Cookie Consent byPrivacyPolicies.comCause nécrose d'une 37 ? - Eugenol

Cause nécrose d'une 37 ?

cateeth

23/07/2021 à 19h06

Bonjour !
J'aimerais votre avis pour ce cas. Je suis sûre à 99% qu'il faille dévitaliser la 37 suite à pour moi un abcès apical aigu mais je ne trouve pas de réelle cause et j'aimerais savoir si vous aviez une idée.

Femme de 56 ans
Atcts ; Chimio (plus de souvenir de la molécule) en 2018 + radiothérapie pour cancer endomètre.
Arthrose cervicale sans ttt
Je ne pense pas que la chimio puisse causer une nécrose...

6 mois qu'elle ne mangeait plus secteur 3 sans réelle raison, ne machaît que secteur 4 inconsciemment.

09/06 : 37 a eu petite gene dernierement a la mastication très léger par moment. Tartre ++ en occlusal de 27 je pense à une sur sollicitation. Elargissement desmodontal sur la radio mais froid positif donc surement traumatique par surocclusion? Si perdure peut etre fracture? A ré évaluer.
Dort sur le côté du secteur 2 / 3 hypothèse salive minéralisée ++?

07/07 37 : douleur type abcès apical aigu il y a 2 semaines calmées par les ATB. // Scan pour recherche origine fracture, RAS. Test au froid clairement négatif cette fois (on en a reparlé il lui semble vraiment qu'elle sentait le froid la fois d'avant... ) Mobilité 2 de la dent. Plus de tartre antagoniste. La patiente rapporte beaucoup bruxer, on fait donc une gouttière.
Je l'envoie chez un endo pour un autre avis avant très probablement de dévitaliser la dent étant donné l'anat spé des canaux et la suspicion d'une cause un peu anormale, débutante je préfère sécuriser.

23/07
Pose gouttière de libération occlusale pour douleur articulaires en diminuant les contacts sur la gouttière au niveau de 37 au passage pour essayer de la soulager... A rdv chez l'endo début septembre mais a re eu spt abcès apical aigu il y a 3j, calmée par de nouveau les atb. Ce jour, palpation apicale LINGUALE, Ras palpation cervicale. Mobilité 2 de la dent. Contacts occlusaux RAS pas de surocclusion. Percussion positive et RAS relâchement coton (donc semble pas fracture). Je lui ai proposé d'essayer d'ouvrir la dent au moins pour la soulager avant le rdv avec l'endo mais ne veut pas y toucher tant que l'on ne trouve pas la cause, n'arrive pas à croire qu'elle soit nécrosée "sans carie" ce que je peux comprendre... Même diminuer l'occlusion dessus elle ne préférait pas... Du coup ordo d'ATB si ça reflambe.

Mais ça m'intrigue quand même... Avez vous une cause à me donner ? un cas similaire peut être? merci d'avance.

Wwpkdab1y3bcj4od8hm0 - Eugenol
Rghl3n7wydvllaz4ssr5 - Eugenol
C8aer1uwih77nw0wc9rt - Eugenol

blaise2583

23/07/2021 à 21h42

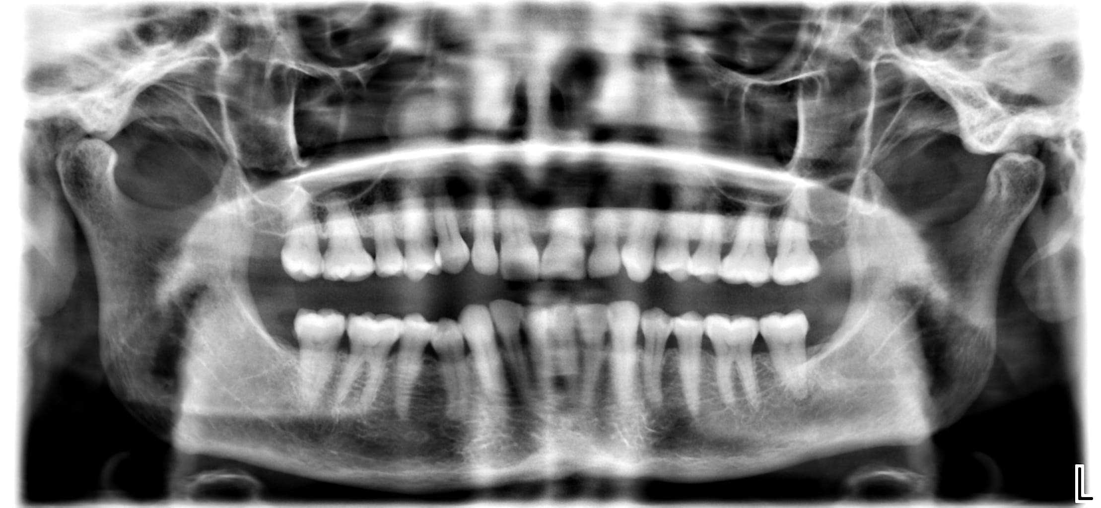
Elle est necrosee ca se voit sur la pano à l apex
pourquoi un spe endo pour faire cette endo?


