Cookie Consent byPrivacyPolicies.comIdentification implant - Eugenol

Identification implant

Dentiste06200

08/07/2021 à 17h29

Bonjour à tous,
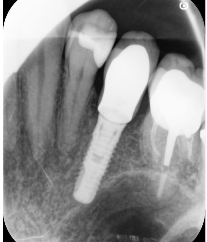
J'ai besoin d'identifier cet implant.
Avez vous une idée ??
Merci pour votre retour,

Zwisiwwgh9ifqu1fbtrp - Eugenol

Photo pluton1b h9n4ea - Eugenol
pluton

08/07/2021 à 19h32

Serf EVL N ( Global D maintenant)


Dentiste06200

09/07/2021 à 11h48

Merci