Cookie Consent byPrivacyPolicies.comIdentification implant - Eugenol

Identification implant

WMX

28/09/2021 à 08h14

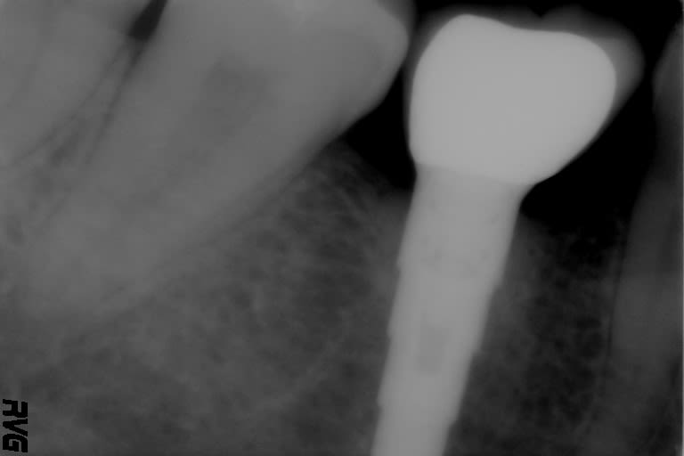
Bonjour, pour les connaisseurs, pouvez vous m'aider à identifier cet implant en 46 ?
Je pense à un frialit 2.
En 36 l'astra TX est un 5.0 x11mm.
Merci pour vos lumieres.

Xjhmueuiczswgnhjcckk - Eugenol
Slkjphobzdouotxgx2od - Eugenol

humator2

28/09/2021 à 08h38

c'est un Frialit impacté.


Photo pluton1b h9n4ea - Eugenol
pluton

28/09/2021 à 09h46

+1 Frialit impacté


WMX

28/09/2021 à 10h47

merci