Cookie Consent byPrivacyPolicies.comaide identification implant - Eugenol

aide identification implant

Mirfak

11/06/2021 à 14h30

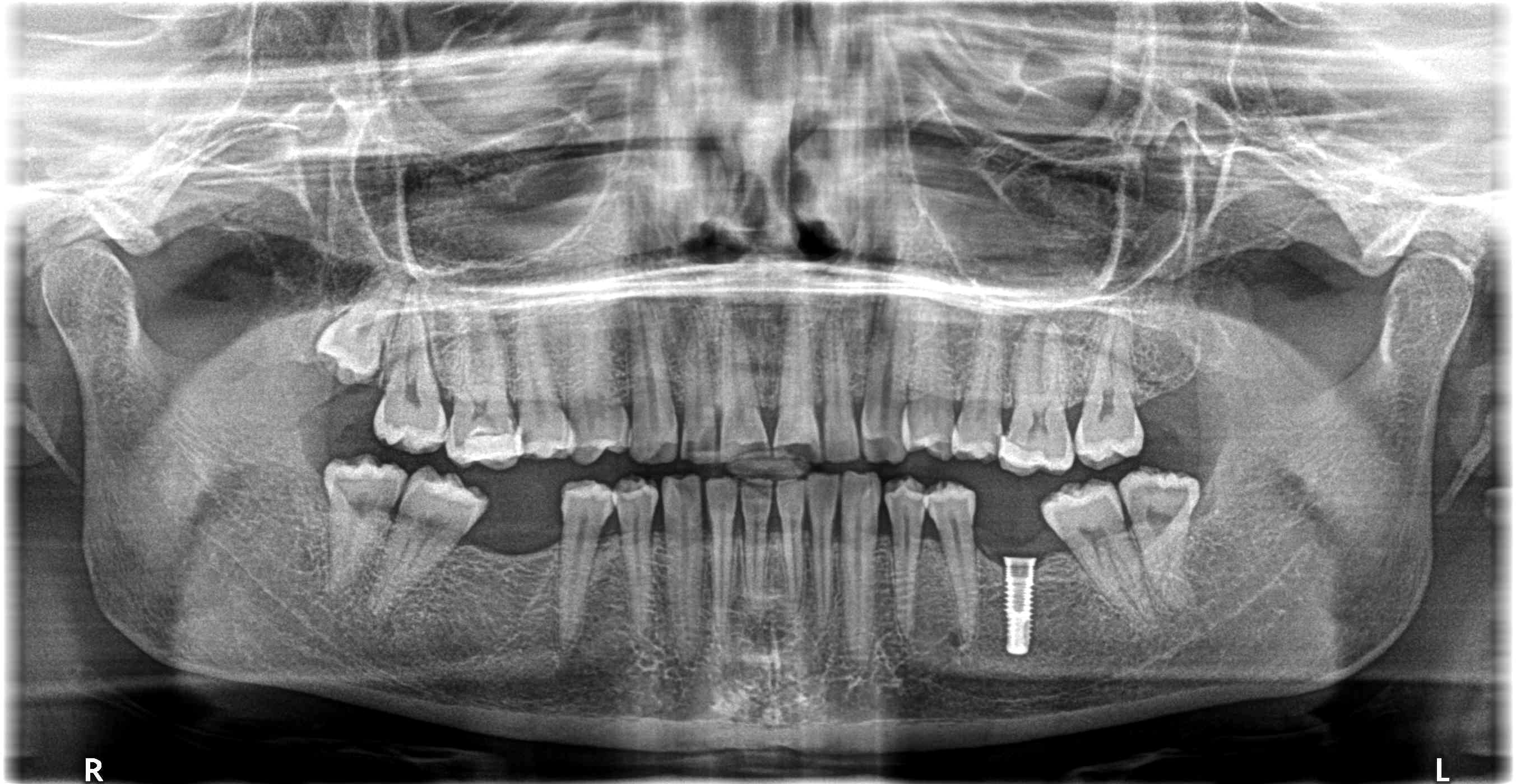
Bonjour à tous,
une nouvelle fois, implant posé, je ne sais où, pas je ne sais qui !
Merci par avance pour vos réponses !

D460xxaxnf4x9lrr7q1m - Eugenol

6ril

11/06/2021 à 14h40

Serf Evl je pense


Photo pluton1b h9n4ea - Eugenol
pluton

11/06/2021 à 17h24

EVL N serf
maintenant GlobalD