Cookie Consent byPrivacyPolicies.comrecherche vis - Eugenol

recherche vis

flicflac!

01/12/2021 à 01h29

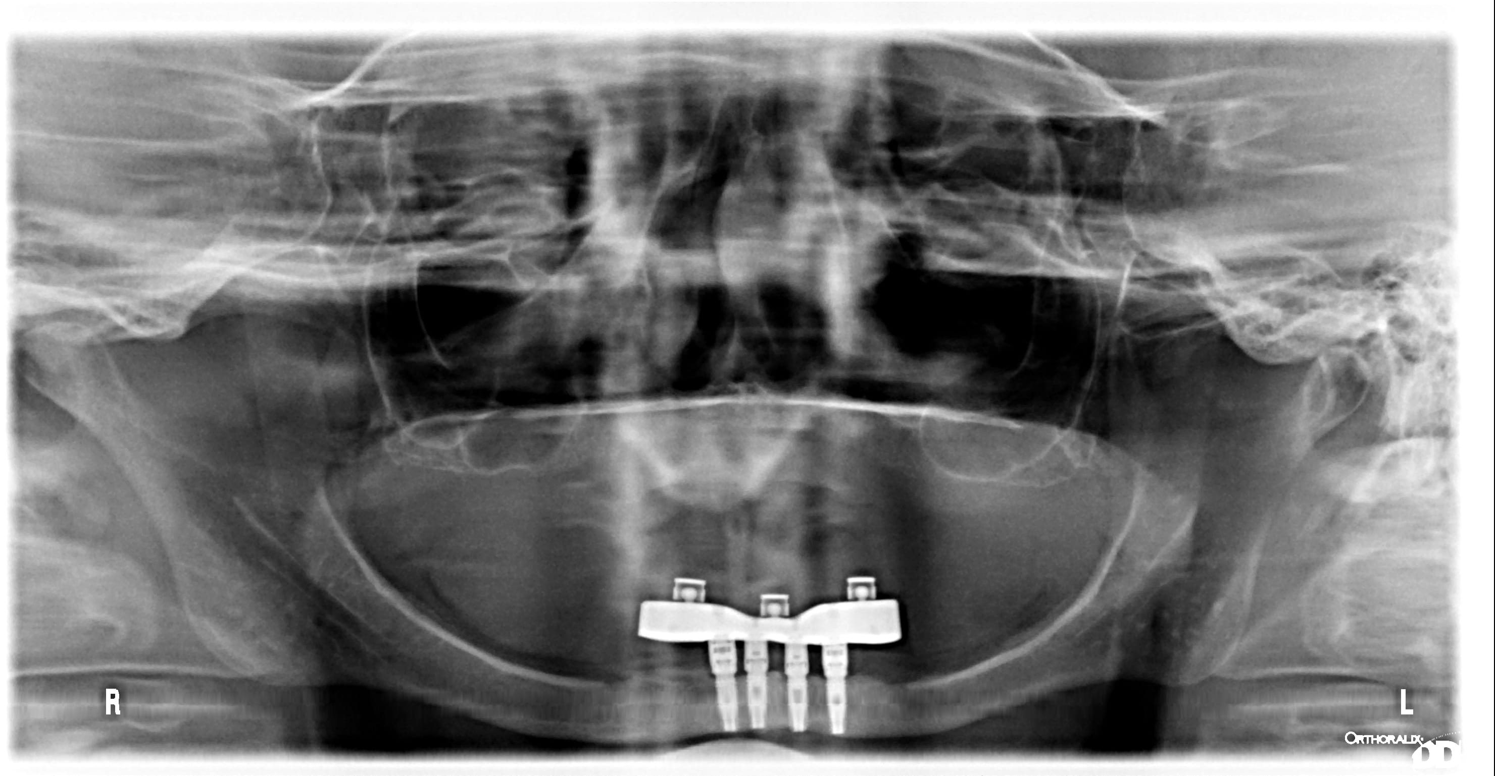
Je refais prothèse sur barre fais au Canada il y a plus de 15 ans avec Implant Branemark MKIII
les piliers transmuqueux ditaux sont de Branemark
la visse de référence de Nobel est Ref. 32983 pour les piliers distaux
Les piliers centraux ne semble pas de nobel
la visse a un diamètre légèrement plus petit au niveau du pas de visse et le diamètre de la tête de la visse que j'ai besoin est de diamètre légèrement inférieur
ci-joint photo de la visse rechercher avec radiographie

Rn9xeqytblh3tjwnhj5567dlst4s - Eugenol
9hi4srxz1ojdo3ms8fsoh2t04od7 - Eugenol

flicflac!

01/12/2021 à 01h56

la radiio

Qusree2e4m155yg99d3e4kronwza - Eugenol