Cookie Consent byPrivacyPolicies.comlocator ou barre - Eugenol

locator ou barre

jeunedentiste001

12/05/2021 à 14h31

j'ai un cas assez basique de complet haut
Pas si basique que ca pour moi car je nai pas specialement l'habitude d'en faire

J'ai proposé de faire complet haut sur 4 implants
mais je ne sais pas encore si je fais 4 locator ou 1 barre, ou une autre solution

Je serai plus a l'aise dans un plan de TTT avec locator car jarrive bien a imaginer le plan de TTT et les etapes a prevoir
Ya til vraiment des inconvenients sur des locators en haut ?

Zg5ajk8crbijwncczosg - Eugenol

Et7jtaj0pdi18gzjlxjiamlx15gs - Eugenol
Prunelles

12/05/2021 à 15h57

C'est toi qui va poser les implants pour les locators ou la barre ?


Photo pluton1b h9n4ea - Eugenol
pluton

12/05/2021 à 16h09

quitte à faire un all on 4....autant aller au bout du projet et faire une transvissée.....
tu sais, Maximini est toujours en activité et fait une super formation sur ce sujet....(all on 4 et 6)


Olieve

12/05/2021 à 16h47

Et en bas c’est quoi le plan ?


Photo pluton1b h9n4ea - Eugenol
pluton

12/05/2021 à 17h01

Olieve écrivait:
------
> Et en bas c’est quoi le plan ?
quitte à passer au all on 4.....autant en faire de même en bas.....


jeunedentiste001

12/05/2021 à 18h50

ah mince quand je disais barre, je pensais a de la PACSI
donc une barre avec des cavaliers sur laquelle la PAC se fixe

en bas je prevois de faire PACSI aussi avec 2 implants + 2 locators
oui je prevois de poser les implants, sous reserve de la radio 3D


Olieve

12/05/2021 à 23h09

Avant toute chose, valider le montage et puis voir avec le proto si place il y a pour une barre.



Gbfo08o2ecy6sxsnqko0n3imhewv - Eugenol
Palpatine

12/05/2021 à 23h26

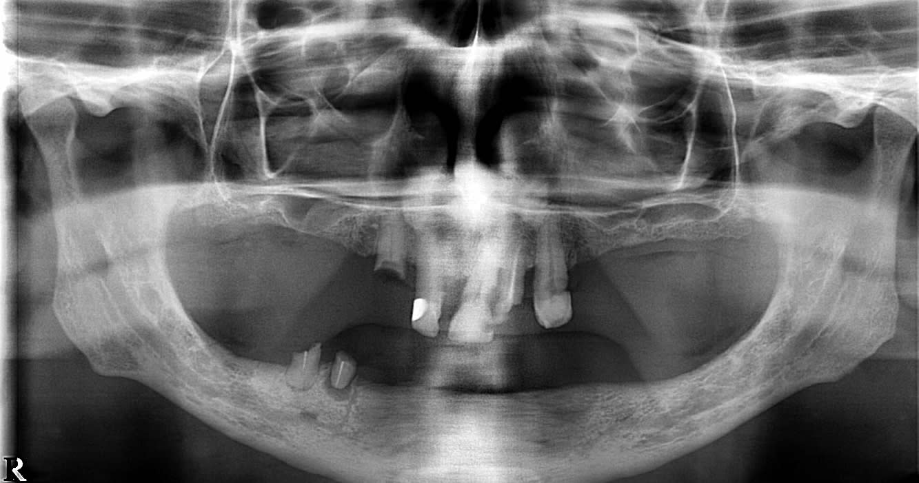
Qui planterait dans les tuberosités?


