Cookie Consent byPrivacyPolicies.comidentification - Eugenol

identification

Paul Pitt

07/01/2022 à 16h02

Bonjour
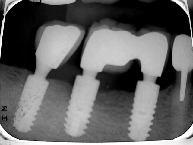
Quel est selon vous la marque de cet implant ?

Jk9tngoh1krqhzwcakme3cz8ma77 - Eugenol

Rape p0as4f - Eugenol
rapelapente

07/01/2022 à 16h11

Ankylos
Les deux anterieurs auraient du être posés en sous-crestal.
Regarde la différence avec le distal.
Cette radio est très démonstrative de l'intérêt de la pose en sous-crestal.
On voit bien l'os qui recouvre la plate-forme sur le distal.
Et la craterisation des autres...

--
Schooner For Ever


Paul Pitt

07/01/2022 à 16h13

Merci . Et ce sont des piliers impactes ou vissés ?


Rape p0as4f - Eugenol
rapelapente

07/01/2022 à 16h28

Ils sont tous vissés chez Ankylos.
Ceux la doivent être des piliers standard non transvissés car non angulés.
Mais bien sûr tu peux transvisser la prothèse dessus.



--
Schooner For Ever


Paul Pitt

10/01/2022 à 13h58

Oui tu as raison probleme d'implantation et peutetre aussi de gestion des tissus mous (cf photo de qualité mediocre desolé ) .
Selon toi pas d'autre solution que la depose ?
Je me posais la question d'une greffe gingivale pour redonner de la gencive attachée et de preparer la partie supra gingivale de l'implant et refaire des couronnes

Wo16icpouyspxrxax3901r5r44eg - Eugenol

Rape p0as4f - Eugenol
rapelapente

10/01/2022 à 18h42

Non si les implants tiennent tu les gardes.
Pourquoi dois-tu déposer la prothèse ?
C'est en bas, le problème esthétique est modéré.
Les trois ont été posés ensemble? On dirait que le distal n'est pas de la même "main".
Ou alors il a appris entre-temps. ;-))
Avec mon labo varois, quand on avait un souci de hauteur coronaire trop importante, il me faisait un collet en céramique rose.
La greffe sur les implants ... t'es joueur ! :-)

--
Schooner For Ever


Paul Pitt

10/01/2022 à 19h20

Il semble que les 3 aient ete posés ensemble
la perte osseuse a t"elle pu se faire apres la pose ?
je voulais ameliorer la situation car doleances du patient sur la difficulté à entretenir cette zone et une infla gingivale permanente


Rape p0as4f - Eugenol
rapelapente

10/01/2022 à 23h18

Le point de contact 46/47 a l'air défaillant ça ne doit pas arranger les choses.
La prothèse est scellée non?


--
Schooner For Ever


Paul Pitt

11/01/2022 à 15h39

oui