cateeth

23/07/2021 à 21h51

Oui je me doute qu'elle soit nécrosée mais je cherchais pourquoi.
Et pour le spé c'est marqué dans ma publication aussi :)


South park   craig te7bfk - Eugenol
Craig

23/07/2021 à 22h18

"ne veut pas y toucher tant que l'on ne trouve pas la cause, n'arrive pas à croire qu'elle soit nécrosée "sans carie" ce que je peux comprendre"

Ça déjà cela m'interpelle....Et que tu comprennes cela m'interpelle encore plus.
Les causes possibles sont multiples et la médecine n'est pas une science exacte.
Un patient va t il refuser un traitement pour un cancer des poumons s'il ne fume pas?
Tant que tu restes en stand by sur cette situation tu la confortes dans l'idée que tu n'as pas la compétence pour la soigner.
Donc explique lui la nécessité d'intervenir car tu ne vas pas lui prescrire des AB non stop pendant plusieurs semaines non?
Bon courage et tiens nous au courant.


blaise2583

23/07/2021 à 22h20

Il n y a pas 500 possibilités il n y a pas de carie pas de fracture car pas d image en doigt de gant et de signe clinique de fracture ... il reste a mon humble avis que des surcharges de forces peut etre légères et répétées antérieures car pas de surocc a priori
des fois malheureusement on explique pas tout j en ai fait l expérience


Thierry2014 2 ztmlrt - Eugenol
ThierryMeyer

23/07/2021 à 22h37

Bonsoir. L étiologie de ce type de pathologie est presque toujours traumatique. Un accident lors de la mastication, parfois il y a plusieurs années. S il existe une fêlure, elle est rarement visible même avec des aides optiques. Ta proposition d ouvrir la dent était bonne en traitement d urgence sauf que...... En ouvrant tu risques de la fragiliser si tu ne fais pas l endodontie rapidement, et si ta patiente par malchance se fracture cette dent pendant la période d attente, elle risque de te le reprocher. D autant plus que tu ne lui auras pas expliqué qu'une dent ne se nécrose pas toujours seulement à la suite d une carie profonde. Nous avons tous dans notre collection des patients avec des necroses qui se développent plusieurs années après de graves traumas de la face ( sport, accident de la voie publique, accident de la route, etc).


Gabzou

23/07/2021 à 22h57

Probable trauma, violent ou modéré mais chronique, ayant entrainé fêlure puis nécrose.
Je confirme l'avis de Thierry, les fêlures ne se voient souvent pas, pas plus à la radio 3D d'ailleurs.
Si test au froid négatif, l'image à la radio ne fait aucun doute: c'est nécrosé, faut dévitaliser.

Pour la petite histoire, j'avais eu pire avec une dent en parfait état qui répondait encore très légèrement au froid, et aucune image radio, pas même en 3D. Douleurs permanentes de la patiente, depuis plusieurs mois.
Après plusieurs tests, je finis par lui proposer d'ouvrir de toute façon. A l'ouverture, pulpe encore légèrement vivante mais en voie de nécrose, et une fissure du plancher qui s'étendait sur toute la longueur mésio-distale, large de bien 0.5mm. Ca a fini en avulsion.
J'ai encore du mal à admettre qu'il n'y ait eu aucun signe visible ni en bouche ni à la radio, mais c'est comme çà.


Aiguille cyboyt - Eugenol
fatboy

24/07/2021 à 06h31

« un cas similaire peut être? merci d'avance.»

Une casse boules, oui j’en ai quelques unes de similaires !
« Madame, la pulpe est nécrosée, une infection se développe. Je ne connais pas la cause, ça peut être une surcharge, un choc , une électrocution ou la vengeance du serpent à plumes, je ne sais pas. Ce que je sais c’est qu’il faut dévitaliser cette dent sans attendre, sinon cette infection va se développer. Dévitaliser cette dent n’est pas une garantie de succès, elle restera fragile, et cette infection pourrait rester ou revenir, mais ne rien faire, c’est forcément pire. Voili-voilou » devis , rdv ou porte....


