Cookie Consent byPrivacyPolicies.comIdentification implant 21 - Eugenol

Identification implant 21

Fullsizeoutput 12cc ecpotu - Eugenol
Gralad

27/01/2022 à 08h51

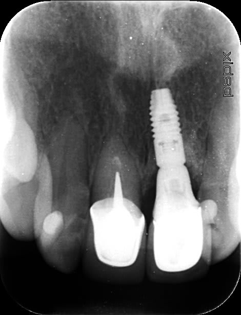
Bonjour à tous,

Une bonne âme pourrait m’identifier cet implant ? On m’a soufflé astra…

Merci d’avance !

6i3szuwnw35cpxnz57embutg8o12 - Eugenol

Photo pluton1b h9n4ea - Eugenol
pluton

27/01/2022 à 11h05

Oui, Astra, certain 100%


Fullsizeoutput 12cc ecpotu - Eugenol
Gralad

27/01/2022 à 11h56

Merci pluton!