Cookie Consent byPrivacyPolicies.comGrêlé - Eugenol

Grêlé

Mm goodteeth2 ex0rr1 - Eugenol
Jules

12/07/2021 à 22h11

Bonjour à tous !

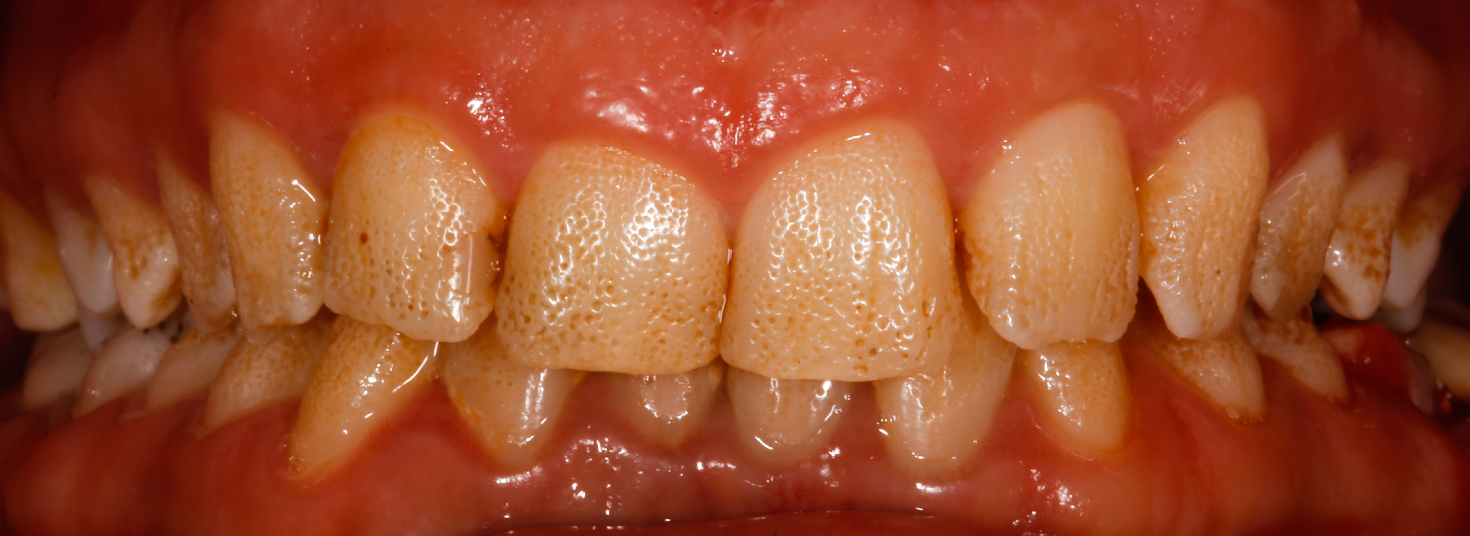
Là je cale... Je suis tombé sur ce sourire chez une patiente de 30 ans, pas de problème de santé notable, et j'ai eu beau chercher pendant l'interrogatoire ou dans les bouquins une raison pour expliquer cet aspect grêlé de l'émail, j'en ai pas trouvé une seule !
Toutes les dents définitives sont concernées, émail vestibulaire comme palatin. Ca a toujours été comme ça dans les souvenirs de la patiente.

Est-ce que quelqu'un a déjà vu ça ?

Wkex2uwblacxf9zxdww7 - Eugenol
Ilup1epihi42rxkitwax - Eugenol
Soreapkyd7nfnmifqtmy - Eugenol

blaise2583

12/07/2021 à 22h18

En ce moment faut pas trop sourire il y a beaucoup d orages ... tu vas devoir jouer au carrossier

Bon sinon pas un syndrome général ou des antécédents dans la famille ?
Des fois on retrouve les mêmes defauts chez un membre de la famille . Je n ai par contre jamais eu ce cas au cabinet


Zorba le grec 1373406512 108 lfk5ey - Eugenol
zorbalegrec

12/07/2021 à 23h04

Ethnie de la patiente
J’ai déjà vu, mines de phosphates de l’atlas marocain


Mm goodteeth2 ex0rr1 - Eugenol
Jules

12/07/2021 à 23h05

Caucasienne, nord de la France.
Peut-être un peu de sang belge :)
Elle est peut-être allée en vacances au Maroc, mais pas le genre à avoir bossé à la mine.


