Cookie Consent byPrivacyPolicies.comAvis bridge complet sur fond de perte osseuse généralisée - Eugenol

Avis bridge complet sur fond de perte osseuse généralisée

S2y2o1v7q53ws4r5wy6ou8czrpom - Eugenol
pxav

29/04/2021 à 13h07


je n'ai pas pris le temps de tout lire mais je rejoint:
Sethef écrivait:
------
> A l'exact inverse de Pluton, je dirais que c'est le cas idéal pour ce type de
> traitement.
> Si possible sur zircone, pour la biocompatibilté de la ceram.
> Envisager de dégager la 12 afin de pouvoir positionner 2 inters, pour
> l'esthétique.


avec un exemple ou il m'a été conseillé de passer par un complet haut et bas sur implant:

tu as tout ce qu'il "ne faut pas faire" soit disant du moins, furcation, mobilité, prothèse mixte, wax up avant le travail, et même un truc bizarre sur 22, du au seul bug que j'ai eu. 2015 à 2021 et je suis tranquille pour les 10 ans à venir, malgré une hygiène bof,bof
--
xbk
La connaissance s'acquiert par l'expérience, tout le reste n'est que de l'information." ALBERT EINSTEIN

1 sene19.06 - Eugenol
4sene 09.02 - Eugenol
7sene 08.02 - Eugenol

S2y2o1v7q53ws4r5wy6ou8czrpom - Eugenol
pxav

29/04/2021 à 13h13

Sethef écrivait:
------

> Effectivement, un implant unitaire au milieu du reste, ce sera lui qui va
> prendre toute la charge.
> >
> >
pas tout le temps... suffit de rajouter un petit truc comme sur le cas dont je parle...


--
xbk
La connaissance s'acquiert par l'expérience, tout le reste n'est que de l'information." ALBERT EINSTEIN


Nouveau image bitmap fz77zh - Eugenol
Sethef

29/04/2021 à 14h04

C'est beau.
Mais c'est du vice d'avoir solidarisé l'implant avec le reste, pourquoi ne pas l'avoir mis à part?


Hok 1b hgd3rj - Eugenol
Hokusai

29/04/2021 à 14h26

pxav écrivait:
----
> , et même un truc bizarre sur
> 22, du au seul bug que j'ai eu.

C est pas la 12 ?? Et c'est quoi ?


S2y2o1v7q53ws4r5wy6ou8czrpom - Eugenol
pxav

29/04/2021 à 15h43

Sethef écrivait:
------
> C'est beau.
> Mais c'est du vice d'avoir solidarisé l'implant avec le reste, pourquoi ne pas
> l'avoir mis à part?
je n’avais pas répondu à l'époque, mais une idée toute simple, l'implant (posé à Lyon une dizaine d'année avant ) avait un bug, la prothèse bougeait très légèrement, (quelque dixième), mais je ne pouvait la déposer sans risque, donc je me suis dit que ça pouvait compenser les très léger mouvement des autres dents, et j'ai taillé la ceram, pour en faire un moignon....et effectivement géotrouvtou avait bien vu.

--
xbk
La connaissance s'acquiert par l'expérience, tout le reste n'est que de l'information." ALBERT EINSTEIN


S2y2o1v7q53ws4r5wy6ou8czrpom - Eugenol
pxav

29/04/2021 à 15h50

Hokusai écrivait:
-------
> pxav écrivait:
> ----
> > , et même un truc bizarre sur
> > 22, du au seul bug que j'ai eu.
>
> C est pas la 12 ?? Et c'est quoi ?

