Cookie Consent byPrivacyPolicies.comune solution à la perte de 11 avec effraction vestibulaire - Eugenol

une solution à la perte de 11 avec effraction vestibulaire

S2y2o1v7q53ws4r5wy6ou8czrpom - Eugenol
pxav

14/09/2021 à 17h18


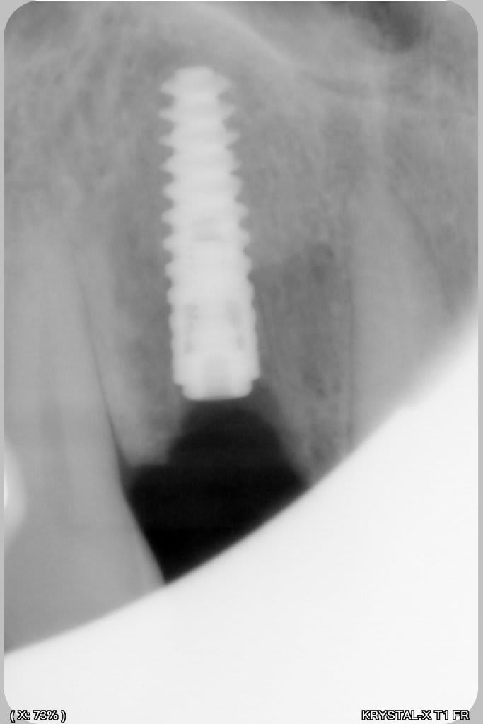
un petit cas comme j'aime, perte de 11, avec atteinte de la paroi vestibulaire.
Manipulation de la paroi palatine, afin de déplacer la moitié de l'os en vestibulaire, et pose d'un Px (Anthogyr) utilisation, de lame 11, ostéotome demi lune de Tatum, spreader (Meissinger) et divers.
la Prothèse est posée, mais je n'ai pas fait de photos, le seul intérêt c'est la chir.

--
xbk
La connaissance s'acquiert par l'expérience, tout le reste n'est que de l'information." ALBERT EINSTEIN

Eycetm89arsggcgml29a - Eugenol
H0xmjmdkbhlfj0qbntfy - Eugenol
Ic6sjh37m0ik0xjcmkej - Eugenol
Hy4kjmplzrpassentysu - Eugenol
Qgmmaln5hkzyv58i8tzm - Eugenol
Ej8gkgenmiahm8ivmgnk - Eugenol
Ns7xe5baaddcqycbpc2j - Eugenol
Rlmrjwuq4zrtbmgthevr - Eugenol
A8pia5pn7cguwmkz327p - Eugenol
Q75lpmpib78ehtudg0xo - Eugenol
Ay5b6p2enafkazb2ffwg - Eugenol
Rw8mlx6wpsijhkwnva4r - Eugenol
Ptr7k8bjepljv12rbujd - Eugenol
Pxo0w2cyctdh3mubustc - Eugenol
Ayd1dqczaladtnpqa9v4 - Eugenol
Ytl4h2ne18bd6fmdjmxt - Eugenol
Lljlophyr9mr0kry2tnw - Eugenol
Fmejzxvq3a47gejhmsp6 - Eugenol
Daivxg1k61rwnwx0e8rc - Eugenol
Pbr9ocngyeauskudfc43 - Eugenol

WMX

14/09/2021 à 17h41

J'adore, ça c'est du bricoleman ! et pas de nonos magique avec sa membrane hors de prix. Bravo.


S2y2o1v7q53ws4r5wy6ou8czrpom - Eugenol
pxav

14/09/2021 à 17h45


merci WMX, et en général ça marche super bien, et surtout ça donne l'impression de ne pas être une machine..:-))

--
xbk
La connaissance s'acquiert par l'expérience, tout le reste n'est que de l'information." ALBERT EINSTEIN


Photo pluton1b h9n4ea - Eugenol
pluton

14/09/2021 à 18h16

belle gestion/manipulation osseuse, j'adore
je ne suis pas aussi doué que toi pour ces cas....je suis souvent obligé de combler en complément en vestibulaire pour éviter d'avoir l'implant qui parte trop, justement, en vestibulaire...du coup çà fait une technique "hybride" expansion/ROG.....


