Cookie Consent byPrivacyPolicies.comtrauma 21 8 ans - Eugenol

trauma 21 8 ans

Lobelia

19/04/2021 à 15h14

Bonjour,
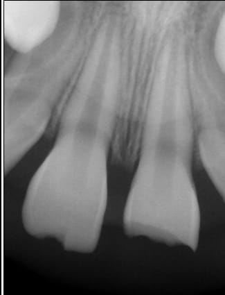
J ai eu une petite au cab qui vient suite a une chute .
fracture de la 11 et 21 il y a 2/3 srmaines..

test au froid ok sur la 21 . la percussion n est pas douloureuse, pas de mobilité et je n entend pas de son particulier.
La patiente ne se plaint pas de douleur

j ai mis une petite couche de compo histoire de proteger la dentine .
Mais maintenant, je fais quoi?

j ai l impression qu'un compo ne tiendra jamais vu le peu de surface dont je dispose.

Que faites vous dans ce genre de cas?

Merci :)

Ohkaizlahdlgar0umbxq - Eugenol
Hb4waixgqqulw4jmujgj - Eugenol

Images oecc9d ijdijh - Eugenol
Akrobat

19/04/2021 à 15h25

je fais un compo. en plus y a une béance t'aura pas de pb d'occlusion si c'est un peu épais en palatin


Zorba le grec 1373406512 108 lfk5ey - Eugenol
zorbalegrec

19/04/2021 à 15h29

Ben tu reconstruis en la voyant régulièrement pour des tests de vitalité


P2eqdh3csim6s7nb09ktdq3e7ev8 - Eugenol
barbabapat

19/04/2021 à 16h24

Lobelia écrivait:
-------
> Bonjour,
> J ai eu une petite au cab qui vient suite a une chute .
> fracture de la 11 et 21 il y a 2/3 srmaines..

Surveille bien car une plaie laissée 2/3 semaines ouverte, c'est limite en terme de risque d'atteinte pulpaire.
A la base, c'est les seuls actes qui sont sensés être des urgences.