Photo pluton1b h9n4ea - Eugenol
pluton

13/05/2021 à 09h38

Possible....pas sûr que ça soit vraiment exploitable....en tout cas pas autrement que guidé donc ça voudrait dire all on avec Posit et MCI
C’est aussi une solution mais ça a forcément un surcoût...


blaki

14/05/2021 à 12h42

Bonjour, je ferai (ceci est tout à fait personnel) un complet haut, rebasée régulièrement avec une résine molle, que tu changes tous les 6 mois, ceci n'a un avantage d'avoir une très bonne rétention et aucune douleur, la pose d'implants me paraît très difficile sans chirurgie vue la pano ,et à la mandibule je ferai 2 attachements type LOCATOR qui ont une très bonne rétention et très facile d'entretien.
Amities


Azerty06

15/05/2021 à 12h52

jeunedentiste001 écrivait:
----------------
> j'ai un cas assez basique de complet haut
> Pas si basique que ca pour moi car je nai pas specialement l'habitude d'en faire
>
> J'ai proposé de faire complet haut sur 4 implants
> mais je ne sais pas encore si je fais 4 locator ou 1 barre, ou une autre
> solution
>
> Je serai plus a l'aise dans un plan de TTT avec locator car jarrive bien a
> imaginer le plan de TTT et les etapes a prevoir
> Ya til vraiment des inconvenients sur des locators en haut ?
Bonjour, les barres qui relient plusieurs implants marchent bien au maxillaire, si c est indiqué.
Il faut de la place, quand la résorption est importante et qu un soutien de la lèvre est recherché, la prothèse est télescopique.


blaki

15/05/2021 à 14h57

Tout a fait d'accord: 4 implants maxillaires et une barre c'est parfait , 4 implants et 4 locators c'est dangereux.
A l'inverse ,a la mandibule, 2 implants et 2 lacators c'est parfait ou 4 a 6 implants et une PAP avec armature transvissée c'est super.
Amities jp


humator2

15/05/2021 à 16h00

si pacsi, alors barre.
tes 4 implants ne seront pas paralleles, avec des locators, se sera ingérable.


Gabzou

15/05/2021 à 19h03

Peut être question bête, mais pourquoi tu tiens à refourguer des implants avant d'avoir testé la PAC simple?


TA2

15/05/2021 à 19h15

Gabzou écrivait:
------
> Peut être question bête, mais pourquoi tu tiens à refourguer des implants avant
> d'avoir testé la PAC simple?

Ben oui , tu as raison . Vrai ...


- Ha bonjour c'est pour un terrain constructible avec une vue mer
- Bien , bien ... Mais quel votre budget ?
- Non c'est pour ma bouche !
- Ha pardon c'est pour votre bouche , pardon , pardon ! Ben c'est pareil quel est votre budget . ;o))
-


jeunedentiste001

17/05/2021 à 08h45

Gabzou écrivait:
------
> Peut être question bête, mais pourquoi tu tiens à refourguer des implants avant
> d'avoir testé la PAC simple?

le patient a eu un stellite haut qu'il ne porte plus actuellement car ne supporte pas le faux palais (nausée)
avoir une solution pacsi en haut me permettrait de retirer au maximum le faux palais


E922cb58f40adb4b770d0cd0158b332f p1seg7 - Eugenol
chic22

17/05/2021 à 09h32

jeunedentiste001 écrivait:
----------------
> Gabzou écrivait:
> ------
> > Peut être question bête, mais pourquoi tu tiens à refourguer des implants
> avant
> > d'avoir testé la PAC simple?
>
> le patient a eu un stellite haut qu'il ne porte plus actuellement car ne
> supporte pas le faux palais (nausée)

Bizarrement ils n'ont plus de nausées quand je présente le devis ^^


Gabzou

17/05/2021 à 12h33

jeunedentiste001 écrivait:

> le patient a eu un stellite haut qu'il ne porte plus actuellement car ne
> supporte pas le faux palais (nausée)
> avoir une solution pacsi en haut me permettrait de retirer au maximum le faux
> palais

Dans ce cas je rejoins les autres avis, plutôt prothèse fixée si gérable, ou barre.