Cookie Consent byPrivacyPolicies.comPremier contact avec le centre Dentego qui s'est ouvert dans - Eugenol

Premier contact avec le centre Dentego qui s'est ouvert dans mon coin...

Divers 30 vakafn - Eugenol
Ch'Bill

16/03/2022 à 10h20

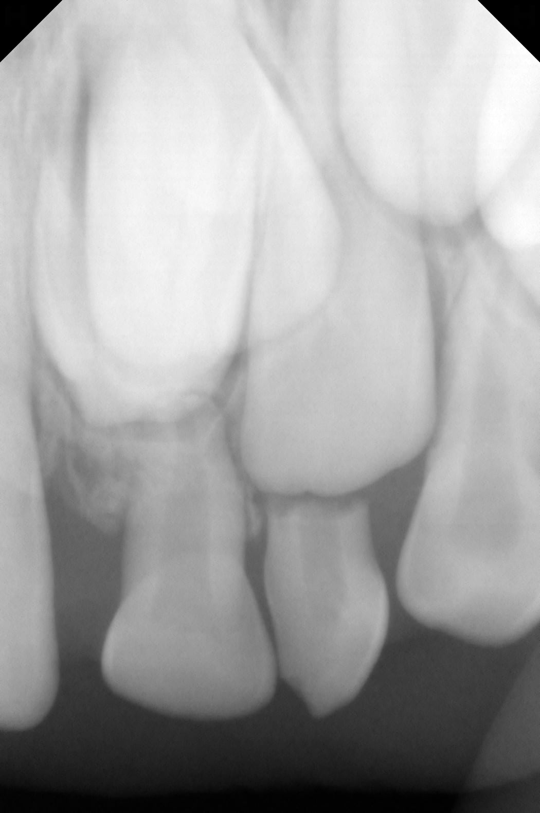
Voici quelques semaines, je vois un gamin de 9 ans pour un BBD.

21 et 22 n'ayant pas évolué, je prends un cliché qui me montre ce que je pense être un mesiodens accolé à la 21.
Je l'envoie donc chez ma sto et mon ortho préférées pour gérer tout ça.

Lundi matin, il arrive au cabinet avec un courrier d'une consœur que je ne connais pas :
"Cher Confrère,
Je vous adresse -------------, âgé de 9 ans, afin de procéder à l'avulsion de 61.
Suspicion d'agénésie de 22.
On attend 6 mois de voir 21 et 23 descendent correctement, sinon, appareillage à envisager."

Apeuré par les délais chez mes correspondantes (toutes deux très compétentes, je tiens à le préciser), le père a en fait atterri chez Dentego, qui vient d'ouvrir un centre à 20 bornes de chez moi.

La consœur en question n'est apparemment pas spécialisée en ODF, puisque l'intitulé de son courrier ne le mentionne pas.

Ce courrier appelle donc 2 questions de ma part :
- premièrement, si, comme je le pense, elle est omnipraticienne, pourquoi dans ce cas me renvoie-t-elle le patient pour une simple extraction de 61, acte qui, à priori, fait partie de ses compétences?
- ensuite, en tant qu'omnipraticienne, en quoi se permet-elle d'émettre un diagnostic ortho aussi délirant (elle n'a ni vu le mesiodens, ni la 22 qui, comme vous pouvez le constater, est bel et bien présente)?

Bien entendu, toute ressemblance avec des centres Dentego déjà existants, est purement fortuite....

Ça fout quand même les boules, non?

