Cookie Consent byPrivacyPolicies.comErosions / bruxisme / surcharge 11 21 - Eugenol

Erosions / bruxisme / surcharge 11 21

Fear and loathing in las vegas toax7t - Eugenol
Donchico

30/06/2021 à 16h46

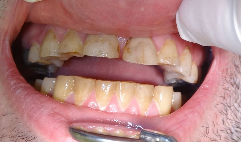
Voilà un cas clinique qui me pose problème.
Patient 40 ans , fumeur, ex fan du coca, stressé, bruxomane forcené qui présente des érosions et abrasions chimiques généralisées.
Suite l'abrasion des dents postérieures il a une surcharge sur 11 et 21 qui sont devenues mobiles avec en plus des racines résorbées.

Comment gérer ça pour éviter la perte de 11 et 21?
Des couronnes partout, des tabletop en céramiques?
J'ai un peu peur qu'il ne m'éclate tout rapidement même avec une gouttière nocturne.

Pour Enlay, la couronne métal sur 47 a 10 ans et a été réalisée alors qu'il y avait déjà des abrasions du secteur postérieur à l'époque (gros amalgame sur 47 à l'époque et émail cassé en vestibulaire)

Merci de me donner vos avis

Uyrkmar46kfaupu5kv0q - Eugenol
Lxykbm2ah4q6c5aqqkpo - Eugenol
F6plpyhciwlfiuhqtbad - Eugenol
Xeigqrj2aduv9atucgod - Eugenol
M0arwafl2dov0etydapv - Eugenol
Aojskcscldwvfk5c2f5v - Eugenol
Kh0dy5y92vgz1ufxnh3p - Eugenol
K5e8y1r2mnnjttrxthkc - Eugenol
Ijemzeohtoroukp52jml - Eugenol

Capture d écran 2018 05 16 à 21.30 - Eugenol
Daryl

30/06/2021 à 17h10

Faut qu'il se calme ce Monsieur , qu'il s'aère , qu'il fasse du sport ou qu'il change de meuf !!

Sinon, est ce que 11 et 21 sont encore vitales ?
L'élargissement ligamentaire + images apicales (?) pourraient peut être expliquer la mobilité..


Nouveau image bitmap fz77zh - Eugenol
Sethef

30/06/2021 à 17h24

Pour 11 21, je pense que si tu réduis larga manu la 47, tu devrais vite observer une diminution des mobilités.
Pour le reste, je ferais probablement une douzaine de coiffes postérieures d'entrée de jeu, éventuellement les plus postérieures en métal si tu le sens pas, réglées "comme une gouttière", pentes cuspidiennes modérées et cycles d'incision légers légers.

Puis céramiques devant comme d'hab en fait.


4a338550 6a5b 47ea b2a7 d3cb675c5076 oni5gh - Eugenol
𝕱𝖎𝖘𝖙𝖚𝖑𝖊

30/06/2021 à 20h32

Mon DC,
Elles sont bien angulées tes RX sur 11-21?
😷🤔


Vw campersurfvan bmnk1q - Eugenol
enlaye

30/06/2021 à 22h27

Donchico écrivait:
--------
" Pour Enlay, la couronne métal sur 47 a 10 ans et a été réalisée alors qu'il y avait déjà des abrasions du secteur postérieur à l'époque (gros amalgame sur 47 à l'époque et émail cassé en vestibulaire) "

oui et alors ? :-) ce n est pas une raison pour la garder :-) meme si tu la referas en fer . après la dépose , il n y aura surtout pas de prov , dans le but de le déprogrammer .
et comme te l a dit Sethef , tes centrales vont très rapidement se stabiliser .


Vw campersurfvan bmnk1q - Eugenol
enlaye

30/06/2021 à 22h36

Daryl écrivait:
-----
" Faut qu'il se calme ce Monsieur , qu'il s'aère , qu'il fasse du sport ou qu'il change de meuf !! "

+1 bien sur !
elle est fine la Daryl , elle commence tjs par le début .
ce n est pas un pb d' occluso pur , ç est plutôt un pb comportemental .
mon ordonnance serait :
1 pipe matin , midi et soir AVANT les repas pendant 6 jours .
dejà ça ne peut pas faire de mal , et t' es sur du résultat , y grince plus :-)
et bien sur arrêt immédiat des joints du viski et autre poudre !


