Tous les forums
Cas fixes et amovibles en numérique
02/06/2021 à 14h05
J'ai plusieurs questions sur des cas de prothèse fixes et amovibles avec un flux numérique complet :
En effet lorsque j'ai un calage occlusal c'est facile de faire les rims.
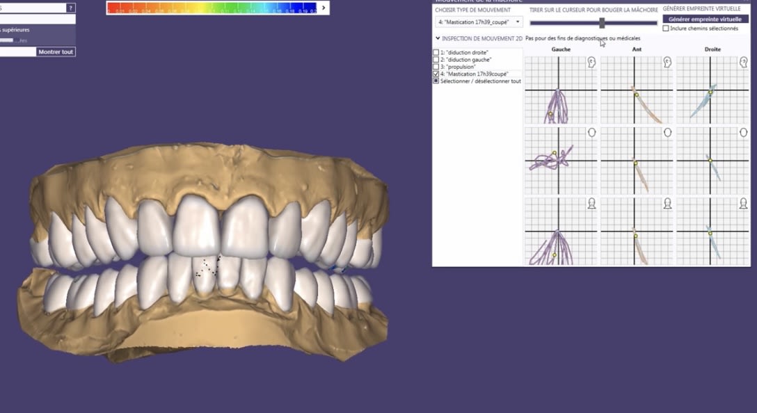
Depuis peu je me suis lancé sur de grosses reconstructions fixées. Là je scan mes arcades avec les provisoires, j'enregistre mes RIMS avec, j’enlève les provisoires, je gomme les couronnes prov sur le logiciel et j'enregistre mes préparations. C'est plutôt facile.
Mais maintenant je me pose la question des cas où on a plus de repères. Comment faites vous ? Est ce que vous passer par une cire d’occlusion ? Faite par le labo ? (a partir d'une emp num ? ou d'une emp 1R alginate ?) par vous au cab ? Vous scanner la cire d’occlusion ? Comment transmet t'on proprement au labo en numérique orientation d'un plan d'occlusion ?
Je peut vous transmettre des scan de mes cas en cours pour alimenter la discussion car je rencontre des difficultés à transmettre uniquement avec le numérique la totalité des informations nécessaires.
02/06/2021 à 15h33
Lemonde je vais suivre ton post avec grand interet .
Comme les cas sont tous différents effectivement tes scan peuvent etre utiles .
02/06/2021 à 23h35
lemondestvaste écrivait:
--------------
" Comment transmet t'on proprement au labo en numérique orientation d'un plan d'occlusion ? "
ç est le pb , je crois que c est impossible . sur le logiciel tu ne peux pas tracer un plan ou un trait en l air comme ça dans le vide .
il faudrait l équivalent d un Ditramax virtuel .
bon de toute facon la mobile n est pas fraisée ( pour les francais ) trop cher donc elle est faite à la main , classique .
03/06/2021 à 08h45
enlaye écrivait:
------
> lemondestvaste écrivait:
> --------------
> " Comment transmet t'on proprement au labo en numérique orientation d'un plan
> d'occlusion ? "
> ç est le pb , je crois que c est impossible . sur le logiciel tu ne peux pas
> tracer un plan ou un trait en l air comme ça dans le vide .
> il faudrait l équivalent d un Ditramax virtuel .
> bon de toute facon la mobile n est pas fraisée ( pour les francais ) trop cher
> donc elle est faite à la main , classique .
Je vous invite à regarder cette vidéo de 3D Dental Store :
On peut scanner un visage avec un smartphone.
03/06/2021 à 10h11
On peut scanner un visage avec un smartphone ?? Quelle appli ? Quel format ? tu nous en dirait un peu plus. Je vais tenter avec mon AD dès que j'ai un moment.
03/06/2021 à 10h18
lemondestvaste écrivait:
--------------
> On peut scanner un visage avec un smartphone ?? Quelle appli ? Quel format ? tu
> nous en dirait un peu plus. Je vais tenter avec mon AD dès que j'ai un moment.
l'iphone 12 a un scanner 3D avec lidar... mais c'est pas de qualité...
La ils ont du utiliser un scanner 3D d'objet, dans les 7ke.
Après tu peux scanner le visage avec ta cam... Faut savoir être patient :))
03/06/2021 à 10h40
lemondestvaste écrivait:
--------------
> On peut scanner un visage avec un smartphone ?? Quelle appli ? Quel format ? tu
> nous en dirait un peu plus. Je vais tenter avec mon AD dès que j'ai un moment.
https://www.bellus3d.com/facemaker/
C'est une app pour iPhone gratuite, l'export du scan en STL est payant (5$ si j'ai bonne mémoire)
L'app utilise la caméra frontale face ID. Il faut donc un iPhone 10 ou suivant.