Ygqbg34xruuj6xmzqbivqyunyasq - Eugenol
Yzmx3b0t922b0rm6v17l4jw1y7md - Eugenol

Photo pluton1b h9n4ea - Eugenol
pluton

16/03/2022 à 10h32

la chir c'est pas rentable.....;-))))
moi aussi j'ai eu des demandes pour faire des extractions avant pose d'implants dans leurs centres (peu importe, dentégo ou similaire ou mutualiste c'est pareil)....
j'ai vu les patients en consult....me suis étonné auprès d'eux qu'un chirurgien pratiquant l'implantologie ne sache pas gérer les extractions....
du coup ils ont rappelé après pour que je gère tout....même les implants....;-))))


Screenshot 20190204 160354 2 ookelm - Eugenol
Arsénieux

16/03/2022 à 10h35

Denteo proche frontière Suisse, ils viennent de s'installer et ont du mal à recruter "dentistes" et assistantes.
Cabinets dans une grande surface 😐


bouboule

16/03/2022 à 13h20

Moi j’en ai deux à côté de chez moi… jamais eu autant de cas complets ou quasi complets d’implanto depuis bientôt 20 ans que je suis là… hasard ou coïncidence …


Squirell g6yuwa - Eugenol
La_noisette

17/03/2022 à 15h37

J'ai l'équivalent de dentego chez moi.
Premier rdv pano :
- rentable : on traite
- pas rentable : "chez docteur je vous adresse .... [insérer un acte bidon à faire à partir de la pano] "


king_zoulou

17/03/2022 à 15h47

En parlant de gosses et de centres, j'ai vu une petite de six ans hier, polycarie, parfaitement soignable, avec un joli courrier d'un confrère bossant dans un centre.
Le courrier stipulait "après de multiples tentatives, je n'ai pas réussi à la soigner".
Je me dis, bon, d'accord, on essaie, on réussit pas, on adresse, okay.

Je demande à la mère de m'expliquer ce qui avait été fait à sa petite dans le centre en question.
Elle me répond, je cite, "ils l'ont vu une fois cinq minutes en urgence entre deux patients et lui ont prescrit des antibiotiques puis m'ont donné ce courrier" (pour leur défense, il y avait effectivement eu un abcès sur la 75 qui était hier à l'état de racine)

Ah, d'accord, mais qui croire, mon coeur balance.


Ylfwcw979cz1jnx9gfqeaxndiuzk - Eugenol
Algi

17/03/2022 à 17h20

Conseille lui de porter plainte auprès de l'ordre en leur racontant ce qui t'a été dit.


--

On a toujours le choix mais entre quoi et quoi?
Vas-y boulégue et l'avenir te le dira!


king_zoulou

18/03/2022 à 07h56

Je m’étais fait cette réflexion en lisant le numéro de la lettre de l’ordre qui expliquait qu’on n’a pas le droit de ne pas soigner les enfants.
Mais si je commence à dire à tous les parents qui font 100km pour venir chez moi parce qu’aucun dentiste chez eux ne prend les enfants d’aller se plaindre à l’ordre… l’ordre va me tomber dessus.
Du coup, je soigne et je me tais.


axislol

22/04/2022 à 19h33

Concernant la praticienne non spé :
même sans la spé, elle n'a pas forcément la couverture RCP pour ces actes, un exclusif ODF est déclaré comme tel au conseil de l'ordre et à l'assurance. Donc pas d'avulsion (ce qui vous embête) mais pas de prothèse non plus (vous embête un peu moins)


Je suis très étonné (ou pas) que ne voir nulle part dans les commentaires l'hypothèse de discuter du cas avec le confrère

Bravo au confrère qui suggère de porter plainte à l'ordre.... une réflexion qui t'honore.


azerty

22/04/2022 à 21h02

axislol écrivait:
-------
> Concernant la praticienne non spé :
> même sans la spé, elle n'a pas forcément la couverture RCP pour ces actes, un
> exclusif ODF est déclaré comme tel au conseil de l'ordre et à l'assurance. Donc
> pas d'avulsion (ce qui vous embête) mais pas de prothèse non plus (vous embête
> un peu moins)
>
>
> Je suis très étonné (ou pas) que ne voir nulle part dans les commentaires
> l'hypothèse de discuter du cas avec le confrère
>
> Bravo au confrère qui suggère de porter plainte à l'ordre.... une réflexion qui
> t'honore.