6szjws718sv1jksw54v4mpj3a6cu - Eugenol
vulpi

30/06/2021 à 22h45

enlaye écrivait:
------
> Daryl écrivait:
> -----
> " Faut qu'il se calme ce Monsieur , qu'il s'aère , qu'il fasse du sport ou qu'il
> change de meuf !! "
>
> +1 bien sur !
> elle est fine la Daryl , elle commence tjs par le début .
> ce n est pas un pb d' occluso pur , ç est plutôt un pb comportemental .
> mon ordonnance serait :
> 1 pipe matin , midi et soir AVANT les repas pendant 6 jours .

Par la même personne ? T'es pas précis !


Vw campersurfvan bmnk1q - Eugenol
enlaye

30/06/2021 à 22h49

pour la stabilité du cas , ç est préférable :-)
après si il a une bonne mutuelle ...


Vw campersurfvan bmnk1q - Eugenol
enlaye

30/06/2021 à 23h05

depuis années 80 qui etaient le ttt occlusal pur ,puis 90 la mode des gouttières , la tendance depuis 2010 serait la prise en charge psycho- physiothérapie et on pense que vers 2030 , on évoluera vers la pharmacothérapie - biologie .


H*K

30/06/2021 à 23h17

Cas classique très intéressant.
1/ Toutes les dts st abrasées, pas ou peu de déchaussement gingival et mobilité des incisives sup, pas de résorption radiculaire plutôt une arthrite ligamentaire. Pronostic de perte des incisives engagé à moyen terme.
2/ Os alvéolaire dense, (pas de pb de parodonte)
3/ Le Bruxisme chronique est la cause des abrasions des dts.
4/ Profession ? A t il des pb osteo articulaire ( cervicalgie, lombalgie ou autres ) ?
5/ Le bruxisme découle souvent d'un déséquilibre psychique et postural.
6/ Solution simple : A éviter toutes solutions de surréservation. Diminuer les contact prématurés sur les incisives jusqu'à rétablir les contacts postérieurs par meulage progressif et léger des FO des incisives en occlusion centrée et en latéralité. Le faire sur plusieurs séances en statique et en dynamique.
A+++


4a338550 6a5b 47ea b2a7 d3cb675c5076 oni5gh - Eugenol
𝕱𝖎𝖘𝖙𝖚𝖑𝖊

01/07/2021 à 07h32

Bin là, on est bien obligé de monter la DV puisqu’on « rajoute » l’email usée .
😷🤗


Vw campersurfvan bmnk1q - Eugenol
enlaye

01/07/2021 à 07h47

non pas forcement , il y a des fraises pour ça :-) où tu enlèves ce que tu vas rajouter . ( fonds de sillons )
il n y a que si les dents sont devenues trop petites , alors il t est plus facile de monter un peu plutôt que de faire des élongations de partout .


Vw campersurfvan bmnk1q - Eugenol
enlaye

01/07/2021 à 08h04

H*K écrivait:
---
" Diminuer les contact prématurés sur les incisives jusqu'à rétablir les contacts postérieurs "

il ne peut pas y avoir de contacts prématurés sur les incisives :-)
regarde bien la photo , il n y a aucune usure en vestibulaire des incisives du bas , rien .
ce qui veut dire que le bruxisme est latéral avec un fort appui postérieur .
ça c est typique d un pb de centrage transformé en manque de calage . qui entraine un pro-glissement .

