Cookie Consent byPrivacyPolicies.comMarque implant? - Eugenol

Marque implant?

ReDentek

29/11/2021 à 10h54

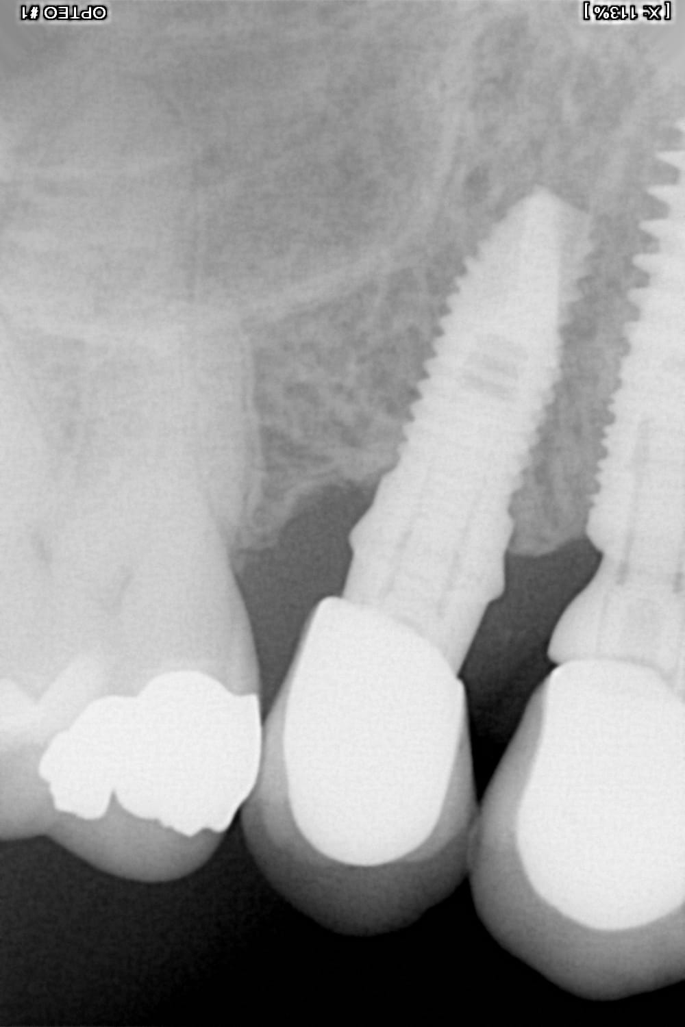
Bonjour,
je recherche la marque d'un implant chez une patiente; voici la rétro
Merci pour l'aide!

Rt1g39nv8exd196qs2j6r1bcrpqj - Eugenol

Photo pluton1b h9n4ea - Eugenol
pluton

29/11/2021 à 12h17

amha un Zimmer Spline....

https://osseosource.com/spline-twist-5-0-/p-256.html


ReDentek

29/11/2021 à 13h28

Super, merci beaucoup Pluton, toujours au top!