Cookie Consent byPrivacyPolicies.comFracture d'implant - Eugenol

Fracture d'implant

Aiguille cyboyt - Eugenol
fatboy

13/11/2021 à 05h38

Salut a tous,

Il faut une premiere a tout, et voila, j'ai ma premiere fracture d'implant.
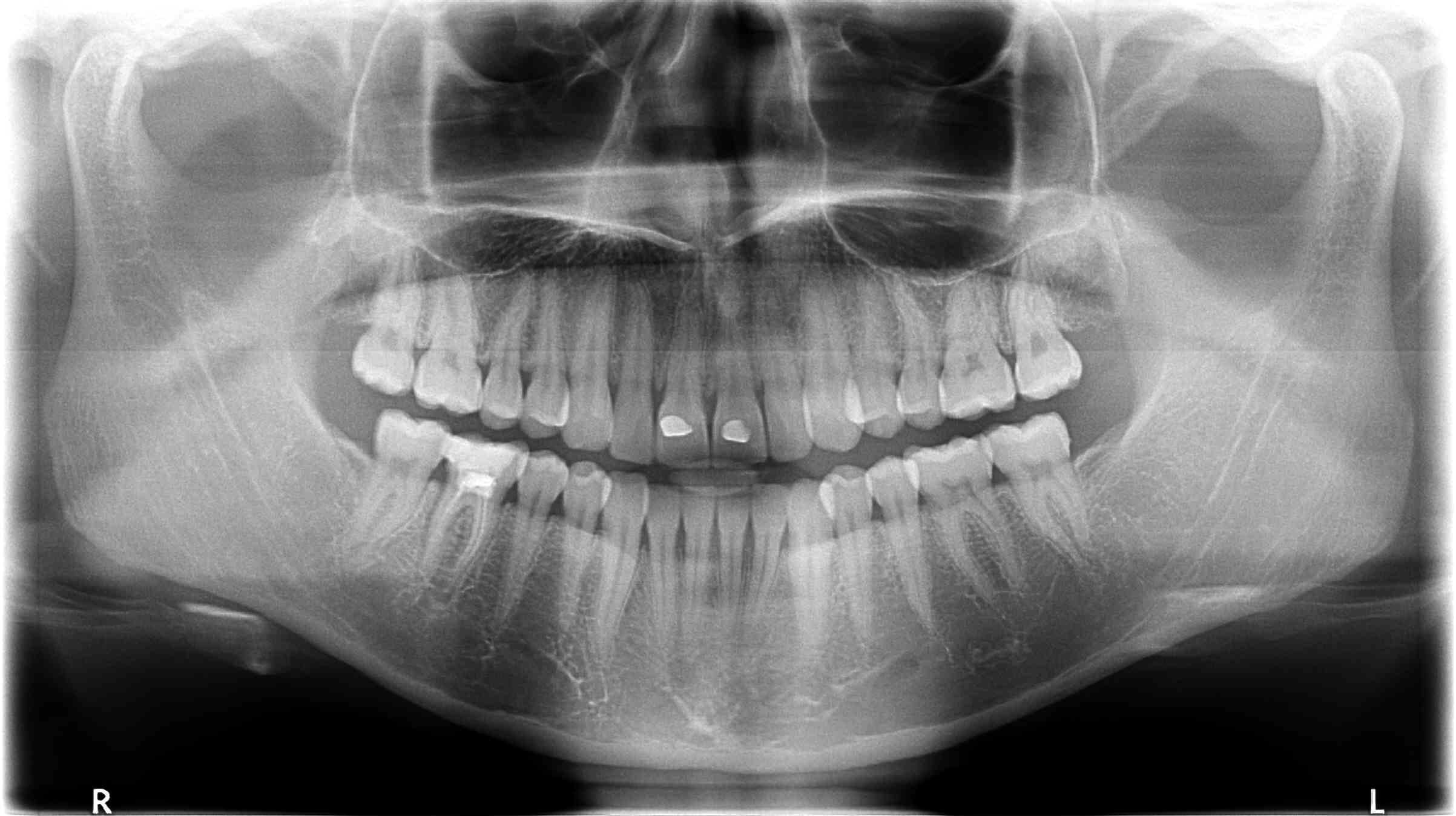
Implant dentium Superline 4x10 posé en 46 debut 2018 sur patiente bruxomane avec gouttiere.
J'ai envoyé la radio a Dentium, mais je n'ai pas eu de reponse.
J'en ai posé quelques centaines, j'en ai meme fait la pub ici.
Ca vous est deja arrivé?

Ciao

1znwywr0itwnxah6n66k701fm8vd - Eugenol

Hok 1b hgd3rj - Eugenol
Hokusai

13/11/2021 à 07h03

A mon avis un diamètre de 4mm c est faible pour une molaire chez un bruxo, surtout si connexion interne.
Ça fait quand même des épaisseurs de titane au niveau du col très fines avec un bras de levier important.