05/06/2021 à 07h15
tout cela c est bien joli mais cela ne sert à rien pour répondre a la problématique de Lemondestvaste qui elle est bien réelle .
et c en est meme dangereux , pcq tout le monde fait le canard , puisqu il n y a pas de solution ,
avec l' assocation cam + net + chinois et on se retrouve dans une impasse pour recréer une occlusion .
pcq t as beau avoir des moustachus , des chauves ou des barbus , la mobile , elle , elle se fait avec des dents en plastic sur de la cire chauffée à la flamme , le tout sur un établi .
05/06/2021 à 07h21
le numérique , ca me fait penser au boneto , ça attire tous les menteurs et les escrocs .
et nous ont joue a la fois le role :
- du complice quand on s engage sur un devis
et le role
- du niqué quand il s agit d essayer de finaliser le travail .
il y a une hypocrisie camouflée extraordinaire autour de ces bit . ou alors peut etre que l on veut croire à un rêve inaccessible : se passer du prothésiste et de la validation pre prothetique des montages .
06/06/2021 à 06h20
enlaye écrivait:
------
> tout cela c est bien joli mais cela ne sert à rien pour répondre a la
> problématique de Lemondestvaste qui elle est bien réelle .
Le labo reçoit tout les plans de références non ? Ligne bi-pupillaire, ligne médiane, plan de camper.... Lemondesestvaste demandait comment transmettre un plan d’occlusion.
06/06/2021 à 06h29
enlaye écrivait:
------
> le numérique , ca me fait penser au boneto , ça attire tous les menteurs et les
> escrocs .
> et nous ont joue a la fois le role :
> - du complice quand on s engage sur un devis
> et le role
> - du niqué quand il s agit d essayer de finaliser le travail .
>
> il y a une hypocrisie camouflée extraordinaire autour de ces bit . ou alors
> peut etre que l on veut croire à un rêve inaccessible : se passer du prothésiste
> et de la validation pre prothetique des montages .
>
Pourquoi ne plus essayer ses maquettes ? Pour moi Enlaye le numérique c’est juste un outil en plus à notre disposition. Et comme toujours ce sera très opérateur-dépandant. Rien n’oblige à faire du one shot.
Après je te rejoins sur un point, le Rac0 va consacrer la dentisterie numérique à la Française que le monde entier nous enviera :-)
06/06/2021 à 07h27
Olieve lemondeestvaste nous demande : comment transmet on l’enregistrement de l’occlusion de la DVO chez un sujet qui a la bouche déglinguée.
En gros t’as fait des préparations tu veux faire par exemple couronnes bridge et prothèses en plastoc, il n’y a pas de calage, la DVO tu ne la connais pas , l’occlusion de convenance ou la relation centrée tu ne sais pas où elle est …… et là tu nous montres un visage d’un mec qui a toutes ses dents qui fait matcher sa bouche avec le visage.
Maman ne voit qu’un seul moyen ce sont les maquettes d’occlusion. Ou l’utilisation d’un duplicata de l’ancienne prothèse dans certains cas. Et tu renvoies ça chez le prothésiste.
06/06/2021 à 08h01
Olieve écrivait:
------
" Pourquoi ne plus essayer ses maquettes ? "
absolument , d autant plus que la mobile elle , est faite à l ancienne ,
-sur un maitre modele qu il soit en platre ou à partir d un plastoc 3D de ton scan
- et que le gars se sert de ta cire où tu lui a donné la largeur la hauteur et l epaisseur de ton couloir prothetique , pour y positionner les dents . et n oublions pas que pour monter les dents , il lui faut quoiqu il arrive , une table de montage .
si tu n as fait QUE du scan ( pour la transmission ) le gars , il fait comment ? il regarde l écran , il se bricole son truc , il reregarde l écran et il bricole son truc et ainsi de suite ? :-))) c est de la branlette virtuelle , quoi :-)
bon apres il y a le fraisage avec des galettes vanille fraise , mi blanche mi rose , mais ça coute un bras et là comme tu l as dit on est plus dans du raco , et c est pas pour les stellites , non plus .
bref , on est plus dans le : je scan et je reçois la fixe et la mobile en 1 fois .
06/06/2021 à 08h13
Olieve écrivait:
------
" Le labo reçoit tout les plans de références non ? Ligne bi-pupillaire, ligne médiane, plan de camper.... Lemondesestvaste demandait comment transmettre un plan d’occlusion."
comment , en numérique ?
pcq j ai essayé sur exocad , , tu prends la photo du visage , apres il faut que tu fasse coïncider cette photo et le scan de la bouche en faisant glisser avec la souris ... meme si j ai maquillé le visage comme une voiture volée avec des traits reperes , ce n est pas évident ne serait ce que pcq le visage et l intrados ne sont pas à la meme échelle .