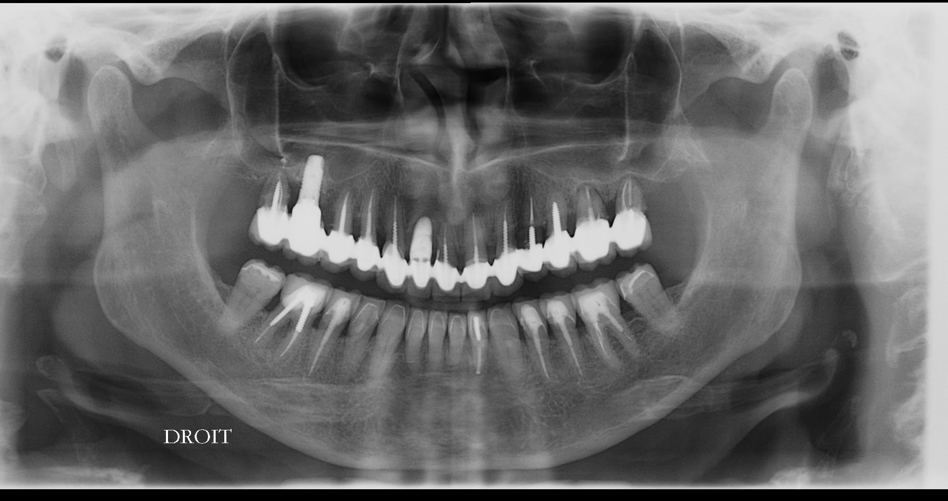
la 12 c'est ma croix, la racine a lâchée (fendue) avec perte osseuse vestibulaire importante.
Comme je ne peux déposer sans risque l'armature du bridge, j'ai fait une tentative de greffe osseuse mais ça n'a pas tenu, donc j'ai fait un montage fausse racine (radio opaque) avec fausse gencive rose, un peu style des prothèse su pilotis, c'est suffisant esthétiquement, mais bien sûr c'est très décevant sur le plan réussite totale.

--
xbk
La connaissance s'acquiert par l'expérience, tout le reste n'est que de l'information." ALBERT EINSTEIN