Images oecc9d ijdijh - Eugenol
Akrobat

24/07/2021 à 07h13

Il y probablement une félure. Part du fond du sillon jusqu'à la pulpe. Tu la verras quand tu aura retiré l' email. Et si c'est pas le cas, ça change rien au plan de ttt.
Mais tu as peut être trop impliqué la patiente dans le plan de traitement. Elle n'a pas a comprendre que sa dent se nécrose sans carie.

Tu dis en étant sur de toi: " on va faire comme une dévitalisation parce que le nerf est mort et est en train de pourrir ( c'est le terme simple et compréhensible que j' emploi) à l' intérieur de votre dent. La petite zone à la radio juste ici, c'est un abcès qui se développe.
J'ai jamais eu de refus après avoir dit le nerf pourri dans votre dent.
Et tu ajoutes: et il faut couronner la dent rapidement parce qu' une felure peut devenir une fracture du jour au lendemain; comme un par brise dans la pub carglass.
Apres ouverture de chambre, tu reduits toutes les faces de 2 bons mm pour reduire les risques.


cateeth

24/07/2021 à 07h29

Merci à tous pour vos réponses, j'avais vraiment en tête que si fêlure il y aurait une douleur au relâchement ou visible au scan mais c'est plutôt pour les vraies fractures du coup.
Pour l'endo il faut que je revois si je me lance, n'ayant pas de place pour le moment avant mi-septembre juste l'ouvrir pour drainer c'est peut être tendu si c'est pour casser une lime ou quoi (dans mes souvenirs ça ne se voit pas au scan mais la forme des canaux était un peu bizarre c'est pour ça que mon collègue m'avait conseillé d'adresser) et en effet ça risque de fragiliser mais si je met en sous occ et comme elle ne mange pas de ce côté..
Pour vous j'essaierais quand même d'ouvrir pour essayer de calmer les douleurs au moins ? Après si j'arrive à avoir un créneau qui se libere je pourrai peut être finir l'endo ! Pour le moment je prend des gros créneaux étant sur mon premier rempla!


Thierry2014 2 ztmlrt - Eugenol
ThierryMeyer

24/07/2021 à 07h51

Je te conseille tout d abord de passer du temps à bien informer ta patiente et à l'avertir que le pronostic d une dent fêlee est mauvais sur le moyen et parfois le court terme, ce préalable requis il faut traiter ton problème. Sous AB, ouverture, traitement endo, et collage interne si c'est une fêlure avec fermeture occlusale.
La mise en sous occlusion n est pas une garantie que la dent ne se fracture pas, de plus si ta dent est intacte c estdommage. Par contre élimine bien tous les contacts en diduction.


Orezza gazeuse verre litre ocoxey - Eugenol
casa

24/07/2021 à 08h08

A t elle eu un ttt ortho ? Si oui,, ben c'est l'histoire de la courbe de spee non rétablie et surcharge de force sur les, 7.. J'ai déjà eu ça, plusieurs fois.. Femme de + de 50 ans, stressée, pas épaisse... Demande à Enlaye pour l'histoire de la courbe de spee, il va t'esspliquer avec l'image du sécateur...


6szjws718sv1jksw54v4mpj3a6cu - Eugenol
vulpi

24/07/2021 à 08h46

J'ai constaté qu'avec cette morphologie de racine pour les 7 mandibulaires on avait un risque accru de fêlures fractures.
Problème de répartition des forces, s'il faut deux racines ce n'est pas par hasard, la nature est économe.


Vw campersurfvan bmnk1q - Eugenol
enlaye

24/07/2021 à 09h10

:-))) à tout les coups elle n a rien cette dent :-) au pire une luxation avec abces paro .
C est 100% occlusal .
Ce qui n empeche qu il lui faudrait une endo :-)


Nouveau image bitmap fz77zh - Eugenol
Sethef

24/07/2021 à 09h17

L'occluso peut être la cause, n'empêche qu'elle est nécrosée;
Dans ce genre de cas, toujours faire l'ouverture sans anesthésie:

--->ça confirme le diag
---->le patient ne repart pas avec la sensation qu'on lui a fait une endo "pour rien"


cateeth

24/07/2021 à 18h33

Super intéressant tout ça merci a tous !


cateeth

24/07/2021 à 18h33

Super intéressant tout ça merci a tous !