Photo pluton1b h9n4ea - Eugenol
pluton

12/07/2021 à 23h13

Conséquences d’une hyper fluorose
Ici amha de stade grave……
J’en ai déjà vu des comme ça….souvent d’ethnie marocaine…lié à la vie là bas….


Blue eye thumb medium dx1i0w - Eugenol
bill

12/07/2021 à 23h59

Toutes les dents concernées, je verrais plutôt un truc génétique genre amélogénèse imparfaite.
Demande si c'était pareil en dentition lactéale et si d'autres membres de sa famille sont touchés.


--
https://docudent.fr
Tous les documents du cabinet dentaire
& l'aide à la cotation du Reste à Charge 0
________________________________________


E922cb58f40adb4b770d0cd0158b332f p1seg7 - Eugenol
chic22

13/07/2021 à 10h53

Amélogenèse imparfaite hypoplasique ponctuée, yu as une photo comme ça dans l'article de l'ID du 7 juillet 2021


Mm goodteeth2 ex0rr1 - Eugenol
Jules

13/07/2021 à 12h27

Elle a trouvé son jumeau dentaire :)

Merci à tous ! Et merci Chic, j'ai un peu de lecture pour réfléchir à ce qu'on va faire maintenant...

chic22 écrivait:
------
> Amélogenèse imparfaite hypoplasique ponctuée, yu as une photo comme ça dans
> l'article de l'ID du 7 juillet 2021


Gabzou

13/07/2021 à 12h40

Plutôt amélogenèse imparfaite effectivement, la fluorose donne des colorations plus marquées et des pertes plus étendues dans les stades graves; pas cet aspect pointillé qui est extrèmement régulier.


yobi

14/07/2021 à 14h33

Peut être une prise tétracycline pendant l’enfance mais cela donne plutôt un trait de petits points horizontale sauf en cas de prises très fréquentes.
Plutôt chez des patients du 1/3 monde . Chez nous les médecins ne prescrivent plus cela chez les enfants depuis longtemps mais c’est encore beaucoup prescrit dans le 1/3 monde car c’est ATB très bon marché .


--
YOBI


RépondreCiter
Nouveau image bitmap fz77zh - Eugenol
Sethef

14/07/2021 à 15h49

Les tétracyclines n'ont aucune conséquence dentaire en cas de prise au cours de l'enfance.
En cas de prise chez la femme enceinte, elles peuvent avoir pour conséquence des dyschromies n'ayant rien à voir avec l'image présentée.


yobi

15/07/2021 à 08h53

Une lecture attentive de la littérature te montrera le contraire

« chez l'enfant de moins de 8 ans en raison du risque de coloration permanente des dents de l'enfant et de développement incomplet de l’émaiI dentaire ;»

https://base-donnees-publique.medicaments.gouv.fr/affichageDoc.php?specid=67351818&typedoc=N

--
YOBI


Ylfwcw979cz1jnx9gfqeaxndiuzk - Eugenol
Algi

15/07/2021 à 10h52

Oui mais les défauts liés aux tetracyclines sont situés sur des dents en cours de construction au moment de la prise.

Seules ces dents sont concernées sauf à en avoir pris en continu.

Cas classique atteinte concomitante sur les 6 et les centrales qui se développent quasi en même temps.


--

On a toujours le choix mais entre quoi et quoi?
Vas-y boulégue et l'avenir te le dira!


E922cb58f40adb4b770d0cd0158b332f p1seg7 - Eugenol
chic22

15/07/2021 à 10h58

Les tétracyclines ne donnent pas cet aspect


Ylfwcw979cz1jnx9gfqeaxndiuzk - Eugenol
Algi

15/07/2021 à 11h08

Lucy in the Sky with Diamonds?


--

On a toujours le choix mais entre quoi et quoi?
Vas-y boulégue et l'avenir te le dira!


Mm goodteeth2 ex0rr1 - Eugenol
Jules

15/07/2021 à 11h21

Les tétracyclines n'affectent que l'émail en cours de formation au moment de la prise effectivement. D'où cet aspect en bande.
Là, comme l'ensemble de l'émail des deux arcades est concerné, il fallait un facteur qui ait persisté pendant l'élaboration de l'émail de toutes les dents, soit un beau paquet d'années.