alexrombox

10/05/2021 à 17h01

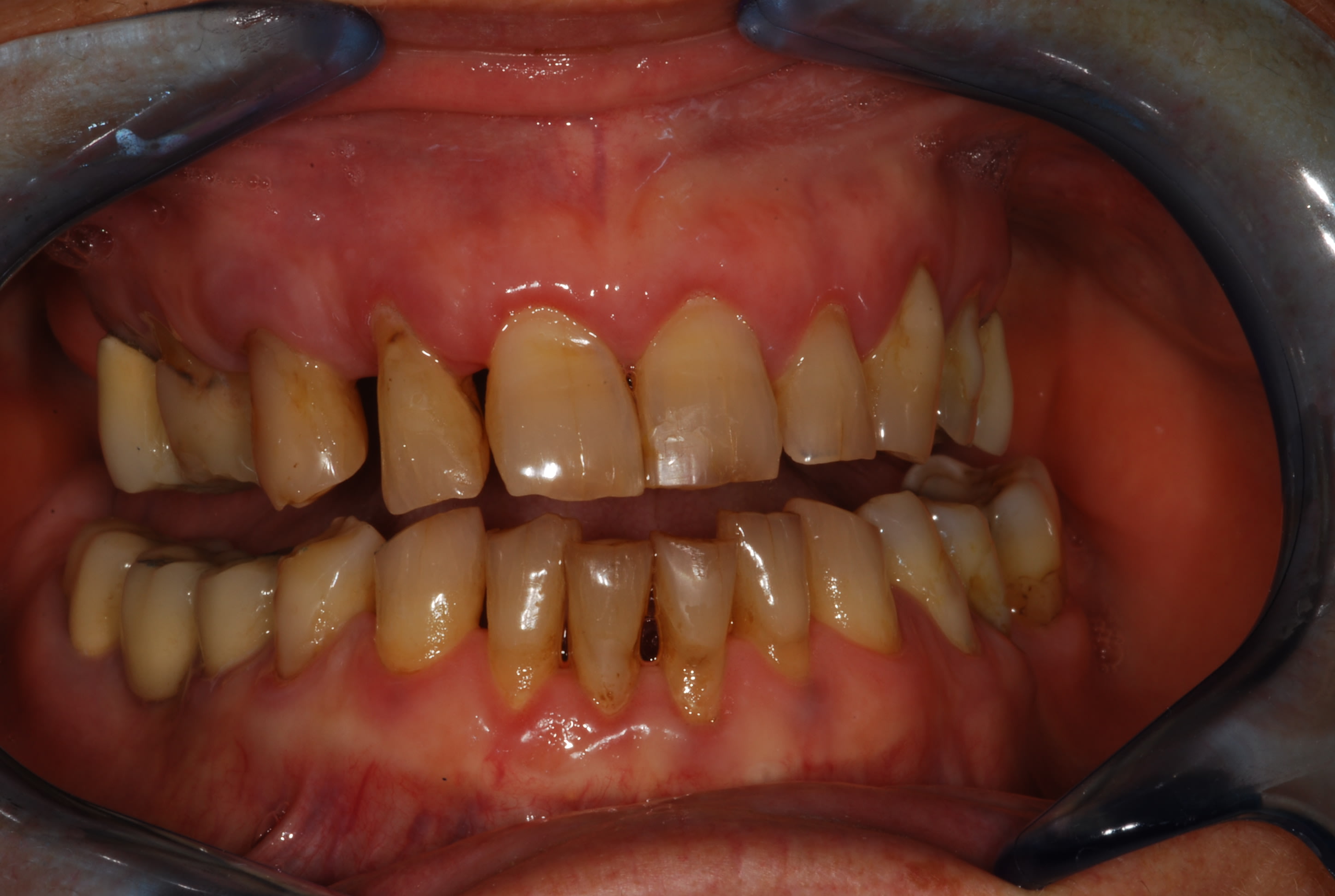
Bonjour à tous,

Voici comme prévu les photo du cas, j'ai pris les empreintes ce jour donc je posterais des photos des moulages dès que le proto les aura coulés !

Dsc 0726 hrbnvd - Eugenol
Dsc 0727 d5ha3r - Eugenol
Dsc 0731 jupnfs - Eugenol

TA2

10/05/2021 à 18h55

Pour la p'tite histoire , la patiente à une demande particulière ?


alexrombox

10/05/2021 à 18h59

Esthétique... Combler les diastèmes, teinte etc. et accessoirement pérenniser ses dents...


alexrombox

10/05/2021 à 18h59

Esthétique... Combler les diastèmes, teinte etc. et accessoirement pérenniser ses dents...


TA2

10/05/2021 à 19h17

Donc une grande aventure ;o)

Pour titiller Pluton , se sent t'elle capable de digérer les extractions multiples ?


Vw campersurfvan bmnk1q - Eugenol
enlaye

10/05/2021 à 20h10

je suppose que le pt inter incisif n est pas au milieu de la figure , je me trompe ?
on dirait que le secteur 20 est parti à gauche , y compris la 11 , et qu a partir de la 11 le secteur 10 s est vestibulé . donc je confirme que tu ne peux faire le haut sans le bas .
et alors de l utilité d un wax , çà correspond à ce que je te disais :
comme il faut rentrer le haut , il faut gratter les dents sur le platre , mais pour ça il faut avant les monter sur articu , et en centrée tant qu a faire .
sinon , c est sympa comme boulot , tranquille .


alexrombox

10/05/2021 à 20h52

enlaye écrivait:
------
> je suppose que le pt inter incisif n est pas au milieu de la figure , je me
> trompe ?
> on dirait que le secteur 20 est parti à gauche , y compris la 11 , et qu a
> partir de la 11 le secteur 10 s est vestibulé . donc je confirme que tu ne peux
> faire le haut sans le bas .
> et alors de l utilité d un wax , çà correspond à ce que je te disais :
> comme il faut rentrer le haut , il faut gratter les dents sur le platre , mais
> pour ça il faut avant les monter sur articu , et en centrée tant qu a faire .
> sinon , c est sympa comme boulot , tranquille .

