Cookie Consent byPrivacyPolicies.comDents de Super Sagesse :-)) - Eugenol

Dents de Super Sagesse :-))

Rape p0as4f - Eugenol
rapelapente

26/05/2021 à 20h32




--
Schooner For Ever

Agznst1fsqkatxhsme0u - Eugenol

Et7jtaj0pdi18gzjlxjiamlx15gs - Eugenol
Prunelles

27/05/2021 à 08h15

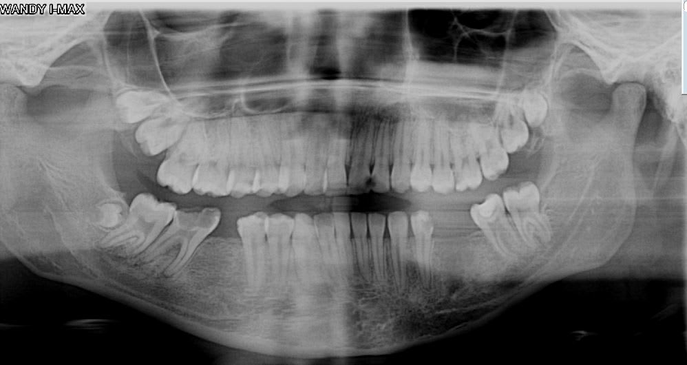
Au moins il a toujours 32 dents !


Rape p0as4f - Eugenol
rapelapente

27/05/2021 à 11h27

Non!
Que 31 !
:-))


--
Schooner For Ever


vernal

27/05/2021 à 13h17

Pas mieux !

Tempimageudwx2w tvcnjl - Eugenol

vernal

27/05/2021 à 13h17

Pas mieux !

Tempimageudwx2w tvcnjl - Eugenol

vernal

27/05/2021 à 13h18

Je vois que mon passé de bègue resurgit !!!


120 81 mdkvjo - Eugenol
Monaco

28/05/2021 à 06h01

Voir des 19/29 plus rarement 39/49 c'est pas non plus si exceptionnel ..
Dans la même veine, souvent à la pano découverte fortuite de prémolaires mandibulaires surnuméraires incluses.