Xeigqrj2aduv9atucgod sqy3bp - Eugenol

Vw campersurfvan bmnk1q - Eugenol
enlaye

01/07/2021 à 08h18

핱햎햘햙햚햑햊 écrivait:
-------
" Bin là, on est bien obligé de monter la DV puisqu’on « rajoute » l’email usée .
珞 "

en théorie oui , mais remonter la dv ça veut dire :
- tout couronner en meme temps
- refaire un calage
- or tu ne peux pas refaire un calage correct si tu ne connais pas son centrage .
- mais ici , comme il n y a plus de centrée , donc tu es obligé de passer par une étape de calage pour pouvoir determiner un bon centrage .
- il est là le pb ! c est ingérable .
pb d autant plus embêtant que tu ne peux compter sur aucune manipulation fiable avec sa coordination motrice pipée .

j en ai eu fait quelque unes , j ai tjs merdé , sauf 1 seul cas , où il m a fallu 20 ans pour arriver à le stabiliser . apres avoir tout refait plusieurs fois . je ne le souhaite à personne :-)


Nouveau image bitmap fz77zh - Eugenol
Sethef

01/07/2021 à 08h37

𝕱𝖎𝖘𝖙𝖚𝖑𝖊 écrivait:
-------
> Bin là, on est bien obligé de monter la DV puisqu’on « rajoute » l’email usée .
> 😷🤗


En fait, non; parce qu'en même temps que l'usure, il y a eu égression: d'ailleurs, le visage n'est jamais effondré, la plupart du temps l'esthétique faciale est conservée tant qu'il garde la bouche fermée.


Vw campersurfvan bmnk1q - Eugenol
enlaye

01/07/2021 à 08h41

𝕱𝖎𝖘𝖙𝖚𝖑𝖊 écrivait:
-------
" Bin là, on est bien obligé de monter la DV puisqu’on « rajoute » l’email usée .
😷🤗 "

et là où tu as raison , Fistule , c est qu il faut quand meme recréer ce qu il a perdu , tant qu a faire, ce qui est logique :-)
- or si tu regardes bien , dans tous les cas que tu as eu , tu constateras qu il y a tjs beaucoup plus d usures au max qu a la mandibule .
étonnant , non ? :-)
- de plus ils te diront : c est làààà que ca touche , et ç est tjs en haut jamais en bas :-))
j en arrive à ma conclusion que la proprioception est + maxillaire que mandibulaire .
donc qu il faut commencer par un haut ideal , comme ça c est fait . et qu ensuite tu finalises le bas en essayant de bien l emboiter dans le haut . et il sera là le pb :-)
ta dvo sera donc déterminée par les reglages de lateralite qui dépendront de ton bloc ant .
or , ici , ton bloc ant est à la bonne hauteur , donc tu ne peux pas augmenter la dvo .


Vw campersurfvan bmnk1q - Eugenol
enlaye

01/07/2021 à 08h50

" j en arrive à ma conclusion que la proprioception est + maxillaire que mandibulaire . "
ce qui est logique finalement puisque c est le bas qui bouge .:-)
donc ça veut dire qu une meme dent maxillaire vas etre frottée par plusieurs dents mand .
autrement dit , cette meme dent recevra en permanence des impulsions par des dents du bas qui elles n en auront que des séquences alternatives .


4a338550 6a5b 47ea b2a7 d3cb675c5076 oni5gh - Eugenol
𝕱𝖎𝖘𝖙𝖚𝖑𝖊

01/07/2021 à 08h52

Merci les copains !
😷🤗


4a338550 6a5b 47ea b2a7 d3cb675c5076 oni5gh - Eugenol
𝕱𝖎𝖘𝖙𝖚𝖑𝖊

01/07/2021 à 09h19

Sethef,
Pas de perte de DV par égression spontanée...
Je m’interroge, entre le haut et le bas, on a du perdre au minimum 3-4mm de matière.
Même sans écrasement esthétique, c’est compliqué de l’estimer visuellement au niveau de l’étage inférieur.
😷🤔


Nouveau image bitmap fz77zh - Eugenol
Sethef

01/07/2021 à 09h53

Tu as un peu raison.
En fait, j'ai beaucoup de mal avec l'occluso, parce que ça touche à l'instinctif, je n'arrive pas à systématiser (scientifiquement) l'histoire.

L'endo, c'est facile à comprendre, tu nettoies tu bouches, l'occluso, je sais qu'à la fin ça marche quand je le fais, mais je serais incapable de le mettre sur papier.

