Cookie Consent byPrivacyPolicies.comQuel implant est-ce dont ? - Eugenol

Quel implant est-ce dont ?

MHL

21/12/2021 à 12h18

Bonjour à tous et surtout à Pluton !

Sauriez-vous de quels implants il peut s'agir ?
En vous remerciant par avance !

4huvizfjnw8h6pm1yokz7l1abhci - Eugenol

vernal

21/12/2021 à 12h23

Sympa comme panorama ! Caisse qu'il est prévu ?


MHL

21/12/2021 à 12h31

Très probablement un all-on-6 maxillaire (si le patient accepte le devis) avec un surfaçage mandibulaire et une implantoplastie de 37.

Mais j'aimerais bien pouvoir exploiter l'implant en 21


vernal

21/12/2021 à 12h37

Pb sur la 33 ?


MHL

21/12/2021 à 12h52

Je verrais ça pendant le surfaçage, si nécessaire je l'orienterai vers son omni pour une RTE


vernal

21/12/2021 à 14h35

2h16 sans réponse de Pluton ? Personne n'a consulté la rubrique nécrologique ?


Photo pluton1b h9n4ea - Eugenol
pluton

21/12/2021 à 16h51

vernal écrivait:
------
> 2h16 sans réponse de Pluton ? Personne n'a consulté la rubrique nécrologique ?

toujours de ce monde...juste overbooké cette fin d'année...
sinon, une rétro, car là j'ai plus de 200 correspondances....


vernal

21/12/2021 à 17h06

Ouf !!


Photo pluton1b h9n4ea - Eugenol
pluton

21/12/2021 à 17h40

vernal écrivait:
------
> Ouf !!

tu sais, je peux aussi être en vacances....;-)))
plus qu'un jour....et mon année est bouclée....
repos jusqu'au 3/01...
mais juste avant le 25 (le 23 pour être précis) le papa noël va me faire faire un petit tour vers Lyon pour aller chercher mon nouveau joujou qui fait vroum....heu....bzzzzz plus exactement...;-)))))


vernal

21/12/2021 à 18h12

Je propose une bannière pour Eugénol
"Pas de reconnaissance d'implant pour cause de vacances de notre interplanétaire maître à tous jusqu'au 3 janvier
Après prière de vérifier sa connexion fibre qui ne sera peut-être pas assez rapide pour transmettre la réponse !! ( sauf en cas de vacances et pas de décès)"


mole

21/12/2021 à 18h28

"notre interplanétaire maître à tous jusqu'au 3 janvier" .... flagorneur le non blond .. plus si svelte .

après la fin de non recevoir de PP, ton plan B?????


MHL

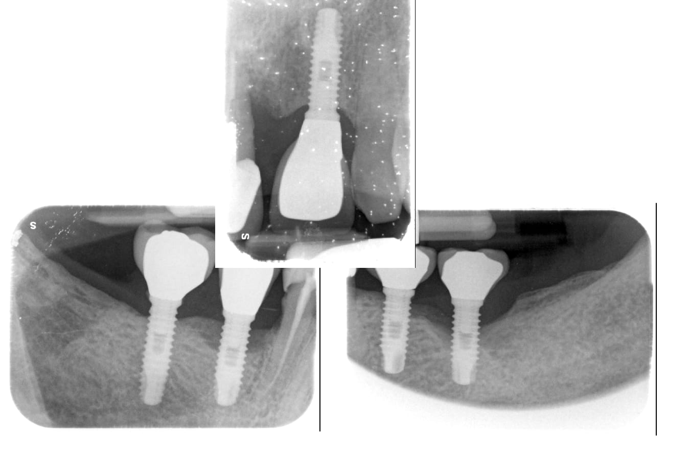
11/01/2022 à 17h31

J'ai enfin revu le patient, voici les rétro-alvéolaires !

975j073erf6s2r4uol3txv2vu7ii - Eugenol

MHL

11/01/2022 à 17h31

J'ai contacté le service de maxillo où ça a été posé, et on me dit du MIS 3.5 à hexagone externe...


Photo pluton1b h9n4ea - Eugenol
pluton

11/01/2022 à 17h57

mouais......
moi je dirais plutôt du néodent hex externe titamax HE

https://osseosource.com/allfit-osseopore-e-4-1-/p-2574.html


MHL

11/01/2022 à 19h01

Est-ce que tu penses que ce pourrait être ça : https://osseosource.com/biocom-external-hexagon-standard-platform-4-1-/p-106.html


Photo pluton1b h9n4ea - Eugenol
pluton

11/01/2022 à 21h33

Oui c’est aussi possible….très peu de différence entre ces implants…


MHL

12/01/2022 à 08h00

Je te remercie pour ton aide !