Cookie Consent byPrivacyPolicies.comidentification implant - Eugenol

identification implant

Sans titre ayidq2 - Eugenol
Moe

09/06/2021 à 15h09

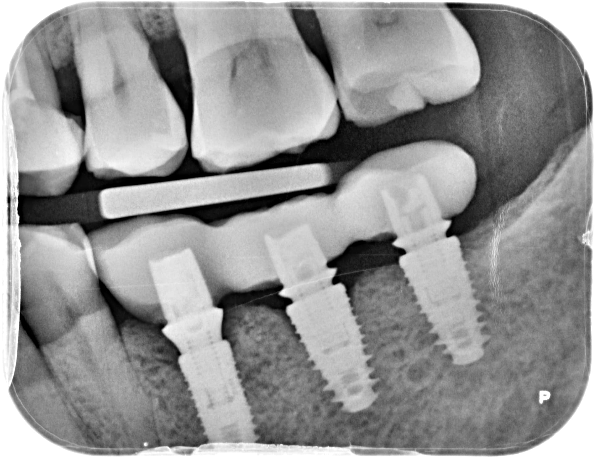
Bonjour

Mais qui es-tu ? Donne moi ton petit nom que je puisse te soigner...

Xbr2ego9qs4xwom4s878 - Eugenol

Photo pluton1b h9n4ea - Eugenol
pluton

09/06/2021 à 15h12

Kontact Biotech....;-) 100% sûr...

https://www.biotech-dental.com/professionnel-sante/solutions-dentaires-produits/implant-dentaire/kontact/