PtnbZ

25/07/2021 à 11h58

Sethef écrivait:
------
> L'occluso peut être la cause, n'empêche qu'elle est nécrosée;
> Dans ce genre de cas, toujours faire l'ouverture sans anesthésie:
>
> --->ça confirme le diag
> ---->le patient ne repart pas avec la sensation qu'on lui a fait une endo "pour
> rien"

Je te dirais le contraire... Toujours faire une endo avec anesthésie.
Pas de douleurs = sérénité.
Sachant que le diagnostic, tu l'as... Vérifie juste après la CA si tu vois une fêlure ou non. Si tu vois, le pronostic est réservé.


jicé

25/07/2021 à 20h45

Pour moi c'est clairement un trauma occlusal! Regardes un peu si les milieux sont alignés ou les freins. Regardes bien le trajet d'ouverture et fermeture mandibulaire. Premièrement correction de l'occlusion, ensuite endo et le pronostic sera bon. Un petit coup d'oeil au microscope quand même pour localiser une fissure éventuelle.


jicé

25/07/2021 à 20h55

en voici un autre exemple

14548 x 20210608 162740 xo75abvledtc 3 kizwgi - Eugenol

Thierry2014 2 ztmlrt - Eugenol
ThierryMeyer

25/07/2021 à 22h15

jicé écrivait:
----
> en voici un autre exemple
Très bel exemple. Ta radiographie ressemble beaucoup à celle du dernier loup que j ai traité sauf que la longueur de sa canine était de 25cm. Le rapport avec notre sujet? Les loups en captivité s ennuient et ils jouent avec des cailloux, se faisant nous avons des nécroses à cause de c es traumatismes répétés.


Thierry2014 2 ztmlrt - Eugenol
ThierryMeyer

25/07/2021 à 22h21

PtnbZ écrivait:
-----
> Sethef écrivait:
> ------
> > L'occluso peut être la cause, n'empêche qu'elle est nécrosée;
Je te dirais le contraire... Toujours faire une endo avec anesthésie.
> Pas de douleurs = sérénité.

Comme Sethef, je te recommanderais surtout de faire une anesthésie.
Combien de fois nous avons fait l ouverture d une chambre pulpaire et constaté la nécrose complète dans certaines racines et pas dans toutes les racines de la même dent. Le tissus nerveux est le dernier à mourir.


Gabzou

26/07/2021 à 22h19

En général, sur les dents nécrosées quand il y a un petit doute, moi je suis de l'avis de Sethef (c'est dingue, j'ai l'impression de dire çà à chaque message ^^):
Ouverture sans anesthésie ce qui confirme le diagnostic car pas de douleur, avec possibilité d'anesthésie si besoin si début de douleur dans les canaux; et réévaluation du diagnostic si douleur au fraisage.
Mais dans ce cas spécifique, vu la lésion apicale tu n'as aucun doute sur la nécessité de la dévitalisation, et il s'agit d'une molaire mandibulaire sur laquelle l'anesthésie risque d'être plus longue/difficile à prendre, je conseillerai donc d'anesthésier directement.

Concernant le test du mordu sans douleur, avec la douleur au relâchement, je crois que je ne l'ai jamais vu de manière nette! Et des fêlures et fractures pourtant j'en croise toutes les semaines. Pour moi c'est vraiment une légende ce truc. J'ai vu quelques douleurs au relâchement, mais le mordu était au moins déjà un peu douloureux et surtout la fracture déjà visible à l'oeil, donc aucun intérêt à tester.
La radio c'est le pifomètre, si t'as du bol c'est bien visible (en général après les traumas avec léger déplacement); parfois une perte osseuse qui peut faire soupçonner, mais souvent rien du tout. Question d'axe de la radio et de la fêlure qui doivent concorder, ce qui est rarement le cas.

Le sondage avec la perte d'attache localisée çà dépends de la localisation de la fêlure, mais je l'ai retrouvé de temps en temps, pas systématiquement cela dit. Je soupçonne que la destruction du ligament ne s'opère que sur les lésions déjà un peu anciennes.


Nouveau image bitmap fz77zh - Eugenol
Sethef

27/07/2021 à 07h55

Gabzou écrivait:
------

> Ouverture sans anesthésie ce qui confirme le diagnostic

Ou de l'infirmer; il est parfois bien dur de faire la différence entre une dent calcifiée et une dent nécrosée, et en présence de plusieurs causes possibles, ben faut vérifier.

> En général, sur les dents nécrosées quand il y a un petit doute, moi je suis de
> l'avis de Sethef (c'est dingue, j'ai l'impression de dire çà à chaque message
> ^^):

My pleasure ;-)


Ylfwcw979cz1jnx9gfqeaxndiuzk - Eugenol
Algi

27/07/2021 à 09h53

En tous cas merci pour ce post qui est, me semble t il, un vrai post eugenolien où on apprend des choses et on partage.

Et puis on y a encore pas parlé de vaccin...

Et au fait.... elle a pas été vaccinée récemment la patiente ?
Possible explication à cette mystérieuse nécrose ?

Nan j'deconne. ;0)


--

On a toujours le choix mais entre quoi et quoi?
Vas-y boulégue et l'avenir te le dira!


12