06/06/2021 à 08h29
Oui et tout ce binz pour monter ça sur un articulateur qui ne reproduit pas véritablement les mouvements de la bouche :)
Sinon il y a le modjaw Enlaye pour les mouvements. T’as déjà essayé ça ? Il y a l’enregistrement de la position des arcades dans l’espace et leur mouvement
06/06/2021 à 08h33
pour le modjaw , il faut des dents :-)))
et s il y a des dents , on en a plus besoin :-) tout au moins ici .
et s il faut investir dans de la cam + du modjaw il commence à nous couter chero ce raco
06/06/2021 à 08h34
enlaye écrivait:
------
> comment , en numérique ?
> pcq j ai essayé sur exocad , , tu prends la photo du visage , apres il faut que
> tu fasse coïncider cette photo et le scan de la bouche en faisant glisser avec
> la souris ... meme si j ai maquillé le visage comme une voiture volée avec des
> traits reperes , ce n est pas évident ne serait ce que pcq le visage et l
> intrados ne sont pas à la meme échelle .
Là tu parles d'une photo, regarde de nouveau la vidéo : là on aligne un scan 3d du visage sur le scan dentaire.
06/06/2021 à 08h48
Tu prends le truc en sens inverse, c'est un bug mental assez simple.
On a vendu la cam aux dentistes en leur disant que tu peux tout faire avec, donc ils ont foutu leurs paquets d'alginate à la benne. Et puis vu le prix de l'engin, tu peux pas admettre que ça marche pas pour tout.
Résultat, tu te fais chier et tu passes deux fois plus de temps qu'avec une cire à 2 balles, ça s'appelle la persistance dans l'erreur.
enlaye écrivait:
------
> le numérique , ca me fait penser au boneto , ça attire tous les menteurs et les
> escrocs .
> et nous ont joue a la fois le role :
> - du complice quand on s engage sur un devis
> et le role
> - du niqué quand il s agit d essayer de finaliser le travail .
>
> il y a une hypocrisie camouflée extraordinaire autour de ces bit . ou alors
> peut etre que l on veut croire à un rêve inaccessible : se passer du prothésiste
> et de la validation pre prothetique des montages .
>
06/06/2021 à 08h49
Mais je regarde quand même les solutions techniques, ça m'intéresse bien sûr.
06/06/2021 à 08h59
Admettons vous avez 13 16 25 26 en place et 44 45 34en place …. Faut faire 2 couronnes et deux partiels .
Vous avez scanné les arcades. Comment tu fais ensuite Olieve pour l’occlusion et la DV ?
06/06/2021 à 09h10
voilà :-)))
quoi que là tu peux scanner avant , apres tailles , et apres tailles avec cire et matcher comme ils disent ?
le pb est si :
les dents qui restent ne sont pas dans le bon plan d occlusion . là c est la merde . il n y a plus de bricolage adaptatif d anticipation sur les platres
06/06/2021 à 09h23
le pb le plus compliqué est le suivant :
tu as 3,4 dents qui tiennent un stellite . tout est a changer dents + stellite .
seulement le plan d occlusion ( et / ou la dvo) est tout pourri comme d hab .
tu fais comment ?? sachant que tu dois faire les dents avant le stellite mais que ç est le stellite qui te détermine le plan d occlusion , la dvo etc , stellite que tu n as pas encore donc ??
il faut passer par une ppa provisoire ? :-)
que tu vas faire avec le scan ??? :-))))
06/06/2021 à 09h27
Olieve écrivait:
------
" Là tu parles d'une photo, regarde de nouveau la vidéo : là on aligne un scan 3d du visage sur le scan dentaire."
oui j ai vu , il te faut deja une cam , mais admettons , de la photo de la cire , il en fait quoi le prothésiste ?
pas compris .
06/06/2021 à 09h33
ça rassure maman parce que dès le départ elle n'a pas compris.
06/06/2021 à 09h50
il y a un autre truc qui est une esbroufe , le coup des prov qui soit disant te servent de gabarit :-)
ou alors c est mon proto qui est idiot , mais apparemment , il ne serait pas le seul :-)) pcq je n ai pas compris non plus .
tu fais avant * / apres tailles , puis tu fais un prov , tu le scan , et apres ??
ben apres il te fait la maquette de fraisage , à la main avec la souris pour que ça ressemble à la photo de tes prov . comme un peintre , il ferme un oeil :-)))
* scan avant taille qui d ailleurs ne te sert à rien puisque tu vas modifier l occlusion .