Cookie Consent byPrivacyPolicies.comIdentification implant - Eugenol

Identification implant

Dentiste06200

28/10/2021 à 11h46

Bonjour à tous,
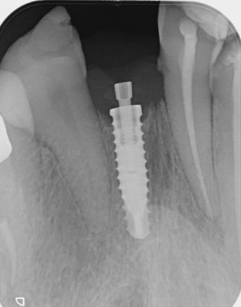
Nous avons besoin d'identifier cet implant.
Avez vous une idée ?

Merci d'avance,

Bt8vnic60zwusl9q85sf - Eugenol

Photo pluton1b h9n4ea - Eugenol
pluton

28/10/2021 à 19h47

Rien trouvé pour l’instant