S2y2o1v7q53ws4r5wy6ou8czrpom - Eugenol
pxav

14/09/2021 à 18h45

je ne crois pas que ce soit une question de plus ou moins doué, il y a des techniques que l'on aime et d'autres moins. certains se passionnent pour les guides, d'autres pour les grilles titane ou autre, et moi pour l'expansion, parce que ce que c'est mon truc.
Dans des cas comme ça, c'est vrai que j'ai l'impression de "réciter" une leçon, simple et évidente pour moi, tout en ayant conscience que pour d'autres le plus simple n'est pas le plus facile.


--
xbk
La connaissance s'acquiert par l'expérience, tout le reste n'est que de l'information." ALBERT EINSTEIN


Pierre logo clykpp - Eugenol
Denteo33

14/09/2021 à 22h36

J’adore également !

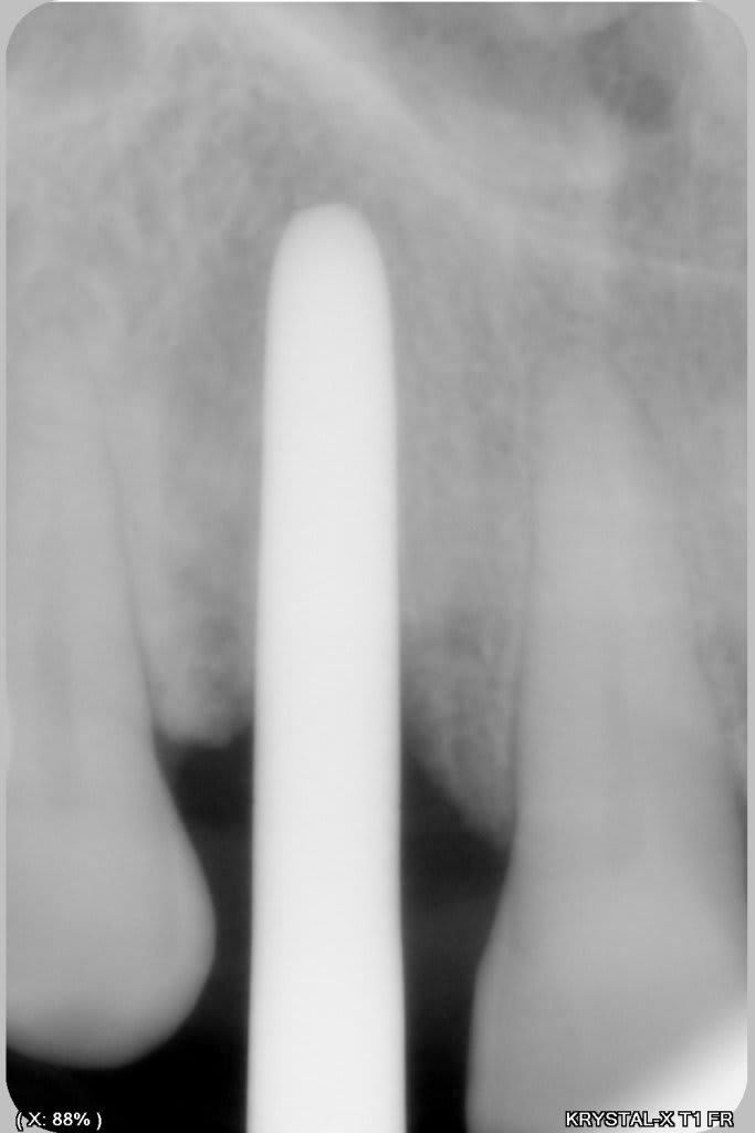
Le plus bluffant quand tu fais défiler les photos c’est que tu passes de la dernière (avec l’implant en place) à la 1ere avec la fenestration!

Quel est le diamètre et quelle est la longueur de l’implant posé?

Je crois que tu avais déjà explique que l’os expansé permettait des parois plus fines que les standards demandés (2 mm minimum)


Aiguille cyboyt - Eugenol
fatboy

15/09/2021 à 05h44

Tres beau cas! Et merci de l'iconographier et de le presenter.
Je n'ai jamais pratiqué l'expansion au bistouri, quelle est la technique?
Tu utilises la lame 11 comme un ciseau que tu tapes avec un maillet?


