Cookie Consent byPrivacyPolicies.comPremiere MCEI - Eugenol

Premiere MCEI

olivier13009

03/10/2021 à 17h34

Voila voila

je vais entamer ma première MCEI de 13 à 23 .
J'ai choisi comme schéma la pose en 13 12 22 23 , en 11 et 21 la présence du paquet vasculonerveux palatin antérieur me refroidit.
J envisage la préparation d'une PPA de 13 a 23 si l opération est impossible quand même .....
Je vous détaille mon protocole ...si les plus avisés ont des conseils n hésitez pas je prends .

1) extraction au piezo pour preserver le max d 'os
2)incision avec gain de laxité en vestibulaire (brush ou semi epaisseur )
3)comblement des 11 21
4)forage le plus palatin possible et le plus apicalement (idealement du 13 mm)
5)mise en place des implants 22 12 13 23 à 40 N
6)comblement des gaps avec du GTO
7)mise en place des piliers MU
8)sutures

phase 2....même journée

1)prise empreinte sur piliers MU et antagoniste
2)prise occlusion/teinte

Phase3....fin journée
1)vissage
2)mise en sous occ totale


Voila ....




Vgurzzmzuxwgosralpbs - Eugenol
Sahpghy9vcytjzxk0k5d - Eugenol
Qvs1uldig62bwk1plkmf - Eugenol
Ngscg1lzrgrdvn8aau6m - Eugenol
Bxpoy1ptebvrpxuitpge - Eugenol
Ue7jdhasazl3hfvwqxa6 - Eugenol
Pn3p52ogvedruv1pmv5k - Eugenol

Olieve

03/10/2021 à 17h55

Faut vraiment enlever ces 6 dents ?


olivier13009

03/10/2021 à 18h05

les retros .... d apres toi je lui mets 2 implants en 13 et 23 et on attends 4 ans que 12 22 bougent ?

Dieudo3 pjsqfw - Eugenol
Dieudo1 obq7q0 - Eugenol
Dieudo2 j71mph - Eugenol

Olieve

03/10/2021 à 18h34

A 4 ans, je suis plus inquiet pour le bas que pour 12 et 22.

Je commencerais par déposer le bridge avant de décider quoi que ce soit.


moritooth

03/10/2021 à 21h33

Au niveau du protocole, la seule chose que j'éviterai c'est les exos au piezo. L'échauffement de l'os à une profondeur ou l'irrigation n'arrive pas donne souvent de très vilaines cicatrisations. Perso les extractions au piezo c'est terminé.

Ensuite je ne suis pas sûr que je prendrais le risque d'une MCEI avec un contexte infectieux aussi avancé en bas (paro terminale+periimplantite...). Quitte à implanter en haut en laissant le bas en l'état, je partirais quasiment sur du 2 temps !


