Cookie Consent byPrivacyPolicies.comimage radiologique atypique - Eugenol

image radiologique atypique

nicolive

12/05/2021 à 12h38

bonjour patient de 78 ans . difficulté à déglutir .douleur sous maxillaire gauche ++.
vu par un orl qui pense a une infection virale (avant de voir la pano )
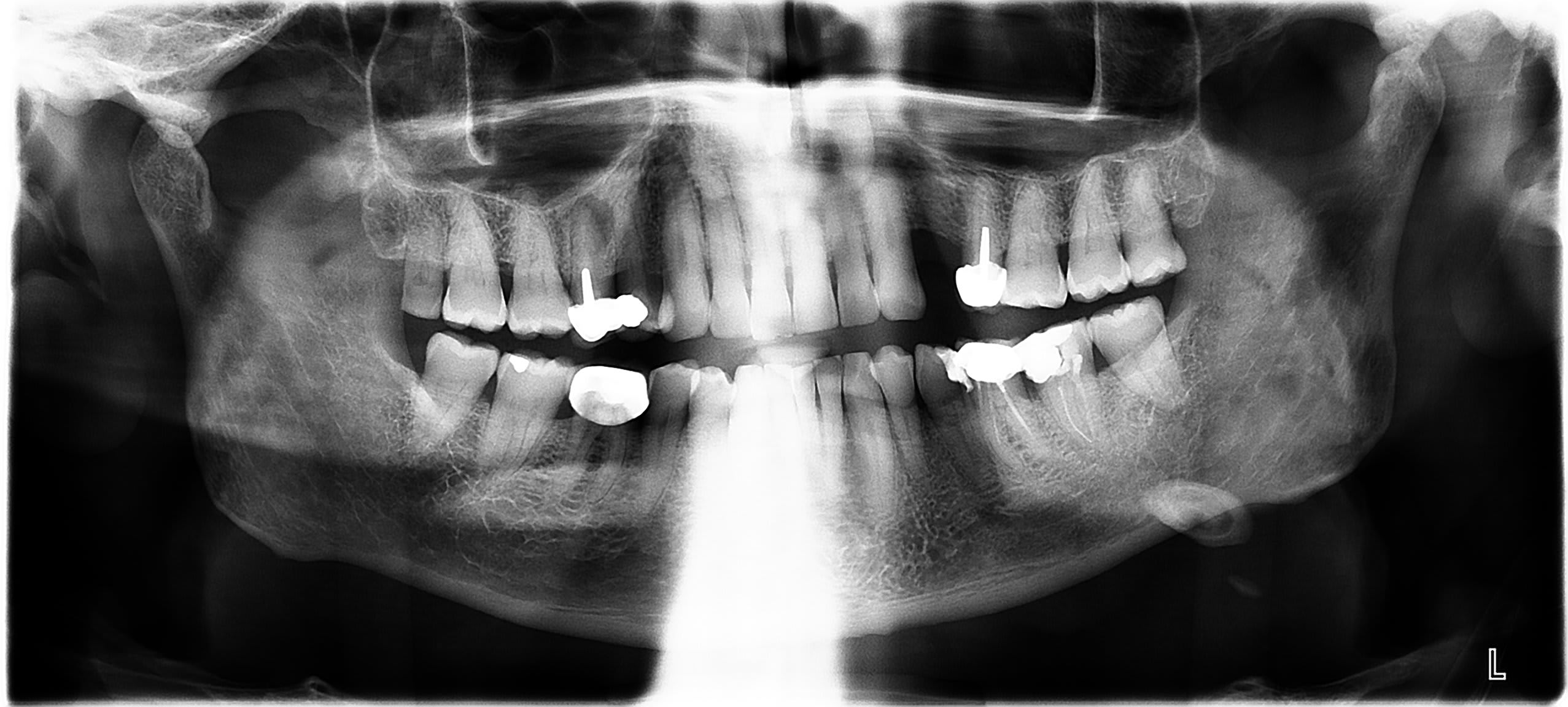
A l examen grosse adénopathie sous mandibulaire + voussure osseuse palpable du coté gauche a distance de la 37
gorge rouge avec cavum sale et lésions de type aphtes sur les amygdales.
je ne sais pas interpréter cette image mandibulaire sur la pano ( kyste calcifié , tumeur ) quelqu un pourrait il m aider merci par avance

Q5nos9pwuoxqa5nueo77 - Eugenol

Nouveau image bitmap fz77zh - Eugenol
Sethef

12/05/2021 à 13h19


"gorge rouge avec cavum sale et lésions de type aphtes sur les amygdales."

Ca, ça fait viral ORL.

La lésion est solidaire de la mandibule? Elle donne l'impression d'être dans un autre plan.
Bien délimitée, ça fait bénin, à l'instinct les symptômes ne sont pas liés à la lésion.

Tu n'as pas de pano plus ancienne pour voir l'évolution?

Bien entendu, ça part en maxillo par précaution, mais j'imagine que l'évolution sera spontanément favorable dans la semaine.

(attention, je parle sans compétence autre que gratteur de chicot)


Utilisateur banni

12/05/2021 à 13h36

Lithiase glande sous mandibulaire


--
salam aleykoum laziz


nicolive

12/05/2021 à 13h43

merci beaucoup pour ta réponse rapide. en fait je l ai vu il y a 5 jours mis sous augmentin il y a une tres légère amélioration. mais il a toujours la voussure osseuse et la douleur sous mandibulaire.
Je n ai malheureusement pas de panoramique ancienne (patient récent ) j ai pensé à une coincidence pour la gorge mais la difficulté à déglutir est survenue en même temps que le gonflement coté gauche.
a la palpation il y a bien une voussure osseuse coté vestibulaire. pourrait il s agir d un odontome (je dis probablement une bêtise)


nicolive

12/05/2021 à 13h46

la lithiase donnerait elle une image osseuse en forme d olive ? et elle ne provoquerait pas de voussure osseuse


azerty

12/05/2021 à 13h50

Lithiase glande sous mandibulaire


Nouveau image bitmap fz77zh - Eugenol
Sethef

12/05/2021 à 14h03

Surinfection de la lésion, quelle qu'elle soit?
Si c'était un truc mauvais, ça ne s'améliorerait pas sous antibios.

Ca a commencé quand cette histoire?


Gabzou

12/05/2021 à 14h28

Comme Sethef, la maxillo pour la suite. Tu as géré le plus urgent avec les ATB.


nicolive

12/05/2021 à 16h17

. En fait ça a commencé il y a 8 jours je l ai vu vendredi. revu aujourd’hui .l augmentin l a amélioré (mais il a encore l œdème ) je pense également qu une lésion tumorale n aurait pas été améliorée par les antibiotiques.
je l envoie en milieu hospitalier . je vous informerai du diagnostic.
merci encore à vous tous


blaki

14/05/2021 à 12h21

exact si tumeur le traitement antibiotique n'aurait rien amélioré .


nicolive

18/05/2021 à 12h02

merci à vous tous et bravo à pepito et à azerty une échotomographie a montré un calcul de la glande sous maxillaire de 7 mm.
envoyé à la salpêtrière en stomatologie pour envisager l exérèse de la glande (même si ce n est pas si simple ) passez une bonne journée.