Cookie Consent byPrivacyPolicies.comEdentement total ou pas ? - Eugenol

Edentement total ou pas ?

mla3

13/09/2021 à 21h10

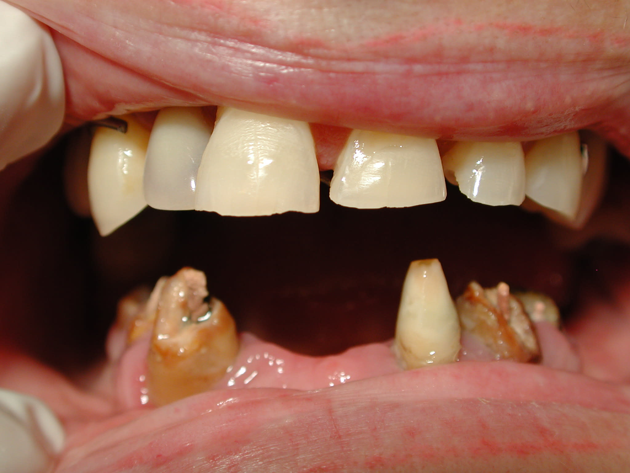
emballements conservateurs déraisonnables : sous les provisoires pas étanches, de la dentine cariée en pericanalaire donc un "plateau" de maigre valeur, des possibiltés résiduelles de sertissage compromises (niveau osseux)etc.... une structure "dentelle" au mieux. pas durablement exploitable.


Vw campersurfvan bmnk1q - Eugenol
enlaye

13/09/2021 à 21h51

:-)) maigre valeur ? , sertissage compromis ? pas durable ? :-) bichette , âme sensible que tu es :-)
et alors là tu fais quoi ? t y mets un litre d essence et tu craques une allumette ?? :-))

Gay f2   copie rvtg85 - Eugenol
Gay f3 bjf87w - Eugenol

Vw campersurfvan bmnk1q - Eugenol
enlaye

13/09/2021 à 21h54

cas de 2001 et on est en 2021 , rien a bougé ni le haut ni le bas :-)
l ai dejà montré ce cas


Vw campersurfvan bmnk1q - Eugenol
enlaye

13/09/2021 à 22h00

bon , j dis pas, il a fallu lui faire un bon détartrage , et un peu de bzimm bzimm par ci par là , mais tranquille , faut pas stresser . :-)


Orezza gazeuse verre litre ocoxey - Eugenol
casa

13/09/2021 à 22h30

Alors là mon petit Enlaye , si je peux me permettre , entre une gamine de 25 ans avec des dents en sucre et ton cas : homme 40 ans minimum : alcool tabac , stress ? c'est pas du tout le même terrain ... ton gars il a déjà eu des couronnes me semble t'il ... bref , au feeling , ça n'a rien à voir . Désolée votre honneur . Suis entièrement d'accord avec mla3 !


Vw campersurfvan bmnk1q - Eugenol
enlaye

13/09/2021 à 22h38

ah ??? ce n est pas assez carié ? d accord , je m incline .


Vw campersurfvan bmnk1q - Eugenol
enlaye

13/09/2021 à 22h43

donc à 25 ans on lui fait un complet , mais à 40 non .
et alors , à elle non plus , on ne lui fait pas un complet , ça tombe bien j y ai fait un bridge complet haut et bas .
donc le complet c est pour les jeunes :-))

P5126236 lon8wy - Eugenol

Wadi

13/09/2021 à 22h53

Je n'ai pas encore une grande expérience clinique ...

Mais je pense que c'est, quand même, peut-être pas un cadeau qu'on lui fait de lui mettre un complet bimax à 25 ans. Certes, cela résout le problème immédiat. Mais, quand elle atteindra 60 ans (de nos jours, même avec une hygiène de vie dégueulasse, on peut espérer les atteindre), on fera comment ?


Hok 1b hgd3rj - Eugenol
Hokusai

13/09/2021 à 22h59

Wadi écrivait:
----
> Mais je pense que c'est, quand même, peut-être pas un cadeau qu'on lui fait de
> lui mettre un complet bimax à 25 ans.

Oui vaut mieux attendre ses 27 ans...


Wadi

13/09/2021 à 23h05

Hokusai écrivait:
-------
> Wadi écrivait:
> ----
> > Mais je pense que c'est, quand même, peut-être pas un cadeau qu'on lui fait de
> > lui mettre un complet bimax à 25 ans.
>
> Oui vaut mieux attendre ses 27 ans...

Vu :
- l'évolution 2017-2021,
- la paro qui ne semble pas si catastrophique que ça,

Cela ne semble pas impossible de retarder l'échéance (je ne conteste pas qu'elle soit inéluctable) jusqu'à 35 ans. 10 ans de gagné, ça ne m’apparaît pas anecdotique.


