Cookie Consent byPrivacyPolicies.comHelp Pluton... c'est quoi ca? - Eugenol

Help Pluton... c'est quoi ca?

S2y2o1v7q53ws4r5wy6ou8czrpom - Eugenol
pxav

30/09/2021 à 10h32

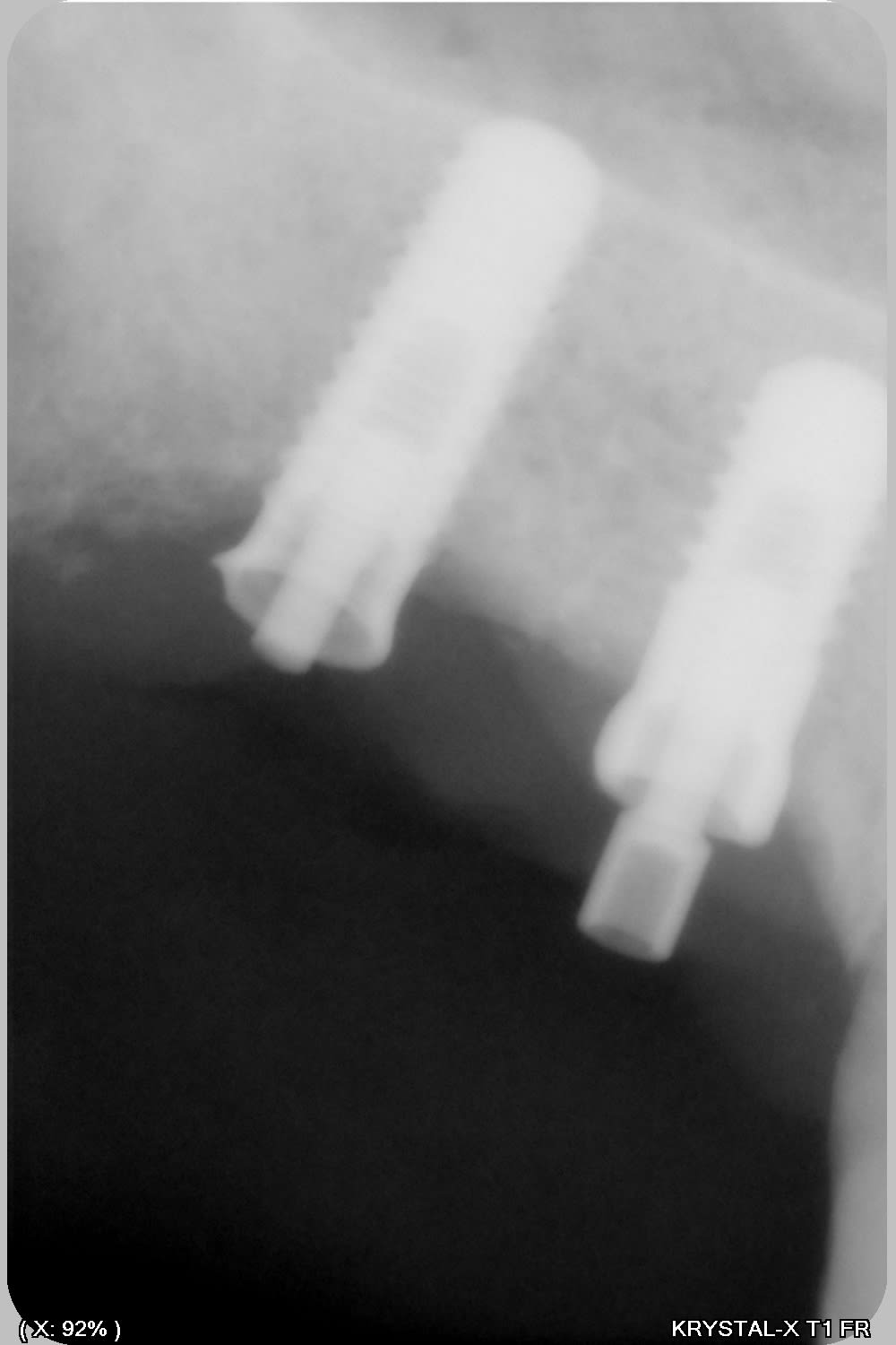
implants posés il y aurait 15 ans dentiste plus joignable
radio pas terrible


--
xbk
La connaissance s'acquiert par l'expérience, tout le reste n'est que de l'information." ALBERT EINSTEIN

Nbtqk1dypgd3npqsldql - Eugenol
Yenlldy6doosi5uqp8kc - Eugenol
Ubxjkno8ccdpitupzhvx - Eugenol

vernal

30/09/2021 à 12h19

12h17 et Pluton n'a toujours pas répondu... C'est hitchcockien...


Photo pluton1b h9n4ea - Eugenol
pluton

30/09/2021 à 14h52

je dirais de l'IDI
sur celui de la 12 un ID one ou ID gold
sur la 13 un ID max

l'empreinte de la vis, c'est un carré? si oui, alors c'est çà.....
mais bon les radios aident pas trop non plus....;-)))))


Photo pluton1b h9n4ea - Eugenol
pluton

30/09/2021 à 14h53

j'ai un boulot de dingue....donc nonol, c'est quand j'ai un peu de temps....


S2y2o1v7q53ws4r5wy6ou8czrpom - Eugenol
pxav

30/09/2021 à 14h54


alors retourne bosser... merci patron

--
xbk
La connaissance s'acquiert par l'expérience, tout le reste n'est que de l'information." ALBERT EINSTEIN


Photo pluton1b h9n4ea - Eugenol
pluton

30/09/2021 à 16h59

de rien....;-)
entre 2 chir.....mdr....


dcs

30/09/2021 à 17h13

tu dois rembourser l avance de la SS?

pluton écrivait:
------
> j'ai un boulot de dingue....donc nonol, c'est quand j'ai un peu de temps....