On me la refait?
Je suis un peu con con mais il y a des limites….
Pas de rcp pour soigner les gosses même quand ont fait que de l’ odf en non spécialiste, faut peut être pas trop nous prendre pour des abrutîts non plus…elle a sa rcp et elle a le droit de la faire.et elle peut faire de la prothèse.
Un odf exclusif a l obligation de mettre la spécialité sur ses courriers


Wadi

22/04/2022 à 22h18

axislol écrivait:
-------
> Concernant la praticienne non spé :
> même sans la spé, elle n'a pas forcément la couverture RCP pour ces actes, un
> exclusif ODF est déclaré comme tel au conseil de l'ordre et à l'assurance. Donc
> pas d'avulsion (ce qui vous embête) mais pas de prothèse non plus (vous embête
> un peu moins)

Le fameux "ODF-exclusif" qui ne sait pas lire une rétro-alvéolaire ... La fameuse RCP qui ne couvre pas les avulsions de dents temporaires ... Le fameux conseil de l'ordre qui interdit aux ODF de tenir un davier ...

> Je suis très étonné (ou pas) que ne voir nulle part dans les commentaires
> l'hypothèse de discuter du cas avec le confrère

Discuter avec le confrère de l'achat d'un davier pédiatrique et d'une formation en lecture de rétro-alvéolaire ?

> Bravo au confrère qui suggère de porter plainte à l'ordre.... une réflexion qui
> t'honore.

Cette après-midi, une gamine polycariée de treize ans (sage comme une image ; elle a pris elle-même rendez-vous par courriel étant donné que ses parents ne parlent pas bien français) adressée par une consœur exerçant dans un centre mutualiste au CHU situé à 100 km de chez elle. Mais tout va bien. Il n'y a pas de problèmes.


Ylfwcw979cz1jnx9gfqeaxndiuzk - Eugenol
Algi

22/04/2022 à 22h20

@ axislol
> Bravo au confrère qui suggère de porter plainte à l'ordre.... une réflexion qui
> t'honore.

Je répondais à King zoulou dont la petite patiente avait besoin de soins non réalisés et adressée ailleurs...
Soit la mère ment soit le praticien du centre ment...
Donc conseiller à la mère de signaler à l'ordre, dont c'est le rôle, je n'y vois rien de choquant.

--

On a toujours le choix mais entre quoi et quoi?
Vas-y boulégue et l'avenir te le dira!


Ylfwcw979cz1jnx9gfqeaxndiuzk - Eugenol
Algi

22/04/2022 à 22h25

Édit.



--

On a toujours le choix mais entre quoi et quoi?
Vas-y boulégue et l'avenir te le dira!


Ylfwcw979cz1jnx9gfqeaxndiuzk - Eugenol
Algi

22/04/2022 à 22h27

Quand à la demande initiale de ch'bill force est de reconnaître que le cas est troublant...

Appeler la consœur ? Pourquoi pas... dire au patient d'aller prendre un avis ailleurs peut être aussi une bonne idée et ainsi rien ne peut lui être reproché. .... surtout si il adresse chez un confrère dont il connaît les compétences et en qui il a confiance .



--

On a toujours le choix mais entre quoi et quoi?
Vas-y boulégue et l'avenir te le dira!


120 81 mdkvjo - Eugenol
Monaco

23/04/2022 à 07h04

Bon l'histoire de l'exclu odf qui n'est pas spé et ne fait pas les actes autres que l'odf ... (ni soins/ avulsions/prothèses ...)
Et ben :
-C'est légal.
-C'est absolument clair vis à vis de l'ordre, qui peut demander un exercice limité à ce type d'actes.
-peut etre la praticienne ne sait plus faire ..
-Peut etre n'a t' elle pas le matos pour (mon cas mais je ne suis pas dans un centre)..
-Et non, justement elle n'a pas le droit ni de le marquer sur sa plaque, ni sur ses intitulés qu'elle est exclusive en odf par exemple.. l'ordre l'interdit formellement.

