Cookie Consent byPrivacyPolicies.comImage OPT nerf mandibulaire double ? - Eugenol

Image OPT nerf mandibulaire double ?

Fear and loathing in las vegas toax7t - Eugenol
Donchico

27/08/2021 à 19h20

Bonjour,
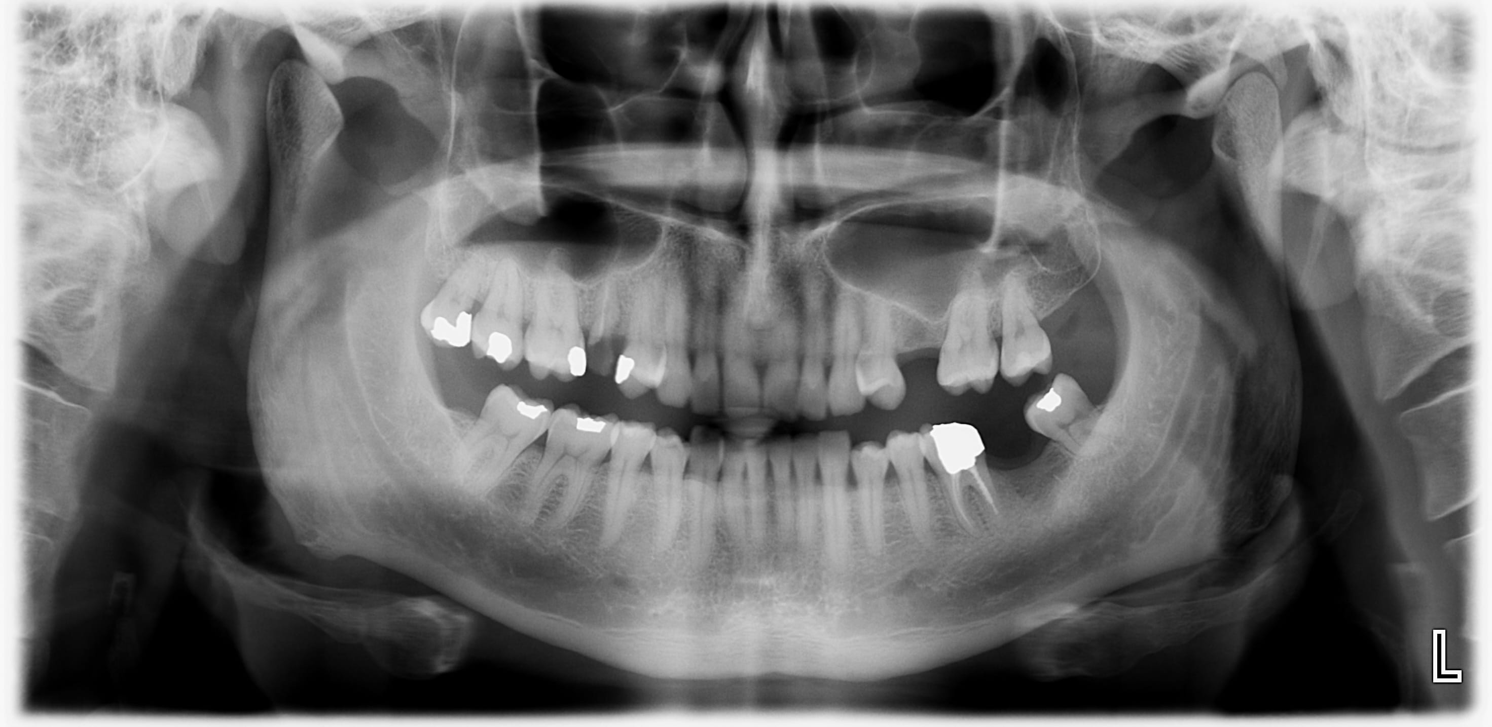
j'ai reçu un patient avec un antécédent de fissure de la mandibule suite à un choc il y a 25 ans (branche dans un bois)
Je trouve l'image du nerf dentaire dans la branche montante bizarre. C'est comme si le nerf mandibulaire se dédoublait.
Avez-vous déjà vu ce genre d'image radiologique?

Hc6tn7nwfb35vabhqzbe - Eugenol