Cookie Consent byPrivacyPolicies.comClaquement ATM à 17 ans - Eugenol

Claquement ATM à 17 ans

burnax

01/12/2021 à 18h53

Bonjour,

Que feriez-vous pour résoudre un claquement fort chez un ado de 17 ans, apparu suite à un rire trop fort, semble-t-il, sans atcd d'ortho, accident (...), DDS incluses et asymptomatiques, des 7 en évolutions ?


burnax

01/12/2021 à 18h58

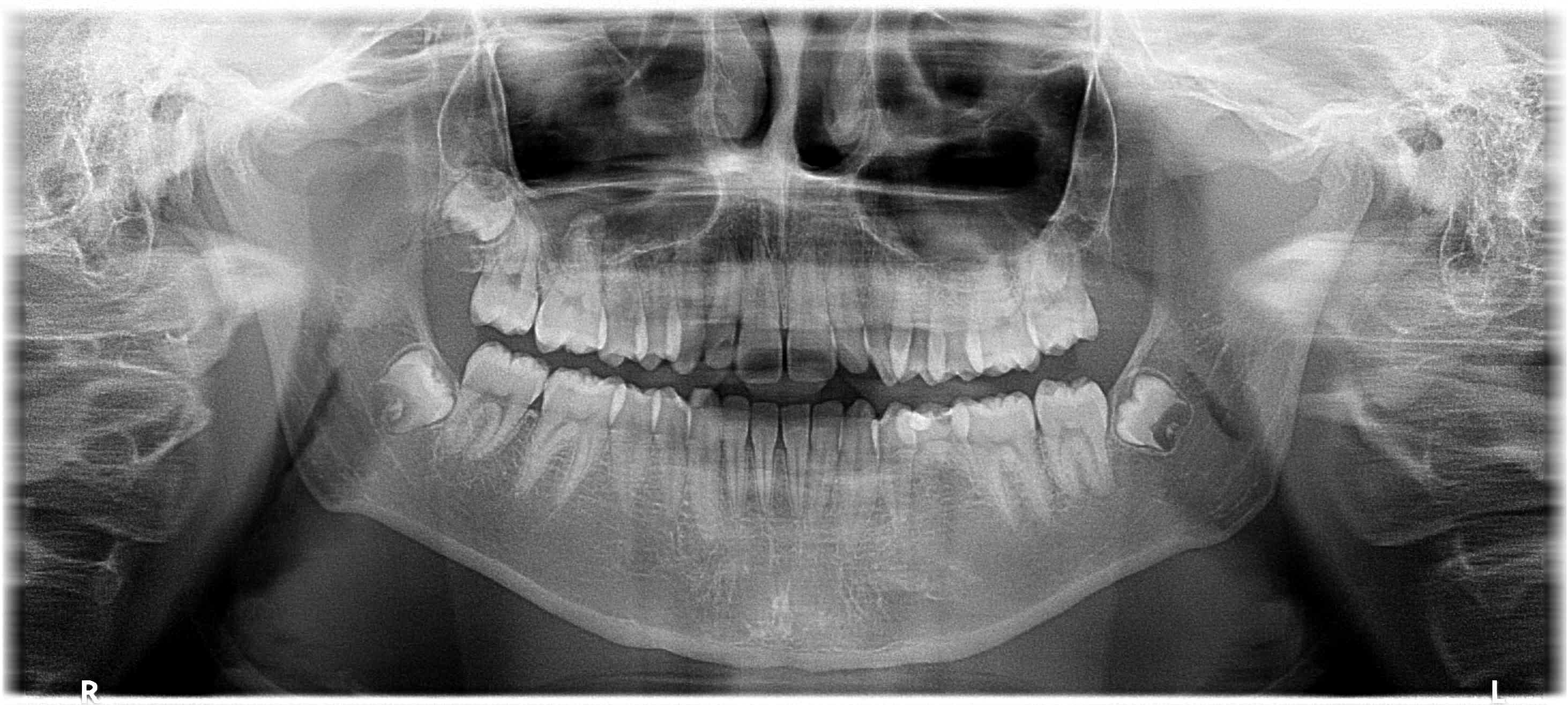
La pano

Io1yy1un503y8hgosewq1e0tptax - Eugenol

Vw campersurfvan bmnk1q - Eugenol
enlaye

02/12/2021 à 14h13

Une petite analyse occlusale et une equilibration s il y a 1point évident à retoucher .
Je regarderais bien la 37 .
Auquel cas il claquerait surtout à droite .


rat

02/12/2021 à 16h37

kiné


burnax

02/12/2021 à 17h48

Une gouttière ???
je le revois mercredi.
Je verrai sa 37, car trop fort notre Enlaye, son claquement est bien à droite.