C'est bien la génétique, et l'amélogénèse imparfaite ici (prévalence 1/14 000, pas de chance), dans sa variante hypoplasique ponctuée (pas la plus discrète)

Ci joint la photo de l'article de l'information dentaire dont parlait Chic22, issu de l'article des Drs Xavier BONDIL et Gabriel DOMINICI. (Les modos, si joindre la photo pose souci, je la supprime...)

Amélogénèse imparfaite dzbamr - Eugenol

Nouveau image bitmap fz77zh - Eugenol
Sethef

15/07/2021 à 11h21

Les recommandations mentionnent effectivement un risque avant 8 ans, probablement du fait de la formation des 7 et des 8.
Je suis surpris, car cela ne correspond pas à ce qu j'ai appris, et que toutes les colorations aux cyclines que j'ai pu observer concernaient toutes les dents de l'arcade.
Je chercherais à nouveau, mais en attendant il semblerait que j'ai dit une connerie, sur un ton péremptoire qui plus est.


Blue eye thumb medium dx1i0w - Eugenol
bill

15/07/2021 à 15h40

Bon, personne ne lit les posts en entier, on le savait... :-))
Dit plus haut, toutes les dents concernées -> maladie génétique
Ce qui serait intéressant c'est de savoir si c'était idem sur les lactéales et si d'autres membres de la famille sont concernés ?


--
https://docudent.fr
Tous les documents du cabinet dentaire
& l'aide à la cotation du Reste à Charge 0
________________________________________


Nouveau image bitmap fz77zh - Eugenol
Sethef

15/07/2021 à 15h43

Ben si, la bonne réponse a été donnée plus haut.

https://www.orpha.net/consor/cgi-bin/OC_Exp.php?Lng=FR&Expert=88661

Un cas parfait pour 28 céramiques.


Blue eye thumb medium dx1i0w - Eugenol
bill

15/07/2021 à 15h55

:-)
Oui, j'ai tout lu, c'est ce que je disais dans mon post du 12/07, probable amélogénèse imparfaite...
Ce que j'aimerais c'est que Jules, s'il a la réponse, dise si les lactéales étaient touchées de la même façon et si frères et sœurs ou parents ont la même chose ?
Bon, je radote...

--
https://docudent.fr
Tous les documents du cabinet dentaire
& l'aide à la cotation du Reste à Charge 0
________________________________________


Vw campersurfvan bmnk1q - Eugenol
enlaye

15/07/2021 à 16h37

Comment tu dis dejà , Bill ?
Ah oui , laissez , ça m a fait plaisir :-))


Mm goodteeth2 ex0rr1 - Eugenol
Jules

16/07/2021 à 09h40

Promis Bill, je lui en parle au prochain RDV ! (en Octobre...)


Blue eye thumb medium dx1i0w - Eugenol
bill

16/07/2021 à 23h24

Super.
J'avais eu le même cas il y a qq années et j'avais pensé aussi à une fluorose, le patient étant Marocain.
Un jour je suis tombé sur la même photo que ton cas, image plutôt atypique, et j'ai rectifié mon erreur.
Juste par curiosité intellectuelle, si tu y repenses, donne nous la réponse en octobre.


--
https://docudent.fr
Tous les documents du cabinet dentaire
& l'aide à la cotation du Reste à Charge 0
________________________________________


Thierry2014 2 ztmlrt - Eugenol
ThierryMeyer

25/07/2021 à 22h39

pluton écrivait:
------
> Conséquences d’une hyper fluorose
> Ici amha de stade grave……
> J’en ai déjà vu des comme ça….souvent d’ethnie marocaine…lié à la vie là bas…

Pluton a posé le bon diagnostic.
Nous rencontrons très fréquemment ces anomalies de l email dans le sud du Maroc à cause de la présence des mines de phosphates.


Blue eye thumb medium dx1i0w - Eugenol
bill

25/07/2021 à 23h16

ThierryMeyer écrivait:
------------
Tu devrais lire tout le post... ;-)

--
https://docudent.fr
Tous les documents du cabinet dentaire
& l'aide à la cotation du Reste à Charge 0
________________________________________


12