Bref...
Pour que ce qui est de ne pas avoir vu la 22 .. ok je te l'accorde c'est moyen, c'est une erreur diagnostic.. On dira que ça arrive hein, surtout si elle débute .. Il n'y a pas de préjudice direct pour le gamin. C'est pas comme si elle avait avulsé la mauvaise dent..

Et pour ceux qui proposent de porter plainte ... heu .. au secours !!!

J'ajoute que ce n'est pas un débat pour / contre les centres, je m'interesse à la consoeur là en l'occurrence.


atrax

23/04/2022 à 08h16

Je pense qu'on melange un peu les problématiques sur ce sujet. Ca devient un débat sur la possibilité des exclusifs ortho à réaliser leur extraction ou non.
Moi ce qui me gêne c'est que les centres prennent des individus ayant fait des formations ortho plus que légères, que ces mêmes personnes vont se faire la main dans les centres et partent après avoir fait 3 semestres de traitements, et que dans ce genre d'histoire le seul perdant c'est le patient.


Nano phv5c5 - Eugenol
NANO

23/04/2022 à 16h13

Ils n’arrivent pas à recruter, ces centres, entre les courriers ARS que reçoivent ensuite les patients pour se faire dépister VIH & Hépatite ( Dijon)
Plus ces centres ouvriront et plus les cabinets libéraux auront du travail.

Bref continuez à ouvrir ces centres foireux et mieux les libéraux se porteront

Pour deux raisons :

1 reprises de traitement foireux fait par un salarié
2 ils embauchent des salariés moins efficients, donc moins d’offre de soin.


Ylfwcw979cz1jnx9gfqeaxndiuzk - Eugenol
Algi

23/04/2022 à 19h04

Monaco écrivait:
------

>
> Et pour ceux qui proposent de porter plainte ... heu .. au secours !!!
>

Mais faut arrêter de me traiter de salaud alors que juste je dis que selon les dires de la mère de la petite patiente il y a matière à lui conseiller de signaler cette attitude à l'ordre...

Ces centres sont pour beaucoup des usines à fric et à mutilation et il faudrait fermer nos gueules quand on constate un possible abus?????

--

On a toujours le choix mais entre quoi et quoi?
Vas-y boulégue et l'avenir te le dira!


axislol

23/04/2022 à 22h49

atrax écrivait:
-----
> Je pense qu'on melange un peu les problématiques sur ce sujet. Ca devient un
> débat sur la possibilité des exclusifs ortho à réaliser leur extraction ou non.
> Moi ce qui me gêne c'est que les centres prennent des individus ayant fait des
> formations ortho plus que légères, que ces mêmes personnes vont se faire la main
> dans les centres et partent après avoir fait 3 semestres de traitements, et que
> dans ce genre d'histoire le seul perdant c'est le patient.

Connaissez-vous le parcours/formation ODF du confrère ?
Sur la base de quoi jugez vous un parcours ODF correct ? Un parcours incorrect ? Quels sont les arguments vis à vis de la qualité de soins proposé au patient ?


"Ces centres sont des usines à fric"
Donc on attaque le confère ? Pas capable de lutter directement avec le centre et les lois? On tacle un confrère qui exerce une spécialité dont vous ne maitrisez même pas les codes déontologique ? (RCP, "obligation" de marquer exclusif sur la plaque, etc....)

Cette profession est perdue.


Ylfwcw979cz1jnx9gfqeaxndiuzk - Eugenol
Algi

24/04/2022 à 00h14

Mais sans déc' je parle pas de l'ortho .
T'es bouché ou quoi?

Et sinon désolé mais les derives des centres sont certes le fait de leur fonctionnement mais in fine QUI fait les merdes que tout le monde connait ?

Facile de dire qu'on est pas responsable... "j'obeissais aux ordres"... ça a déjà été tenté en 1945 46 cette ligne de défense .

Sur ce bonne nuit.