Rvz4pzobvbizav9ls3d7zjq3pcyj - Eugenol
5kvsjg6ra6fmutzl2gjirrq9mzxk - Eugenol
Xq41zy8dia9xi0cnpqljj1ygmqio - Eugenol

S2y2o1v7q53ws4r5wy6ou8czrpom - Eugenol
pxav

13/11/2021 à 08h53

Je ne suis pas fan des implants courts, mais par contre du 3.5 pour les molaires, ça ne m'a jamais posé de problème.
j'ai déjà eu des fractures des piliers, ou des vis, (quelques soit le diamètre de l'implant, les piliers sont les mêmes pour les Axioms), en principe, si ça casse, ce n'est pas du au diamètre, il faudrait savoir comment est le reste de la bouche, les dents naturelle ont pu s'user (bruxo) et migrer légèrement , alors que l'implant lui, ne bouge pas...


--
xbk
La connaissance s'acquiert par l'expérience, tout le reste n'est que de l'information." ALBERT EINSTEIN


Aiguille cyboyt - Eugenol
fatboy

13/11/2021 à 09h24

J'essaie toujours de mettre du 5 en posterieur.... sauf quand c'est pas possible. 3.6 ca m'est arrivé, mais je serrais un peu les fesses, 4 je ne me doutais pas d'un probleme de fracture de l'implant.
Elle bruxe mais pas comme une folle non plus, sur la pano, les dents ne sont pas rasées non plus.
J'ai extrait a cause d'une fracture radiculaire.
Mais, ca vous ai deja arrivé?

W1yvsutupby7m25107yc7ep49w9l - Eugenol

rice and carie

13/11/2021 à 09h38

Le bras de levier est surtout dans le sens vertical, la hauteur de la couronne clinique, plutôt que dans le sens vestibulo/ lingual, surtout pour un bruxo et ses latéralités. Importance des pentes cuspidiennes dans ce cas là.


Hok 1b hgd3rj - Eugenol
Hokusai

13/11/2021 à 10h48

le col de l'implant est tellement fin qu'il est radiotransparent sur le radio de fatboy...
tu as une radio de la couronne en place ?

(Très belle endo style italiano sur feu 46... ;)


Jf35

13/11/2021 à 12h33

C’était une couronne transvissée?
Générique ou originale?
On dirait que tu es directement sur les spires de l’implant.


Photo pluton1b h9n4ea - Eugenol
pluton

14/11/2021 à 00h00

Ça m’est arrivé avec un 3,6….cassé à la pose moteur réglé à 40 Ncm…restait 1mm à enfouir donc un bon moment de galère pour le ressortir et en poser un autre….
Heureusement ça s’est bien terminé…


Hok 1b hgd3rj - Eugenol
Hokusai

14/11/2021 à 11h31

pluton écrivait:
------
> Ça m’est arrivé avec un 3,6….cassé à la pose moteur réglé à 40 Ncm…

Et le moteur était réglé sur la bonne réduction du contre angle ?
Il aurait dû débrayer...


Photo pluton1b h9n4ea - Eugenol
pluton

14/11/2021 à 14h32

Oui oui, moteur bien réglé…donc casse avant l’atteinte du couple à 40Ncm
Ça à fait « tic » et le driver tournait dans le vide…col éclaté


Aiguille cyboyt - Eugenol
fatboy

17/11/2021 à 03h43

Couronne transvissée, pilier dentium. Rien de particulier.
La seule fois ou ca m'etait arrivé, c'etait a la pose d'un nobel replace 3.2, serrage pour le dernier millimetre a la cle sans cliquet, j'y etait allé tres fort, trop.... Impossible a devisser, pas de trepans, aucune prise a l'elevateur, donc carnage. On apprend de ses erreurs.


Hok 1b hgd3rj - Eugenol
Hokusai

17/11/2021 à 17h22

fatboy écrivait:
------
> Couronne transvissée, pilier dentium.

pas de rapport avec la fracture mais les dentium superline, la connexion serait compatible avec une gamme de chez astra tech ?? et si oui laquelle ??


Photo pluton1b h9n4ea - Eugenol
pluton

17/11/2021 à 17h46

Astra LilaC.....enfin avec les anciens piliers, pas leur dernières gammes avec leur nouvelle indexation....
mais çà reste une connexion conique à 11°


vernal

17/11/2021 à 18h06

Pluton et Fatboy : Comment avez-vous fait pour les retirer et quels ont été les suites ?


dcs

17/11/2021 à 20h00

il semble que l os ne soit plus présent autour de l implant sur le col , y a t il un lien de cause a effet?
4 sur une molaire c est pas bcp et le design n est pas le même entre 4 et 5 mm au col . mais la discussion est intéressante