Cookie Consent byPrivacyPolicies.comProblème CCM transvissée 36 sur implant à hexagone interne - Eugenol

Problème CCM transvissée 36 sur implant à hexagone interne

BRAD PITRE

28/09/2021 à 18h27

Bonjour

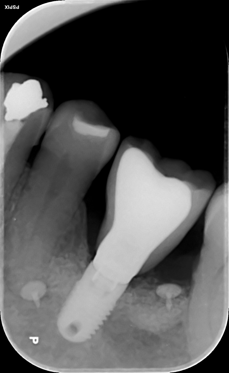
CCM posée il y a 2 ans. Sans problème.

Dévissage il y a quelques jours. Chute. Gingivectomie. Vis de cica.

Je remets aujourd'hui la CCM qui s'adapte impec ( radio ) ; je visse à bloc.

Et la CCM gigote....

Changement de vis, idem...

Pourquoi ?

Que faire ?

Merci

Ljdang62h5uopw1fqlva - Eugenol

mla3

28/09/2021 à 19h40

je ne vois qu'une interposition (ou effet retropulsif) de genvice fibreuse. faire une étape avec vis de cicatrisation plus "évasante" , dans ton cas l'image me laisse penser que le col est très enfoui


mla3

28/09/2021 à 19h42

ensuite à la prochaine tentative tu pourrais t'aider d'une clé duralay de stavilisation de la coiffe pour visser plus aisément.


TA2

28/09/2021 à 20h08

Allez j'y vais , z'y va . Pourquoi tenter , alors qu'il n'y a pas de points contacts proximaux ?


Aiguille cyboyt - Eugenol
fatboy

29/09/2021 à 04h02

Est-ce que tu utilises les bonnes vis?
À la radio, on a l’impression que la vis est en butée.


BRAD PITRE

29/09/2021 à 07h55

C'est la vis qui a bien tenu pendant 2 ans
La gencive fibreuse ne gêne pas , la ccm est à fond ( voir radio )
Oui, le point de contact s'est relaché... A reprendre mais cela n'explique pas le problème actuel...


Photo pluton1b h9n4ea - Eugenol
pluton

29/09/2021 à 10h16

le pilier, c'est un pilier or surcoulé?
si oui, dévissage, usure progressive de l'or avec le truc qui gigote....et maintenant c'est plus ok
=> à refaire


BRAD PITRE

29/09/2021 à 10h17

Non. Pilier classique


Fear and loathing in las vegas toax7t - Eugenol
Donchico

29/09/2021 à 14h01

C'est un TSV l'implant?
Est ce que le pilier serait un Atlantis?
J'ai eu le cas sur 2 transvissées 36 46 il n'y a pas longtemps.
Du jeu sur les 2 couronnes en bouche posées depuis 1 an.
En fait c'est l'épaulement sur lequel s’appuie la vis qui a été bouffé. Donc ta vis continue à s'enfoncer sans verrouillage.
Il faut refaire le pilier, y a pas le choix.
SAV prothésiste. et bien sûr changer les vis avec.
Je croise les doigts c'est la première fois que ça me fait ça sur une transvissée et j'en ai fait un paquet depuis.
Jamais eu le même problème sur des couronnes scellées.
C'est peut-être dû à un mauvais ajustage des points de contacts qui a forcé le serrage de la vis. (bien que j'utilise toujours un couple de serrage raisonnable 25N/cm.


Photo pluton1b h9n4ea - Eugenol
pluton

29/09/2021 à 15h03

BRAD PITRE écrivait:
----------
> Non. Pilier classique
Pas possible....ton protho t'as fais çà sur une base or....regarde la différence de radio-opacité entre l'implant (titane) la vis (titane là aussi donc même rendu radio) et hex du pilier (plus radio-opaque)
=> c'est pas du titane mais ne base or.....


Photo pluton1b h9n4ea - Eugenol
pluton

29/09/2021 à 15h04

Donchico écrivait:
--------
> C'est un TSV l'implant?

oui

bien que j'utilise toujours un couple de serrage raisonnable
> 25N/cm.

là tu as tout faux: il faut respecter les recommandations fabriquant....pour les TSV c'est 30Ncm


mla3

29/09/2021 à 15h49

"la ccm gigote" puis réponse à pluton "non pilier classique" alors c'est le pilier qui gigote, et ça (flèche) c'est pas activable (comme chez Biomet les "certain")???
pour moi pilier implantaire = implant, pilier prothétique = element de connexion porteur de coiffe et coiffe transvissée si pas de pilier intermediaire... je trouve ça plus clair.
Avec la radio opacité , en tous cas c'est pas du titane comme dit Pluton, c'est quoi exactement ce pilier "classique" ??

Pilier activable hpnwzy - Eugenol

mla3

29/09/2021 à 15h55

en plus il y a une sorte d'étranglement... comme pour une surcoulée.

Bon c'est un mystère palpitant.... j'attends la sentence des Cadors.

Collet giovdp - Eugenol

Fear and loathing in las vegas toax7t - Eugenol
Donchico

29/09/2021 à 17h43

pluton écrivait:
------
> Donchico écrivait:

> bien que j'utilise toujours un couple de serrage raisonnable
> > 25N/cm.
>
> là tu as tout faux: il faut respecter les recommandations fabriquant....pour les
> TSV c'est 30Ncm

Pour les 25 Ncm je me suis dit que si ça forçait à 30N/cm il fallait que je serre moins pour moins forcer sur la vis avec les couronnes trans-vissées.
Bref je vais resserrer les dernières couronnes posées à 30Ncm. (le pépin que j'ai eu est arrivé il y a 3 semaines)

Ci-joint les radio de la 36 sur un analogue qui ne s'ajuste pas malgré un serrage à fond. dans l'implant

361 p7mvhq - Eugenol
362 voepib - Eugenol

mla3

30/09/2021 à 10h51

affaire sans suite ??? dommage


BRAD PITRE

02/10/2021 à 13h34

Donchico écrivait:
--------
> C'est un TSV l'implant?
> Est ce que le pilier serait un Atlantis?
> J'ai eu le cas sur 2 transvissées 36 46 il n'y a pas longtemps.
> Du jeu sur les 2 couronnes en bouche posées depuis 1 an.
> En fait c'est l'épaulement sur lequel s’appuie la vis qui a été bouffé. Donc ta
> vis continue à s'enfoncer sans verrouillage.
> Il faut refaire le pilier, y a pas le choix.
> SAV prothésiste. et bien sûr changer les vis avec.
> Je croise les doigts c'est la première fois que ça me fait ça sur une
> transvissée et j'en ai fait un paquet depuis.
> Jamais eu le même problème sur des couronnes scellées.
> C'est peut-être dû à un mauvais ajustage des points de contacts qui a forcé le
> serrage de la vis. (bien que j'utilise toujours un couple de serrage raisonnable
> 25N/cm.

Oui TSV. Le pilier est fourni par le labo.
Chez moi, la vis verrouille, bloque mais la CCM "tremble"
Tout cela m'étonne mais c'est une piste...