Vw campersurfvan bmnk1q - Eugenol
enlaye

13/09/2021 à 23h06

Wadi écrivait:
----
" Mais, quand elle atteindra 60 ans (de nos jours, même avec une hygiène de vie dégueulasse, on peut espérer les atteindre), on fera comment ? "

il ta deja repondu en anticipation le Vulpi :
" C'est fait "un peu tôt", il y a plein d'os, il en restera plein longtemps, à la limite un partiel provisoire que l'on fera trainer sera beaucoup plus délétère."
en gros c est ou de la fixe ou du complet , entre les 2 cad fixe + mobile ça ne prépare pas l avenir .


Hok 1b hgd3rj - Eugenol
Hokusai

14/09/2021 à 07h30

enlaye écrivait:
------
> donc à 25 ans on lui fait un complet , mais à 40 non .

La seconde molaire ça fait 3x plus longtemps... C est pas rien.

Le comble c est qu on a essayé de la soigner... Et que la prothèse a été réalisée et même pas posée...

Et vous pensez pouvoir faire de la fixe de qualité ??
C est comme Sarkozy "j ai changé".

Remarque avec le rac0 et une cam... Le bas c est 3 grands rdv...

Faudrait faire un IA qui analyse les pano et qui vous sort le plan de ttt rac0 le plus rentable... "Raczeromator®"

Désolé... Vous avez un note de 48/100 au test du raczeromator... Vous êtes 872eme sur liste d attente... Une liste qui s allonge au fur et à mesure qu un patient plus rentable arrive en première consultation...


Vw campersurfvan bmnk1q - Eugenol
enlaye

14/09/2021 à 08h03

" arrachez moi tout Dr " c était très courant comme phrase avant .
avant quoi , d après vous ? :-)
un indice : il y a eu 2 évolutions majeures dans la dentisterie Française .


Gabzou

14/09/2021 à 08h59

furwas écrivait:
------
> Gabelou écrivait :
> Furwas préfère un amovible partiel bancal à un complet !
> Oui ,car se retrouver à 25 ans avec un complet,c’est
> vraiment pas bon pour le moral.s’habituer à un partiel même bancal,facilitera
> l’intégration de la future prothèse totale .
> En fait ,j’irai plus loin ,l’erreur qui consiste à indiquer la prothèse totale
> en première intention vient du fait qu’on se sent toujours obligé d’aller
> droit au but avec un plan de traitement.
> C’est comme un devis trop vite fait, donc erroné
> mais qu’il faudra respecter…
>

Là ou tu touche juste, c'est qu'effectivement il faut voir avec le patient. Sur une patient un peu réticent, je suis tout à fait d'accord, la solution avec un partiel se défends tout à fait.
Après dans ce cas, çà dépends de la demande de la patiente en particulier.
Je précise enfin car j'ai peut être été trop catégorique, que je présente généralement toutes les options thérapeutiques, y compris les non réalisables, et que j'explique au patient les avantages et inconvénients de chaque, si elles sont réalisables, et si j'accepterai de les faire ou pas (je pense au bridge sur dents saines en particulier, je dis au patient que c'est possible mais que je refuse de le faire).
Dans le cas présent, j'expliquerai que le partiel est possible, mais que je le déconseille et que le complet me semble plus approprié. Si le patient ne veut absolument pas qu'on touche aux dents conservables, je peux effectivement envisager de faire du partiel.


Et7jtaj0pdi18gzjlxjiamlx15gs - Eugenol
Prunelles

14/09/2021 à 09h14

Petite question : Si vous aviez un patient avec un diabète très déséquilibré qui vous demande de l'amputer des 2 pieds parce que toute sa famille est diabétique et qu'ils ont tous été amputés. Est ce que vous le feriez ?


Screenshot 20190204 160354 2 ookelm - Eugenol
Arsénieux

14/09/2021 à 09h16

Avec une bonne fraise à os, c'est faisable, prévoir une journée quand même 🤕


Gabzou

14/09/2021 à 09h22

Wadi écrivait:
----
> Je n'ai pas encore une grande expérience clinique ...
>
> Mais je pense que c'est, quand même, peut-être pas un cadeau qu'on lui fait de
> lui mettre un complet bimax à 25 ans. Certes, cela résout le problème immédiat.
> Mais, quand elle atteindra 60 ans (de nos jours, même avec une hygiène de vie
> dégueulasse, on peut espérer les atteindre), on fera comment ?