Vw campersurfvan bmnk1q - Eugenol
enlaye

02/12/2021 à 19h15

une gouttière dans ce cas ? oui si tu veux , cela peut éventuellement faire partie de l analyse si tu en as besoin , cad si tu es niaï ou bien si tu veux rajouter 172 pourquoi pas :-) mais sinon ça ne sert à rien ! :-)
la gouttière c est rien que pour les pébrons : eh oui pcq elle ne te sert qu à simuler une nouvelle occlusion , ou bien aussi à aider à rechercher une centrée , bref que des trucs de quand tu ne sais pas , or si tu ne sais pas lire les signes , la gouttière ne te donnera pas beaucoup plus de renseignements .
et surtout que quand tu l enlèves la gouttière , ben tu reviens comme avant , et donc ça aura servi à quoi au final ??
à la limite le kiné de rat c est plus adapté .


Gabzou

02/12/2021 à 20h04

C'est apparu suite à un trauma avec trop grande ouverture. A priori tu as une étiologie articulaire. Ca sent la subluxation, bon espoir que ca rentre dans l'ordre seul si occlusion équilibrée. A priori le cas.
Si c'est recent ( moins d'1 mois) abstention.
Si est asymptomatique (je veux dire non douloureux) abstention.
Ya plein de monde qui craque/claque.
Sinon tu pousses les examens: déviation ?
Je laisse enlaye pour la suite, c'est lui le pro ^^


burnax

02/12/2021 à 20h46

Le pb date de 2 ans environ et entretenu par l'ado pour faire amuser la galerie.
Evidemment, je lui ai dit stoppé..


Vw campersurfvan bmnk1q - Eugenol
enlaye

03/12/2021 à 00h23

Gabzou écrivait:
------
" Sinon tu pousses les examens: déviation ? "
a mon avis ici non , je penserais plus à un blocage avant / arrière .
genre un pb de crête proxi on on en a déjà parlé dans un tuto .
pcq pour qu il y ait claquement unilateral , il faudrait qu il y ai soit :
- une latero-deviation + une compression unilaterale de compensation
ou bien
- un étirement ligamentaire unilatéral vers l arrière du coté opposé où il y a le blocage . blocage avec la centrée , bien sur . genre la 37 en mesial .
et vu qu' il n a pas eu de soins j éliminerais la 1ere proposition . en effet , il est peut etre tout simplement un peu tordu , (il lui reste une dent de lait , non ?) avec certainement un ou des occlusions croisées mais peu importe , il peut être bien calé comme ça sans possibilité de compression .
je le vois bien comme un petit branlo festif qui fumerait trop de ouinjes . et ça ce n est pas terrible pour la coordination motrice . du coup je pense plus à un serrement sur une butée antero post .
bon , c est de la fiction , hein , on a que le pano , mais ...


Vw campersurfvan bmnk1q - Eugenol
enlaye

03/12/2021 à 00h40

apres ce qui est possible ç est que le blocage sur la 37 , ce soit lui qui se le soit créé par une position nocturne d evitement d un pb anterieur .
mais si c est ça ç est encore plus facile pcq tu le vois facilement par les faces d usures sur les plâtres .
au quel cas , tu gangasses les platres dans les mains et tu retrouves vite fait une occlusion stable de traviol .
cette position étant au plus loin du pb initial .


burnax

20/04/2022 à 12h59

Petit retour...
J ai revu mon patient.
Retouche de la 37 en janvier.
A ce jour, le claquement a disparu.
Merci Enlaye


Vw campersurfvan bmnk1q - Eugenol
enlaye

20/04/2022 à 20h21

Et qui c est le patron ? :-)))
Je plaisante , plutôt merci à toi de ton retour , Burnax .
Sinon , s il faut , tu n aurais pas retouché, le claquement aurait peut être disparu .
Sais tu au bout de combien de temps c est parti après ton equilibration ?


burnax

20/04/2022 à 21h20

Rapidement..


Vw campersurfvan bmnk1q - Eugenol
enlaye

21/04/2022 à 00h34

cqfd .:-) pas de gouttières , un geste simple , le bon , non invasif , et ça suffit .