N'empêche que quand je fais ce genre de chose (cf mon cas posté il y a quelques jours), je ne remonte pas toutes les dents, juste je reprends celles qui sont niquées. Dans mon cas, il avait toujours ses contacts prédominants 6-7. Mais pas pareil qu'avant.

Donc comme enlaye, tu remontes rien, tu repositionnes, 'c'est pas pareil.
Et en plus, comme c'est tout plat, tu peux finalement repositionner n'importe où, tant qu'il y a de la place.


Vw campersurfvan bmnk1q - Eugenol
enlaye

01/07/2021 à 10h50

핱햎햘햙햚햑햊 écrivait:
-------
" Sethef,
Pas de perte de DV par égression spontanée...
Je m’interroge, entre le haut et le bas, on a du perdre au minimum 3-4mm de matière.
Même sans écrasement esthétique, c’est compliqué de l’estimer visuellement... "

:-)) eh oui , normal que tu t interroges , c est que tu as raison :-)
et tu remarqueras que je n ai jamais dit qu il n y avait pas de perte de dvo :-)
j ai seulement dit que tu ne pouvais pas l augmenter , nuance :-)) ( certes il y a parfois une égression compensatrice , mais ça ne va pas chercher loin , ici . )

je vais te dire un secret et tu le répètes à degun ,hein , surtout pas à Daryl ni à Sethef qui sont devenus trop forts :-)
en fait ce qui se passe c est qu il y a eu une remontée des atm , ce que l on appelle une compression ou bien encore une perte de dvo posterieure .
et ça , tu tournes tu vires , tu ne pourras rien y faire , rien , c est comme ça .
en tout cas , certainement pas en ouvrant la branche de l articulateur :-)
donc il faut faire avec .




4a338550 6a5b 47ea b2a7 d3cb675c5076 oni5gh - Eugenol
𝕱𝖎𝖘𝖙𝖚𝖑𝖊

01/07/2021 à 12h05

Trop fort mon Enlaye !!!
C’est mes yeux ou tu commençais des cas par le bas ???
Plus en zone antérieure ?
😷🤗🥺

C72ee2a9 8e56 4874 8624 0bd9eb2679fa jwlenu - Eugenol

Vw campersurfvan bmnk1q - Eugenol
enlaye

01/07/2021 à 12h13

oui , tes yeux sont encore bons :-)
effectivement , je commence tjs par le bas lorsque le bloc ant du bas est niqué .
comme pour ce cas par exemple . et ce sans pour autant augmenter la dvo .
ce qui n est pas le cas dans ce post .

B 1 vy3l7g - Eugenol
B 2 w2gdsi - Eugenol

4a338550 6a5b 47ea b2a7 d3cb675c5076 oni5gh - Eugenol
𝕱𝖎𝖘𝖙𝖚𝖑𝖊

01/07/2021 à 12h51

J’ai une patiente avec des faces vestibulaires niquées sur 44-45 et 34-35 (le reste, couronnes...).
Tu déclenches une prise en charge SS ?
On est loin du délabrement irréversible, dans mon cas, c’est tiré par les poils du cul e5 j’en ai plus beaucoup !
😷🥴
Ton cas :
Rouge, zone de frottement en propulsion.
Tu entoures les obturations ???
😷🤔


😷😜


H*K

01/07/2021 à 12h53

L'Abrasion des dts dû au bruxisme est une conséquence de l’état psychique et de la posture globale du patient. C'est le symptôme pas la cause. L'abrasion est une adaptation de l'occlusion par diminution de la DVO. Vouloir rétablir la DVO initiale serait une erreur. Voir les échecs et les difficultés des intervenants. Ce n'est pas sur une photo qu'on peut voir un CP. Si les incisives st mobiles c'est à cause des abrasions des dts postérieures. Toutes les dts st abrasées sauf les 11 et 21. C'est au tour des incisives maintenant.
Essayer le test suivant : posez un doigt sur l'incisive mobile et demandez au patient de serrer et de grincer les dts et de voir ce qui se passe.
Qui ne risque rien n'a rien :))


12...