S2y2o1v7q53ws4r5wy6ou8czrpom - Eugenol
pxav

15/09/2021 à 07h48

Denteo33 écrivait:
--------

>
> Quel est le diamètre et quelle est la longueur de l’implant posé?

de mémoire un PX 34100 ou 34120
>
> Je crois que tu avais déjà explique que l’os expansé permettait des parois plus
> fines que les standards demandés (2 mm minimum)

effectivement, mais c'est un des avantage de l'expansion, mais dans ce cas là, il y aura largement les 2mm, l'os déplacé en vestibulaire permet de "fermer la boite " qui avait déjà 3 belles parois.


--
xbk
La connaissance s'acquiert par l'expérience, tout le reste n'est que de l'information." ALBERT EINSTEIN


S2y2o1v7q53ws4r5wy6ou8czrpom - Eugenol
pxav

15/09/2021 à 07h55

fatboy écrivait:
------
> Tres beau cas! Et merci de l'iconographier et de le presenter.
> Je n'ai jamais pratiqué l'expansion au bistouri, quelle est la technique?
> Tu utilises la lame 11 comme un ciseau que tu tapes avec un maillet?

la lame (11 ou 15 suivant les cas) permet de ne pas consommer d'os, contrairement au piezzo par exemple.
Il faut travailler dans l'axe de l'os, en "tapotant" au maillet, en gardant à l'esprit que la lame est très cassante si on n'est pas dans l'axe du bistouri (j'ai eu une seule casse en 30 ans, mais c'est désagréable), ensuite pour la retirer, mouvement mesio distal, jamais vestibulo palatin.

--
xbk
La connaissance s'acquiert par l'expérience, tout le reste n'est que de l'information." ALBERT EINSTEIN


Lebarbu24

15/09/2021 à 08h29

Très beau bravo ! Et merci du partage
J'aurais sans doute tenté une autre technique (j'ai eu trop de casse du fragment mobilisé) comme l'idr de rosa, qui me procure de beaux résultats aussi dans ce genre de cas


S2y2o1v7q53ws4r5wy6ou8czrpom - Eugenol
pxav

15/09/2021 à 08h36

afin d'éviter la "casse", il faut un os assez souple et prendre son temps.
Le volet n'est pas vraiment "déplacé", il reste solidaire en apical, il est donc "manipulé".
Il est important bien sûr qu'il n'y ai pas de pression dessus ensuite, donc provisoire collé ou rien.


--
xbk
La connaissance s'acquiert par l'expérience, tout le reste n'est que de l'information." ALBERT EINSTEIN


Bebe 038 nf8eum - Eugenol
danteyeah

15/09/2021 à 13h15

Alors là l'iconographie est parfaite avec un champ et un axe toujours identique, ton boitier était fixé sur pied ? La partie chir me dépasse mais j'en ai saisi la philosophie qui me convient parfaitement.


S2y2o1v7q53ws4r5wy6ou8czrpom - Eugenol
pxav

15/09/2021 à 14h01

danteyeah écrivait:
---------
mais j'en ai saisi la philosophie qui me convient parfaitement.

et c'est le principal, soigner simplement...

Pour l'appareil, effectivement il est possible qu'il était fixé sur un bras de scialitique pendant les chirs c'est une bonne solution, mais dans ce cas là je ne me souviens pas.

--
xbk
La connaissance s'acquiert par l'expérience, tout le reste n'est que de l'information." ALBERT EINSTEIN


Aiguille cyboyt - Eugenol
fatboy

15/09/2021 à 16h19

Tu sépare un pan osseux, et ensuite tu l’écartes comme si c’était un livre, comment fais-tu pour que le pan osseux qui est rigide ne soit pas trop incliné en vestibulaire ?
Je ne sais pas si je me fais bien comprendre.


S2y2o1v7q53ws4r5wy6ou8czrpom - Eugenol
pxav

15/09/2021 à 18h42

l'os spongieux utilisé n'est pas rigide, et le travaillant doucement, il obéit bien et se plie sans casser.
il faut effectivement l'écarter comme un livre pour la partie crestale, et travailler la partie apicale pour lui donner la forme de ton futur implant .
et si il y a rupture en apicale les morceau sont "bloqués" par la paroi vestibulaire restante.
pas facile à expliquer par écrit, simple si on assiste. il faudrait que je cherche si j'ai une vidéo.


--
xbk
La connaissance s'acquiert par l'expérience, tout le reste n'est que de l'information." ALBERT EINSTEIN