Cookie Consent byPrivacyPolicies.comColoration gencive - Eugenol

Coloration gencive

jeunedentiste001

26/05/2021 à 19h22

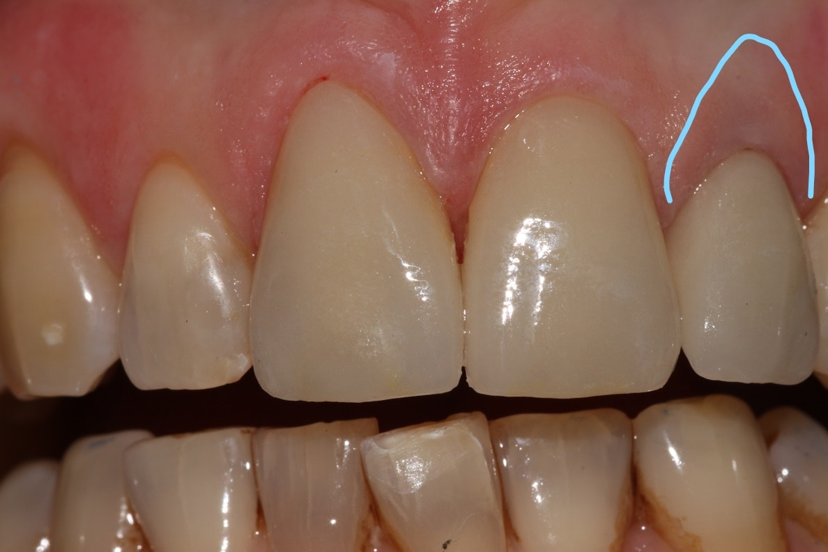
Patiente qui se sent génée par la coloration de sa gencive sur 22
Vous feriez quel plan de traitement ? C'est un cas paro ?

Je ne sais pas trop l'origine de la coloration, gencive fine ou alors coloration lié au metal de la CCM

Vqbnmyvlyotghjvfksry - Eugenol
Kwruz2keir5vpggprpet - Eugenol

Et7jtaj0pdi18gzjlxjiamlx15gs - Eugenol
Prunelles

26/05/2021 à 19h33

Tu parles de la pigmentation en vestibulaire de la 22 ?
C’est une coloration ethnique.


Capture d écran 2018 05 16 à 21.30 - Eugenol
Daryl

26/05/2021 à 19h40

Gencive fine : en longueur, on voit par transparence la noirceur de la racine dévitalisée. et au collet, c'est le métal sous la ccm.
au collet, ça s'améliore avec une ccc et un retraitement endo peut un peu aider aussi.


TA2

26/05/2021 à 19h52

Daryl écrivait:
-----
on voit par transparence la noirceur de la racine
> dévitalisée. et au collet, c'est le métal sous la ccm.
> au collet

On sent déjà une certaine expérience ;o))
Pour les 2 jeunes , zou au coin ;o)


jeunedentiste001

26/05/2021 à 20h05

une greffe de conjonctif enfoui peut améliorer qqch ?


Zorba le grec 1373406512 108 lfk5ey - Eugenol
zorbalegrec

27/05/2021 à 08h42

Retraitement endo + éclaircissement de la racine (j'ai vu que ça se faisait) + reconstitution coronaradiculaire ou IC zircone+ ccc


Images oecc9d ijdijh - Eugenol
Akrobat

27/05/2021 à 09h06

rien à faire. cas casse gueule. Elle va te faire chier, ce ne sera jamais parfait.


