Cookie Consent byPrivacyPolicies.comfissure sur 21 - Eugenol
burnax

08/03/2022 à 15h43

Bonjour, je vois une patiente, dans le cadre d'un bilan, de 88 ans en pleine santé une 1ère fois avec une 21, cl2.1, qui présente une fissure.

Je n'ai pas d'éléments sur l'historique et l'évolution.
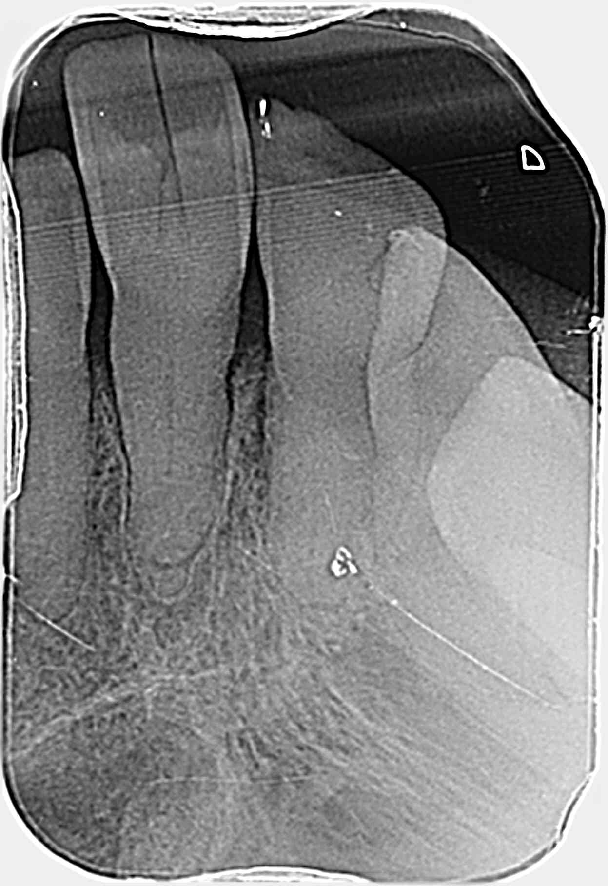
J'ai effectué la radio par curiosité

Dois-je envisager une facette pour maintenir ou limiter l'évolution ou couronner ?

merci

6zoavhbspqg6aed39yfta9mv63kz - Eugenol

Et7jtaj0pdi18gzjlxjiamlx15gs - Eugenol
Prunelles

08/03/2022 à 17h38

Pas le prendre mal, mais elle a 88ans...
Elle a une demande particulière ?


burnax

08/03/2022 à 18h40

88 ans mais elle en fait 30 de moins...
Pas de demande particulière..


Gabzou

08/03/2022 à 22h45

Faudrait voir l'occlusion globale. Si pas de trauma/surcontact occlusal sur cette dent et sans symptômes ni demande esthétique, je n'y toucherai pas.
Si tu penses qu'il y a un risque que la situation s'aggrave, propose de couronner.
C'est la patiente qui voit.


Nouveau image bitmap fz77zh - Eugenol
Sethef

08/03/2022 à 23h32

Je proposerai de coiffer la dent vivante.
Le risque d'échec à l'intervention est minime.
Le risque d'extension du trait de fracture me paraît non négligeable.

Hors question financière, je ne vois pas de bonne raison de m'abstenir.



--
_____________________
Dentiste décroissant.


Vw campersurfvan bmnk1q - Eugenol
enlaye

08/03/2022 à 23h56

Gabzou écrivait:
------
" Faudrait voir l'occlusion globale. "
Si pb il y a il ne date pas d'hier , t as vu comme elle depasse du plan d occlusion ?


Aiguille cyboyt - Eugenol
fatboy

09/03/2022 à 02h13

Je couronne sans aucun doute.
En revanche, jusqu’où remonter le trait de fracture ?
Peut-être passer une fraise fine dans le trait de fracture et combler avec de la résine en mode carglass.


burnax

09/03/2022 à 07h00

L'hygiène est parfaite.
Pas de dents absentes.
Le seul défaut, une classe 2.1, avec contact des mandibulaires à la base radiculaire des centrales, des racines lustrées par des facettes légères d usure des incisives mandibulaires, donc perte osseuse en palatin avec un niveau normal en vestibulaire.
Une facette creusée d usure sur la 21.

A priori, pas de parafonctions..