Cookie Consent byPrivacyPolicies.comidentification implant - Eugenol

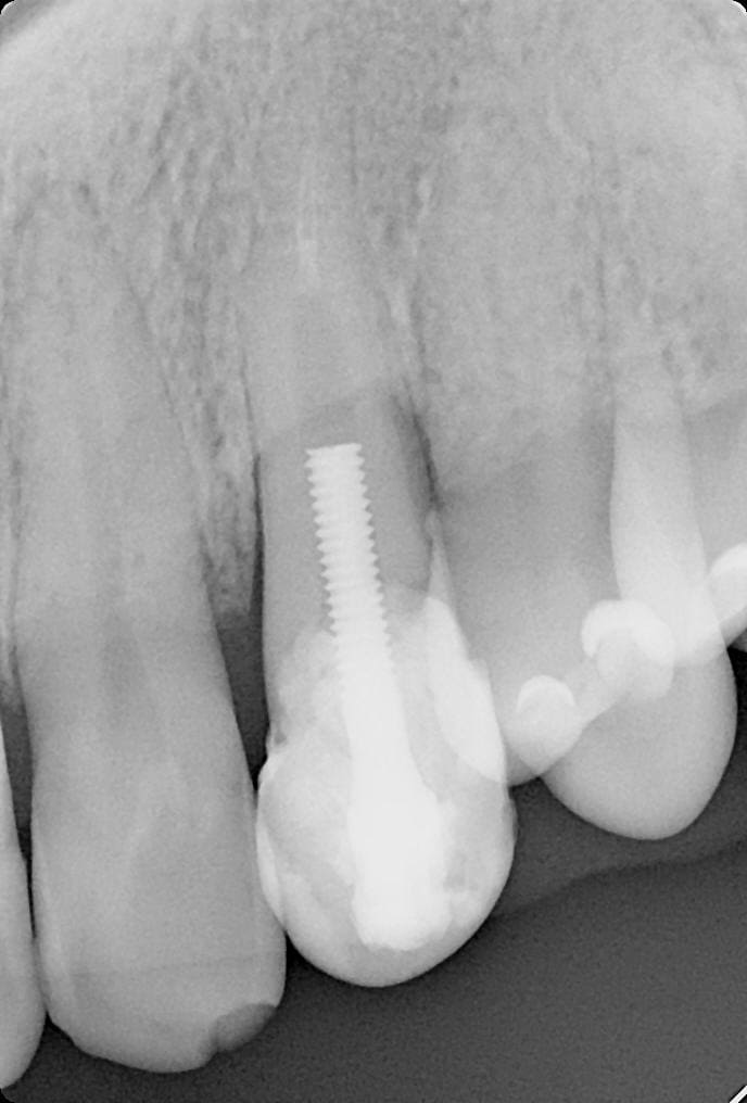
identification implant

CT

21/09/2021 à 16h26

Bonjour,
tout est dans le titre, ou presque…
question subsidiaire , fracture ou pas fracture?

Gyqqvkece5dralvkgk0e - Eugenol

P2eqdh3csim6s7nb09ktdq3e7ev8 - Eugenol
barbabapat

21/09/2021 à 16h34

https://www.castorama.fr/tige-filetee-brillante-zinguee-diametre-3-mm-x-1-m/3663602754404_CAFR.prd