Et7jtaj0pdi18gzjlxjiamlx15gs - Eugenol
Prunelles

27/05/2021 à 09h30

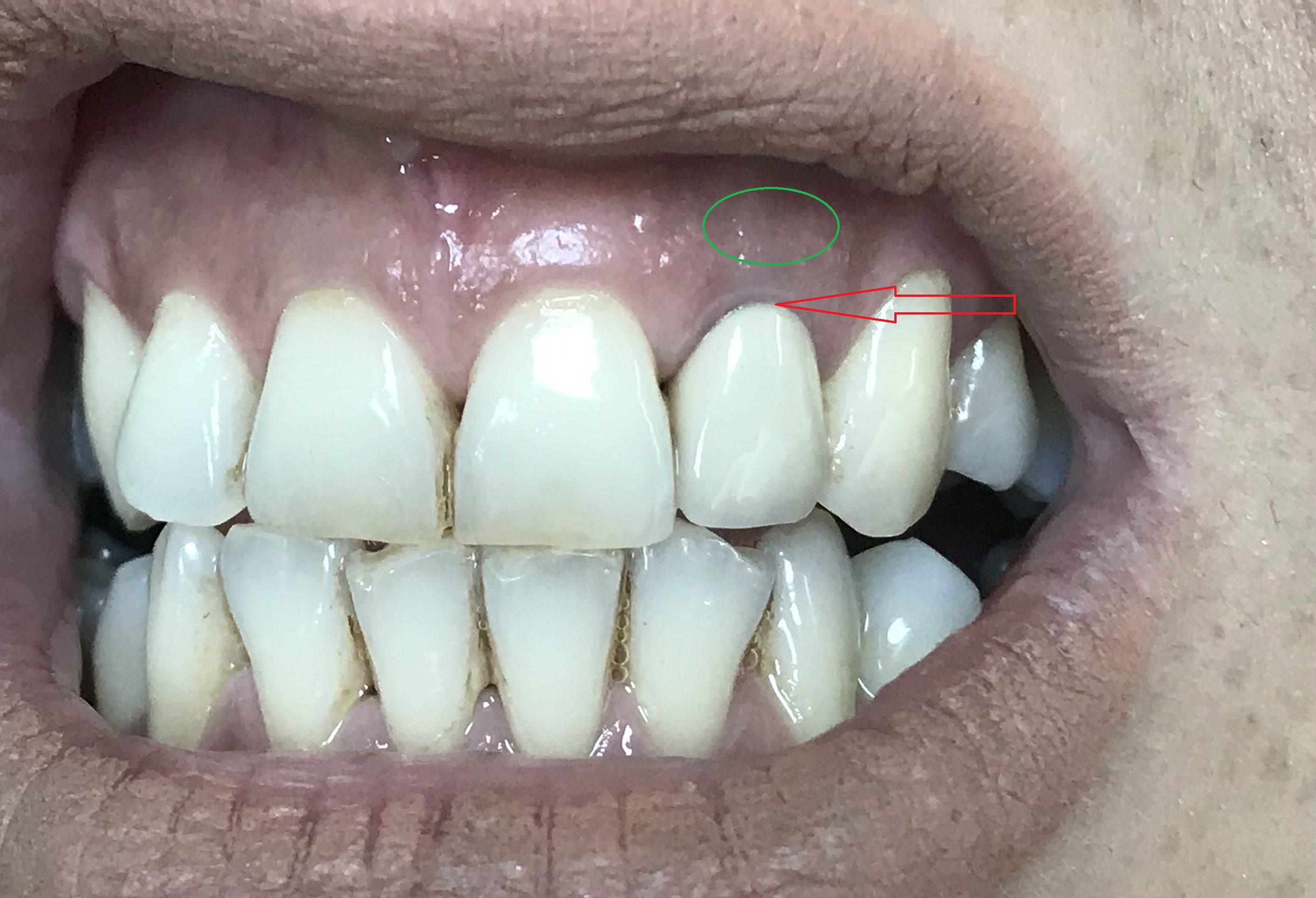
Pour la science... On parle de la coloration au collet (flèche rouge) ou de la coloration sur la gencive (ellipse verte) ?

Kwruz2keir5vpggprpet ui5nzg - Eugenol

Vw campersurfvan bmnk1q - Eugenol
enlaye

27/05/2021 à 10h22

un peu des 2 mon capitaine :-)
Daryl est maline comme une guenon comme d hab , mais je vais meme plus loin qu elle .
ce qui fait ça c est encore une fois de plus une composante occlusale .( mattes un peu la 32 )
en clair il n y a plus d os en vestibulaire , d ou la transparence de la racine noire à travers la gencive .
au mieux , et pour ne pas gagner grand chose , il faudrait beaucoup réduire l épaisseur de la racine en vest pour épaissir la gencive vest . mais si il y a un ic c est cuit , il ne resterait plus grand chose .


Nouveau image bitmap fz77zh - Eugenol
Sethef

27/05/2021 à 11h04

Effectivement, la dépose de tout le métal permet d'améliorer les choses;
Le collet, on peut arriver à quelque chose de parfait, mais d'expérience, il reste toujours quelque chose à la gencive.

Img 2750 lpxlxt - Eugenol
Img 2789 xol7cm - Eugenol

rice and carie

27/05/2021 à 16h57

enlaye écrivait:
------

> ce qui fait ça c est encore une fois de plus une composante occlusale .( mattes
> un peu la 32 )
>
c'est plutôt 23 que 22 qui explique l'encoche de 32.


Vw campersurfvan bmnk1q - Eugenol
enlaye

27/05/2021 à 21h12

je ne suis pas sur , mais peu importe ça n invaliderait pas ce que je disais .
à tout les coups avant la couronne , elle était symétrique avec les 2 latérales sorties .
quand bien meme la 32 buterait dur la 23 , il y a manifestement un sur contact ant , sans parler de l occlusion presqu inverse sur 34 . et il y a de multiples facettes d usure sur les incisives .
ce ne sont pas forcement des facettes d usure en oim , mais bien des facettes de traces parafonctionnelles . donc forcement s il y a mouvement , il est , dans un cas comme ça , en latéral afin de s échapper du sur contact ant . en 12 ça passe , elle est vest , en 22 ben ça passe moins bien .

je dis ça c est par similitude de ce que je vois souvent , pour ça que le manque d os en vest de 22 me parait fort possible .


Vw campersurfvan bmnk1q - Eugenol
enlaye

27/05/2021 à 21h19

et si tu regardes la photo de Sethef , on voit le meme genre de truc , une zone en depression avec de la gencive qui parait molle , non soutenue , à mon avis c est le meme cas .
comme par hasard , sa 22 était déjà couronnée , aussi .
les autres n étaient pas très en forme non plus , mais elles n étaient pas couronnées , donc les cingulums étaient plus adaptés .

Inkedimg 2789 xol7cm li g6etqt - Eugenol

Rape p0as4f - Eugenol
rapelapente

27/05/2021 à 21h28

Il faudrait plutôt lui dire d'arrêter de fumer plutôt que de s'occuper de petits trucs de ce genre.
Dis lui aussi que même les claviers de Bosendorfer on des touches noires.
Je n'ai plus de patience je le reconnais ...
.-))


--
Schooner For Ever