Cookie Consent byPrivacyPolicies.comCAT avant Xgeva - Eugenol

CAT avant Xgeva

Bracket ezlegq - Eugenol
Dr. Greenthumb

10/03/2022 à 11h35

Bonjour

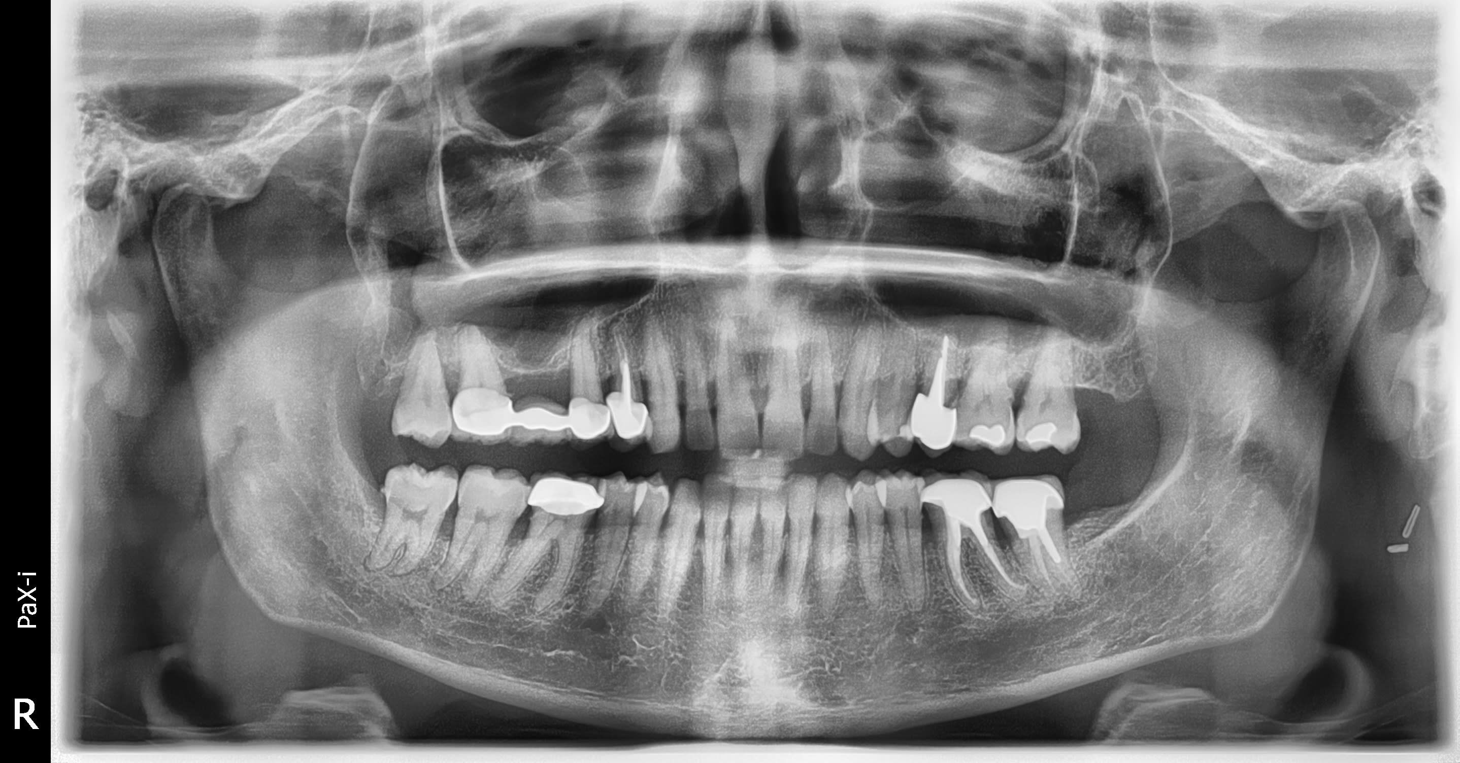
J'ai reçu une amie ce matin qui doit voir son oncologue lundi.
Métastase sur la colonne, sous chimio elle aura probablement des injections d'Xgeva.
Les 17 15 48 et 46 sont vitales
14 25 37 36 asymptomatiques
Petites réactions péri-apicales sur 14 et 25
Je n'ai pas d'intra-buccales car je fais de l'ortho...

Selon vous on conserve tout (selon moi oui) ?
Je fais faire un cône beam ?

Merci d'avance.

Lxb4p7l3y8d2m6f074r9q0t72ks2 - Eugenol

Photo pluton1b h9n4ea - Eugenol
pluton

10/03/2022 à 11h42

avant un conebeam...une pano?


Bracket ezlegq - Eugenol
Dr. Greenthumb

10/03/2022 à 11h46

Désolé j'avais oublié la pano.

Les couronnes donc les endo ont +- 20 ans


azerty

10/03/2022 à 12h27

Je ne touche à rien. Si tu touche cela peut déséquilibrer un état déjà très fragile


vernal

10/03/2022 à 12h33

Pour moi, lui laisser affronter la chimio avec toutes ses dents, c'est mieux !
A la pano, rien de scandaleux ! Peut-être, un détartrage.

Mauvaise expérience sur un patient à qui j'ai enlevé il y a 4 mois toutes ses 6 qui présentaient des petits granulomes. Cela a participé avec la chimio à son manque d'appétit. Il a perdu 30 kg et aborde depuis hier les soins palliatifs.


Ylfwcw979cz1jnx9gfqeaxndiuzk - Eugenol
Algi

10/03/2022 à 13h26

Prépare le terrain au niveau gencives, détartrage et surtout s.assurer que le brossage est efficace.
Possible souci 46 au niveau joint coiffe dent en distal


--

On a toujours le choix mais entre quoi et quoi?
Vas-y boulégue et l'avenir te le dira!


Bracket ezlegq - Eugenol
Dr. Greenthumb

10/03/2022 à 13h34

Merci beaucoup


dédé06

24/03/2022 à 18h09

le Xgeva n'est pas un biphosphonate et permet d'intervenir chaque 6 mois..................