Je me demande pour ceux qui considèrent que la complète si faite immédiatement posera problème plus tard, pourquoi?
C'est la perte osseuse qui inquiète?
Au maxillaire personnellement je n'ai jamais vu de cas vraiment problématiques en terme de niveau osseux même sur des patients appareillés de longue date (hors trucs exceptionnels, fentes etc compagnie). C'est pas toujours extra, mais le résultat est toujours acceptable. On a une fonte osseuse post extraction rapide, puis une stabilisation au maxillaire, j'ai l'impression que çà bouge peu (ce que semblent dire les études que j'ai trouvé aussi d'ailleurs, même si c'est un peu flou). Contrairement à la mandibule d'ailleurs.
Et la partielle me semble pire sur le long terme, car on se retrouve avec à l'inverse une perte osseuse sous les selles mais pas au niveau des dents supports, et donc lorsqu'on finira par les avulser, une crête très irrégulière plus délicate à gérer.


Gabzou

14/09/2021 à 09h23

Prunelles écrivait:
---------
> Petite question : Si vous aviez un patient avec un diabète très déséquilibré qui
> vous demande de l'amputer des 2 pieds parce que toute sa famille est diabétique
> et qu'ils ont tous été amputés. Est ce que vous le feriez ?

L'analogie n'est pas bonne, on est mieux avec pieds que sans.
Alors qu'on n'est pas mieux avec 5 dents que sans au maxillaire.


Hok 1b hgd3rj - Eugenol
Hokusai

14/09/2021 à 09h55

enlaye écrivait:
------
>il y a eu 2 évolutions majeures dans la dentisterie Française .

les hygiénistes et le no-post no-crown


Et7jtaj0pdi18gzjlxjiamlx15gs - Eugenol
Prunelles

14/09/2021 à 10h06

Hokusai écrivait:
-------
> enlaye écrivait:
> ------
> >il y a eu 2 évolutions majeures dans la dentisterie Française .
>
> les hygiénistes et le no-post no-crown

On a dit dans la dentisterie "FRANCAISE". Tu sais pas lire ?


Images 5  n6rze9 - Eugenol
zebob

14/09/2021 à 10h07

enlaye écrivait:
------
> " arrachez moi tout Dr " c était très courant comme phrase avant .
> avant quoi , d après vous ? :-)
> un indice : il y a eu 2 évolutions majeures dans la dentisterie Française .
La cnsd et MST?


TA2

14/09/2021 à 10h23

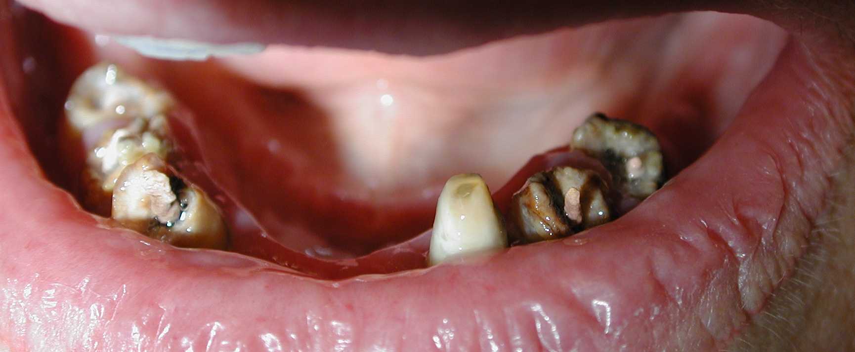
C’est quoi le budget de cette adulescente ?


Capture d écran 2018 05 16 à 21.30 - Eugenol
Daryl

14/09/2021 à 10h51

enlaye écrivait:
------
> " arrachez moi tout Dr " c était très courant comme phrase avant .
> avant quoi , d après vous ? :-)

Avant Le gros François Hollande et ses "sans dents".
Avant le concept nord américain : " Morning blowjob with teeth why not ?"


Vw campersurfvan bmnk1q - Eugenol
enlaye

14/09/2021 à 11h03

Daryl écrivait:
-----
" Avant le concept nord américain : " Morning blowjob with teeth why not ?" "
:-)))
bon je vous donne la réponse , enfin la mienne , hein , pcq comme d hab ça n engage que moi .
cette phrase a disparue avec
1/ l arret de la " demande d accord " ou la demande de l entent préalable à la secu
2 / l arrivée du remboursement de l IC qui avant etait HN



Orezza gazeuse verre litre ocoxey - Eugenol
casa

14/09/2021 à 11h24

Question : avez-vous déjà eu à faire un complet après un bridge complet parti en bloc ? ben c'est la cata , même en haut ....

tout ça pour dire que certe c'est très satisfaisant les 10 premières années , que quand ça commence à m...r , et que c'est bricolé , là on commence à galérer et lorsqu'on arrive à 75 balais , qu'on a plus de revenu , ben le complet il est coton à réaliser .... prochaine évolution le RAC0 sur les implants ?