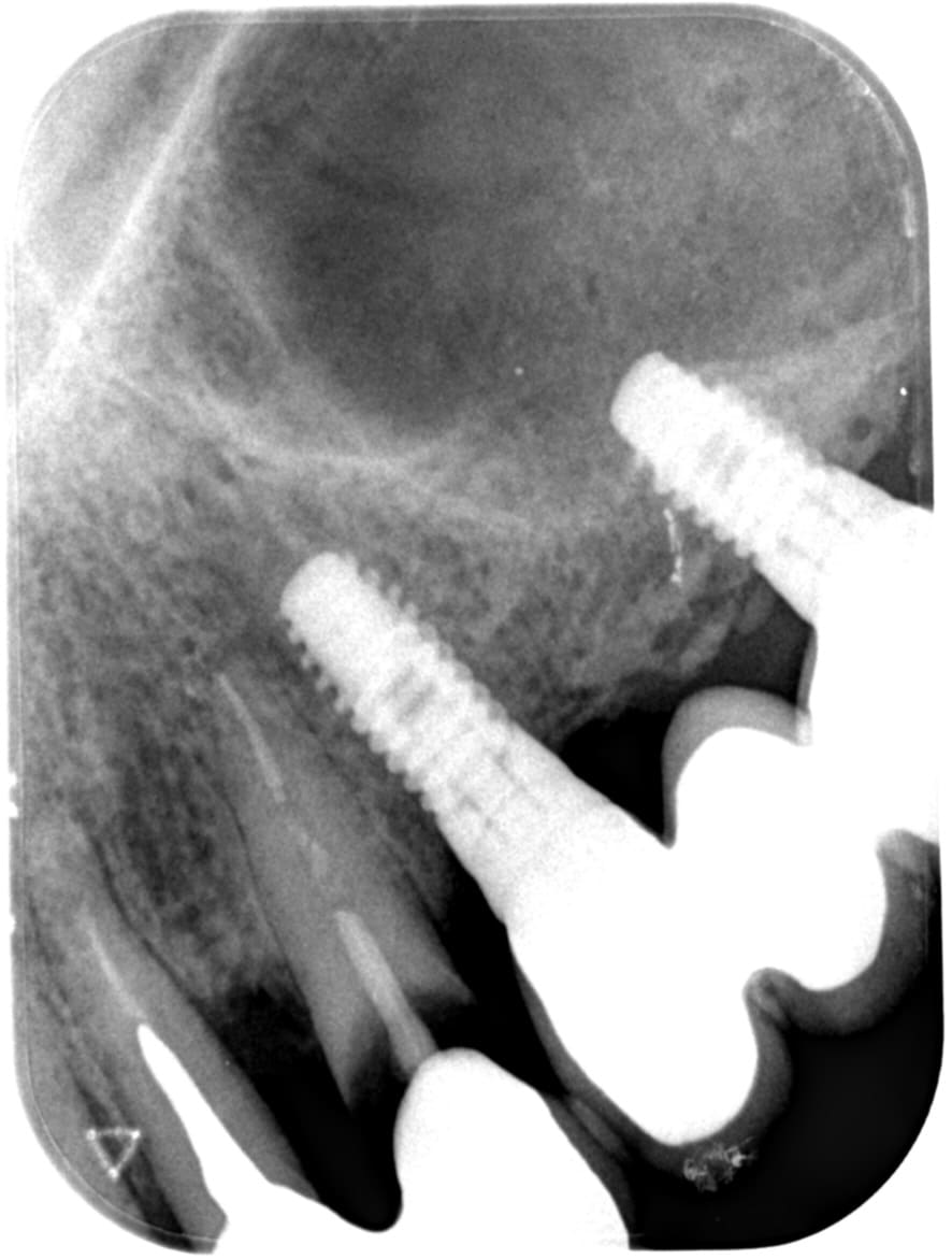
Photo pluton1b h9n4ea - Eugenol
pluton

04/10/2021 à 00h06

et planter ton clou dans le site de 22 infecté..... c'est généralement dans ces cas là que çà merde le plus facilement....on est jamais sûr à 100% d'avoir tout viré le tissus de granulation....

pareil, les extractions au piezzo....mauvaise idée....


Aiguille cyboyt - Eugenol
fatboy

04/10/2021 à 07h25

Salut,
22 et 23 ont clairement des pêches, c’est une contrindication pour une implantation immédiate, alors pour une mci, encore plus.
Je n’ai pas tout le scan, mais en 11 et 21, je ne vois pas vraiment le problème. Je ne comble pas mes extractions, je ne vois pas l’interêt.
Mettre en sous occ, une mci c’est une très bonne idée, mais dans ton cas, ça veut dire que les seuls contacts resteront sur 45-46 et 35-36. 3 d’entre elles sont déjà perdues, que ce passera-t-il en 6 mois?
Enfin, on a pas tout le dossier, mais c’est vrai que je ne pense être parti directement sur ce plan de traitement. Peut-être plutôt, nouvelle couronne sur 23 ou extraction puis implant en temporisant avec une couronne en extension sur 22. En même temps, résection apicale pour 22 et les autres s’il faut. Et surtout , reprendre les deux secteurs postérieurs mandibulaires. ( extraction de 18, aussi, ça fait négligé sur la pano...).
Dans ton plan de traitement, à cause des infections et des secteurs postérieurs , tu ne peux pas faire de mci, ce sera donc de long mois avec une ppa inconfortable pour le patient et pas bon pour la cicatrisation d’un point de vue esthétique.
Après tu peux tenter et prier, c’est une technique qui marche parfois.


Aiguille cyboyt - Eugenol
fatboy

04/10/2021 à 07h25

Tu dois te dire qu’on est pénible par plaisir, mais c’est pas le cas, quand je fais un plan de traitement, je le refais souvent, et à la fin, j’essaye de limiter les risques (ça permet de mieux dormir), ne pas sauter les étapes de l’apprentissage (une complication après l’autre), et toujours proposer des traitements globaux, étalés sur plusieurs années parfois, ça donne de meilleurs résultats et ne nuit pas au CA.


Lebarbu24

04/10/2021 à 11h02

Moi je suis plutôt d'accord avec ton PTT, même si effectivement j'aurai géré le bas aussi, ou prévu de le faire.
Concernant une EIIMEI dans un secteur un peu infecté, j'en ai fais un paquet, ça se passe tj bien.
Voir la technique IDR, implantation immédiate dans de grosses lésions, avec reconstruction osseuse. J'ai quelques cas bien corsés, qui se passent fort bien !


humator2

04/10/2021 à 19h03

d'accord avec lebarbu: je ferais.
sauf le piezzo....je vois pas l'interet.
juste faire attention à l'axe du forage: ne pas se faire piéger par l'alvéole.


patat

04/10/2021 à 22h32

c'est quoi une MCEI ,?
pourriez vous parler français de tant en tant?


Photo pluton1b h9n4ea - Eugenol
pluton

04/10/2021 à 23h26

En fait c’est EMCI: Extraction Mise en Charge Immédiate


bouboule

04/10/2021 à 23h35

Idem, oublie le piezzo ca sert à rien voire ça se transforme en perte de chance .
Des cas de mise en charge immédiate sur site où je vire des pêches avant, j’en ai plein. Jamais eu de soucis.
Par contre faut être méticuleux au curetage…
Et je comblerai pas 11 et 21. Quel intérêt?
Profite de ton bridge provisoire pour bien travailler ton émergence. Ensuite ta gencive viendra sagement cicatriser sur ce profil.
Combler n’apportera rien si ce n’est un risque supplémentaire de faire une erreur d’asepsie.
Attention aux péri implantites sur tes secteurs latéraux… faut assainir avant de commencer le haut…