Cookie Consent byPrivacyPolicies.comMarque implant - Eugenol

Marque implant

rosier

09/09/2021 à 12h24

Bonjour a tous
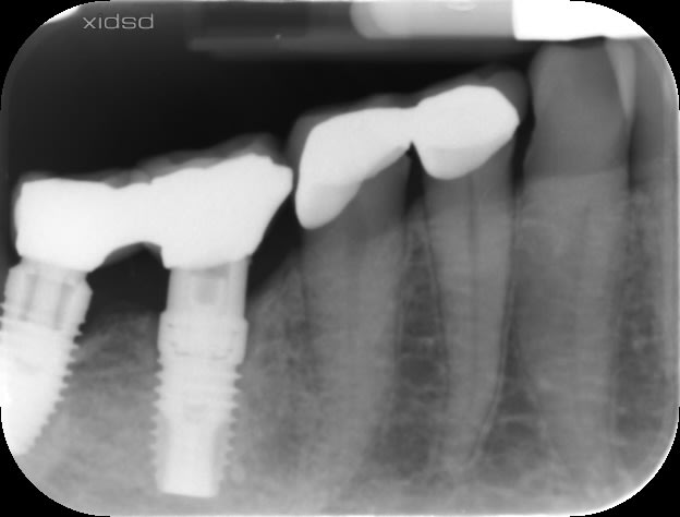
je cherche désespérément la marque de l'implant en 46.
Ce n'est pas un 3I, ni Eurotecchnika, ni Nobel, ni Victory.
Je dois changer cette vis qui ne remplit plus son role.

merci de vos réponses

Xhth3jjaxkyekni7xmio - Eugenol
Riwxji78svhnj4fjtfiu - Eugenol
Tfzqk5hym9p6mh5u2fiy - Eugenol

Photo pluton1b h9n4ea - Eugenol
pluton

09/09/2021 à 15h14

si tu as retiré la vis....tu peux nous faire une photo de la connexion???
parce que là j'ai encore environ 200 références d'implants qui peuvent correspondre....


Rosier

09/09/2021 à 15h17

Je ne peux pas déposer , les 2 couronnes ou ce qu'il en reste sont solidarisées, cela verrouille le tout,
les 2 vis de piliers enlevées rien ne bouge et pour l'instant je ne souhaite pas couper


Photo pluton1b h9n4ea - Eugenol
pluton

09/09/2021 à 16h58

....je ne sais pas comment faire plus sans avoir plus d'informations....
à un moment il faudra bien démonter pour savoir ce que c'est s'il n'y a pas d'autre moyen pour tenter d'identifier cet implant....


Rosier

07/10/2021 à 17h45

Voilà quelques précisions:
en 46 implant violet avec pilier en trèfle a 6 feuilles
en 47, autre modèle, implant titane couleur acier, avec un pilier qui vient s'appuyer sur l'implant, mais intérieur de l'implant ressemble a un grand cône morse avec des pans. Je pense qu'un pilier provisoire a été utilisé

Merci pour vos bonnes idées.

1f hbakac - Eugenol
Img 1781 nsfxxv - Eugenol
Img 1782 f69c08 - Eugenol
Img 1783 apsqhj - Eugenol
Img 1784 gc6fwd - Eugenol
Img 1785 vupgsa - Eugenol
O yyig4c - Eugenol
Panneau de configuration m2mqca - Eugenol
Poi amaxdf - Eugenol

Photo pluton1b h9n4ea - Eugenol
pluton

07/10/2021 à 18h11

Celui en 46 est donc un Keystone prima connex mais en straight (droit)

https://keystonedental.com/pages/prima-implants

la plateforme violette, c'est en général pour la plateforme 4.5mm

celui sur 47 vu la périimplantite => bassinet.... peu importe la marque, mais il a une bonne gueule de Nobel replace CC.....


Rosier

08/10/2021 à 08h11

merci beaucoup pour tes infos,
l'implant en 47 est stable et comme cela depuis des années
donc si vous avez de bonnes idées......


Rosier

08/10/2021 à 08h15

Qui vend du KEYSTONE en France


Photo pluton1b h9n4ea - Eugenol
pluton

08/10/2021 à 09h36

http://www.annuaire-dm.com/produits-marques/2307

google est ton ami....


Rosier

08/10/2021 à 09h37

Le deuxieme ne serait il pas un alpha bio?


Rosier

08/10/2021 à 09h46

L'info de Google n'est pas bonne
par contre KEYSTONE est distribué par
ARMATYS
6t Rue des Monceaux
44470 CARQUEFOU
Tél. : 06 60 33 50 20
[email protected]


Photo pluton1b h9n4ea - Eugenol
pluton

08/10/2021 à 10h00

Rosier écrivait:
------
> Le deuxieme ne serait il pas un alpha bio?

non c'est une connectique conique type Nobel CC et la forme de l'implant matche avec un replace CC