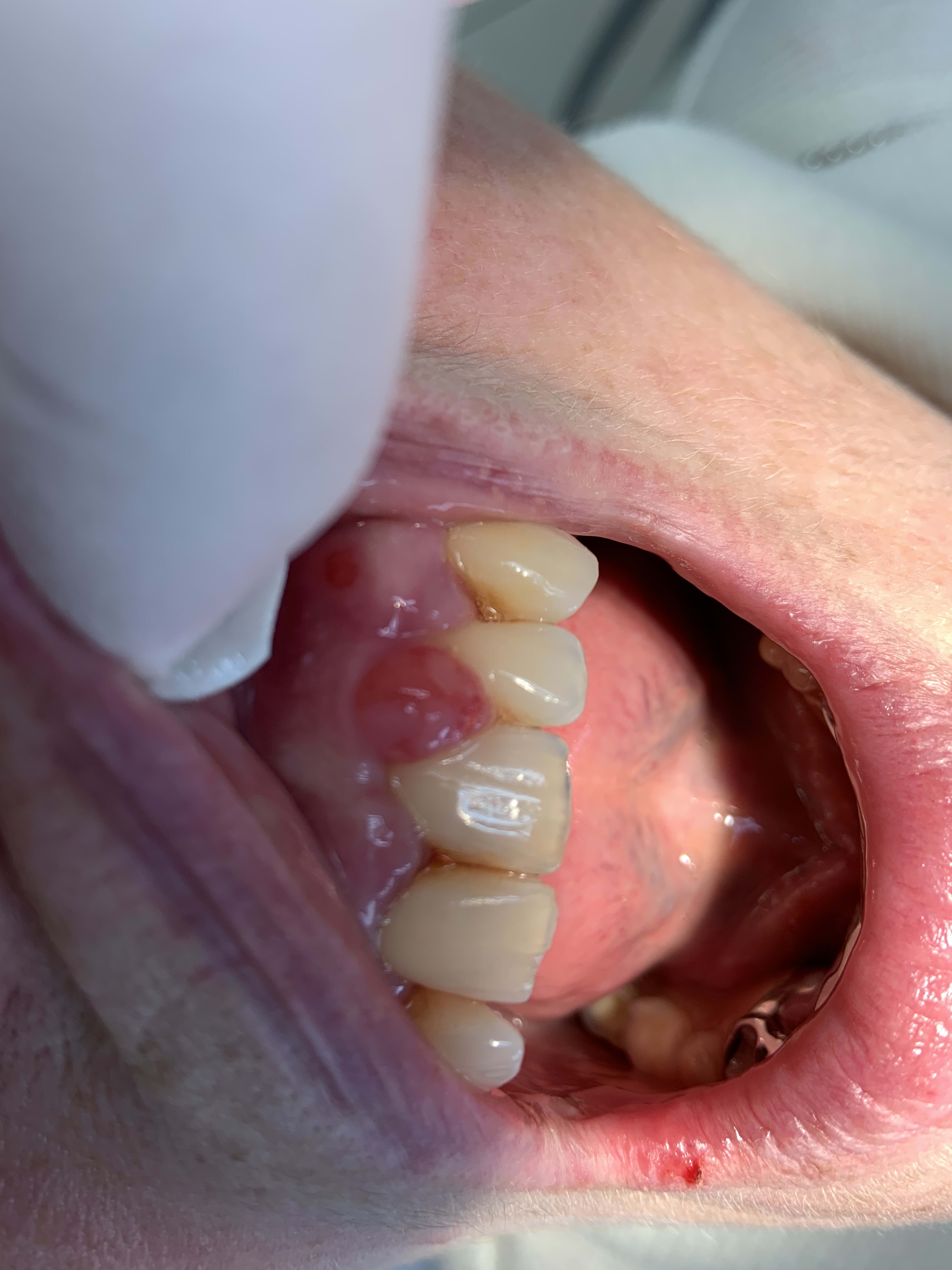
Bonjour je vous envoie la photo d’une excroissance gingivale au niveau d’une 22 chez une patiente sous Coumadine (anti vit K). Quelle serait votre procédure ? Je demande un INR si c’est entre deux et trois je peux tout simplement le supprimer ?
Merci

Pb0ih0ixkl16skrbyugn - Eugenol

Zorba le grec 1373406512 108 lfk5ey - Eugenol
zorbalegrec

16/04/2021 à 16h53

Bistouri électrique
mais après ça pue le cochon


4a338550 6a5b 47ea b2a7 d3cb675c5076 oni5gh - Eugenol
𝕱𝖎𝖘𝖙𝖚𝖑𝖊

16/04/2021 à 20h13

Un peu GUN ?!
AB birodo, parodontax, bicarbonate-eau oxygénée, BB et 10-15 jours bistouri électrique comme copain Zorba...
INR c’est un plus.
😷🤗


Gabzou

17/04/2021 à 02h54

GUN je ne sais pas, mais en tout cas çà n'a pas l'air très propre tout çà.
Tu as pensé à nettoyer/cureter/détartrer/surfacer? Vu la tête du machin, il doit y avoir des trucs (plaque/tartre/bactéries) derrière/dessous.
Faire une exérèse sans résoudre la cause, c'est pas top.


Toucan3 dhuzb4 - Eugenol
Doolin

18/04/2021 à 09h07

Ok bien sûr pour le détartrage ,ce qui m’inquiétait c’est l’hémorragie,d’autant que je n’ai pas de bistouri électrique.