Cookie Consent byPrivacyPolicies.comidentification implant - Eugenol

identification implant

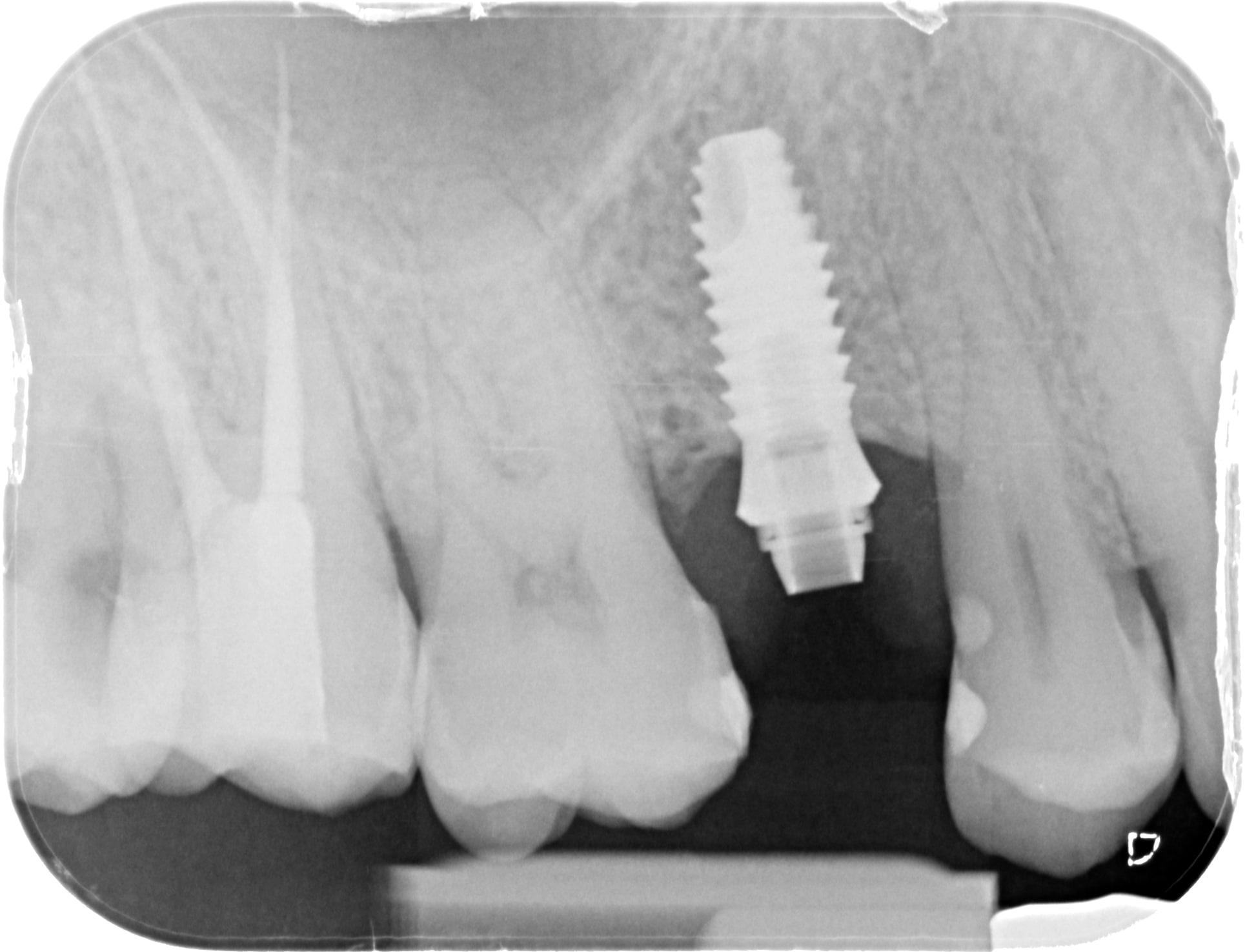
Img 5097 lxchd7 - Eugenol
Queixal

27/04/2021 à 09h22

Posé il y a 4 ans en Espagne dans un centre low -cost qui a fait faillite "UNIDENTAL". En le démontant on voit une espèce de cône genre multiunit, mais la vis passe a travers et se visse sur l´implant. J´ai pu le revisser aver un tournevis hexagonal de 1,20.

Grum0rsvfjib7wx9xnil - Eugenol
Lvod8pyy5awcbdzinz9i - Eugenol
Jsahjifqehpbubtb4ugl - Eugenol
B0llkqbjrc97kiirb6ux - Eugenol
T6cmwzmulfdmh593svm3 - Eugenol

Photo pluton1b h9n4ea - Eugenol
pluton

27/04/2021 à 09h53

c'est un implant type Apolonia CSM qui est un implant avec octogone classique " Straumann"
il te faudra l'extracteur pour le "pilier" et repartir sur un truc propre avec des composants compatibles...que tu trouveras chez DESS par exemple....


Img 5097 lxchd7 - Eugenol
Queixal

29/04/2021 à 16h38

Désolé Pluton.
Le pacient a retrouveé une facture ou il y avait marqué phibo.
L´implant (phibo TSA advance)est plutôt exotique conexion interne avec hexagone interne plus hexagone externe. Auquel il faut rajouter le pilier pro-unic qui transforme le basar en un cône. Il y a plusieur hauteurs de pilier ce qui implique plusieurs longueurs de vis fde fixatión.

Images 1 bctnpg - Eugenol
7 0 ry7ats - Eugenol

Photo pluton1b h9n4ea - Eugenol
pluton

29/04/2021 à 18h14

c'est sûr qu'avec les références c'est plus facile....comme quoi l'identification à partir d'une radio c'est pas une science exacte....
bon, bein bon courage pour te fournir en pièces prothétiques....


Hok 1b hgd3rj - Eugenol
Hokusai

29/04/2021 à 18h34

T as une radio per OP du tr de la 17 ?


Img 5097 lxchd7 - Eugenol
Queixal

29/04/2021 à 19h45

3x25mm diametre 25 revo-s

2596 x 20210305 120504 xxamyznbbj6l 4 qvypjv - Eugenol