Cookie Consent byPrivacyPolicies.comretraction gingival sur 11 - Eugenol

retraction gingival sur 11

abitbol bernard

14/06/2021 à 10h31

Bonjour
Pouvez-vous me donner un conseil svp?
J'ai taillé une 11 en vue d'une ccm puis poser une provisoire résine.
Héllas la semaine d 'après la gencive est toujours rouge tuméfiée et même boursouflée . la couronne clinique est plus grande que la 21 pourtant la gencive des dents adjacentes est saine. j'arrive pas a comprendre pourquoi?
Je patiente encore avec trt bain de bouche en espérant le retour a la normal de la gencive.
Merci pour vos retour


lachmar

14/06/2021 à 10h54

pas facile de t aider sans radio et sans photo
il ya tellement d'hypothèses


DrSailing

14/06/2021 à 11h10

Préparation un peu trop sous gingivale ou provisoire trop envahissante. Si tout va bien ailleurs sauf sur la 11, le problème vient de ce qui est pose dessus.


fifi55

14/06/2021 à 11h14

Allergie à la résine de la provisoire ??


abitbol bernard

14/06/2021 à 12h02

Merci pour vos réponses

Je revois la patiente ce jour et j affine les bords de la prov un max
bain de bouche
ca fait 20 jours maintenant
je pense pas a une allergie peut etre trop sous ggivale ??
je reprendrai une photo la prochaine fois


abitbol bernard

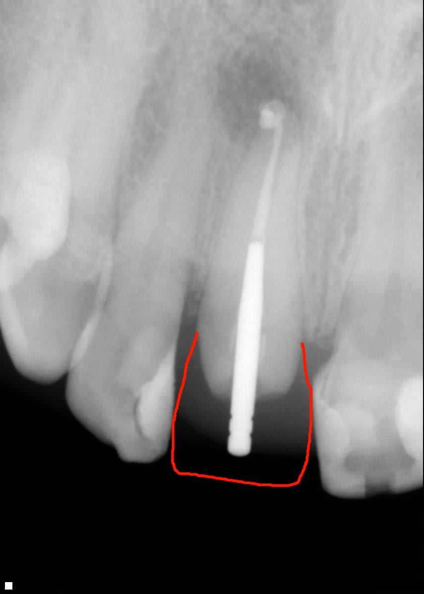
14/06/2021 à 12h08

voici la radio

008 isy1j2 - Eugenol

Gabzou

14/06/2021 à 12h34

Il est où le congé? Ça sent le sur contour.


abitbol bernard

14/06/2021 à 12h36

pour le moment ce n'est qu une provisoire donc limite simple
Si je me lance sur un congé j'ai peur que ce soit pire


fifteeth

14/06/2021 à 13h17

abitbol bernard écrivait:
---------------
> pour le moment ce n'est qu une provisoire donc limite simple
> Si je me lance sur un congé j'ai peur que ce soit pire
----------------------------------------------------------
Hello,
Gencive moche et méga pêche apicale... si je peux me permettre..; je ferai une vraie prépa plutôt juxta gingivale/une provisoire bien adaptée en légère sous-occ /je scelle au Durelon en éliminant bien les excès... et je laisse dormir tout l'été... A la rentrée rx et couronne si tout est ok !!...


Édouard62

14/06/2021 à 13h47

Ça serait sympa aussi d’avoir des compo bien adaptés sur les adjacentes. Bref pas étonnant que la gencive ne soit pas à la fête


abitbol bernard

14/06/2021 à 14h45

Merci pour vos retour
je vais refaire la provisoire et les compo et on patiente ....


jeunedentiste001

14/06/2021 à 14h59

probablement espace bio pas bon (cf photo que jai mis où je pense deviner la position du congé)
Pour moi a la radio t'es trop sous gingival

Soit tu attends que l'inflamation cesse (ca va prendre 2 mois au moins) et l'espace bio va se recreer tout seul avec la fonte osseuse
Soit tu fais une elongation coronaire

008 isy1j2 kxansn - Eugenol