Yes pour le point inter incisif il y a un petit décalage, ça va finir comme Brad Pitt cette histoire!

Ok donc je monte mes moulages en articulateur arc facial pour le haut par contre j'ai du mal avec la centrée sur tout quand il reste des dents... Tu manipules le patient pour le guider?

Après je rase les dents, je vire la 12 et là je monte mon wax UP, qui me servira pour mon provisoire, et je taille tout ? J'hesite a depulper, si jamais je me frappe une pulpite sous bridge et que je dois déposer j'arrache des racines je pense où je dois tout refaire...


Vw campersurfvan bmnk1q - Eugenol
enlaye

10/05/2021 à 21h06

alexrombox écrivait:
" Ok donc je monte mes moulages en articulateur arc facial pour le haut par contre j'ai du mal avec la centrée sur tout quand il reste des dents... Tu manipules le patient pour le guider?----------"

a la limite si tu n es pas trop gaillard pour enregistrer la centrée , tu peux tjs la meuler en centrée , enfin à peu pres , et ainsi tu auras une OIM proche de la centrée , ce serait deja pas mal .
par contre oui il faut la manipuler un peu pour trouver sa centrée . mais tu la manipules leger , tranquille sans forcer , elle devait y aller toute seule .
je vais meme te dire mieux , en la manipulant elle va buter sur sa 13 , à tous les coups


Vw campersurfvan bmnk1q - Eugenol
enlaye

10/05/2021 à 21h12

alexrombox écrivait:
----------
" Après je rase les dents, je vire la 12 et là je monte mon wax UP, qui me servira pour mon provisoire,"

virer la 12 , sur le plâtre tu veux dire ? , non pas forcement , pourquoi ? de toute facon tu vas certainement la garder cette dent .
et puis si tu la vires sur le platre , tu ne sauras plus de combien il te faudra deporter la couronne , si ce sera possible ou pas de la garder . tu fais le wax en gardant la racine de 12 + le 1er quart de la partie coronaire .


Vw campersurfvan bmnk1q - Eugenol
enlaye

10/05/2021 à 21h13

alexrombox écrivait:
----------
" J'hesite a depulper, si jamais je me frappe une pulpite sous bridge et que je dois déposer j'arrache des racines je pense où je dois tout refaire... "

pas compris ta phrase .


Vw campersurfvan bmnk1q - Eugenol
enlaye

11/05/2021 à 06h52

alexrombox écrivait:
----------
" par contre j'ai du mal avec la centrée sur tout quand il reste des dents... Tu manipules le patient pour le guider? "

mais quand il reste des dents , c est encore plus facile :-))
avec les dents , meme si tu n arrives pas à l enregistrer , ce qui est presque normal :-) , au moins tu la vois , tu peux voir quel en est le décalage:
- , s il y en a un ou pas ,
- s il est axial ou pas
- et quelle dent fait dévier s il y a décalage

il y a un truc que je n ai pas saisi , c est qu est ce vous n avez pas compris dans la centrée .
pcq c est la tjs la meme question qui revient , et je fais tjs la meme reponse , ç est que forcement , il y a une incompréhension des 2 cotés qu il faudrait élucider , sinon ç est décourageant , un coup à partir en mystique .
le principe en est pourtant simple : la mandibule doit etre centrée , sur on axe , cad ni à gauche ni à droite ç est tout :-) , apres qu elle soit en avant ou en arrière , ç en est presqu un detail .
la mand , une fois qu elle est centrée sur son axe , forcement , elle se placera TOUTE SEULE en centrée avant arriere .
faut pas chercher des histoires où il n y en a pas , ç est déjà assez compliqué comme ça :-)