Cookie Consent byPrivacyPolicies.comIdentification d'implant - Eugenol

Identification d'implant

Mesdiscussions 14274 y9skw0 - Eugenol
ericthedoc

08/09/2021 à 10h54

Bonjour.
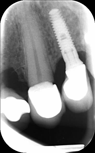
Avant de toucher à quoi que ce soit je cherche la référence de cet implant.
Posé fin 2019, praticien qui a profité du covid pour prendre sa retraite sur Paris.
Et évidement le patient a perdu les documents d'identification.

Merci par avance

Ssutbuvspqcb6w9jewae - Eugenol
Trlhefrkilcjrfqvmrr7 - Eugenol

Photo pluton1b h9n4ea - Eugenol
pluton

08/09/2021 à 12h12

TSV Zimmer
sûr 100%


Mesdiscussions 14274 y9skw0 - Eugenol
ericthedoc

08/09/2021 à 12h19

pluton écrivait:
------
> TSV Zimmer
> sûr 100%

Merci Pluton.
Au Top comme d'habitude