--

On a toujours le choix mais entre quoi et quoi?
Vas-y boulégue et l'avenir te le dira!


atrax

24/04/2022 à 07h15

axislol, je suis d'accord quand on lit des commentaires aussi bas de plafond comme le tiens, cette profession est perdue.
La praticienne dont on parle réfère pour une extraction d'une temporaire après une ébauche de diagnostic et proposition de plan de traitement (elle parle d'appareillage). Quelle formation de qualité penses tu qu'elle ait suivi pour ne pas même savoir lire une pano?
J'ai travaillé en centre, et "l'orthodontiste" du cabinet avait suivi une formation Invisalign. Donc je sais comment certains centres procèdent.
Je me demande comment tu peux dire des bêtises pareil, toi aussi tu as appris l'ortho en deux jours et te prépares à te faire la main dans le centre le plus proche de chez toi?


axislol

24/04/2022 à 10h11

Atrax, certes tu es aussi insultant que les autres, mais tu ne réponds en aucun cas à mes question. Je réitères : votre con-fraternité est affligeante.

Joindre à une demande d'extraction, un dossier ODF complet avec examen clinique/ diag / plan de ttt n'est non seulement pas coutume, mais également rarement lu, et enfin un omni n'a pas les outils pour juger de la qualité de ses informations.

Je parle des confrères, je ne parle pas des centres. Quand on reçoit un patient adressé d'un confrère (et à fortiori si l'on est pas d'accord), la NORME, c'est de contacter le confrère et d'échanger. Pas de se confondre dans sa médiocrité, à se croire plus orthodontiste que l'ortho, à se croire tout sachant sans jamais faire des erreurs quand on pense en voir une chez l'autre.

Une fois les échanges fait, il y aura déjà plus matière à en tirer des conclusions (je répète tout de même, un omni n'est pas ortho et ne devrait pas avoir la prétention de donner des leçons)



Algi :
Ton argumentation est aussi vide que tes connaissances. Les centres sont partiellement responsable en civil (le praticien l'est aussi), et concernant le déontologique et le pénal, c'est le praticien qui est exclusivement responsable. Le praticien se cachant derrière le centre est une chimère.
Devant l'absence de réponse pertinente, là encore je réitère : on échange avec le confrère, ensuite on conclue. Pas l'inverse.

Tout donneur de leçon que vous êtes, il y a un code de déontologie, qui au demeurant fait loi. C'est probablement désagréable à vous lire, mais c'est ainsi.


Sur ce, bonne continuation


atrax

24/04/2022 à 10h42

axislol écrivait:
-------
> Atrax, certes tu es aussi insultant que les autres, mais tu ne réponds en aucun
> cas à mes question. Je réitères : votre con-fraternité est affligeante.
>
> Joindre à une demande d'extraction, un dossier ODF complet avec examen clinique/
> diag / plan de ttt n'est non seulement pas coutume, mais également rarement lu,
> et enfin un omni n'a pas les outils pour juger de la qualité de ses
> informations.
>
> Je parle des confrères, je ne parle pas des centres. Quand on reçoit un patient
> adressé d'un confrère (et à fortiori si l'on est pas d'accord), la NORME, c'est
> de contacter le confrère et d'échanger. Pas de se confondre dans sa médiocrité,
> à se croire plus orthodontiste que l'ortho, à se croire tout sachant sans jamais
> faire des erreurs quand on pense en voir une chez l'autre.
>
> Une fois les échanges fait, il y aura déjà plus matière à en tirer des
> conclusions (je répète tout de même, un omni n'est pas ortho et ne devrait pas
> avoir la prétention de donner des leçons)

Il me semble que tu ne saisi pas la situation. Cette praticienne n'a pas été capable de lire une radio dentaire digne d'un étudiant de fin de deuxième année. Je reste factuel, le praticien qui ne sait pas poser un diagnostic que tout étudiant dentaire en fin de premier cycle serait capable de faire ne mérite même pas le temps passé pour en discuter.
Par ailleurs, tu as une bien mauvaise image des omnipraticiens qui sont capables pour la plupart de comprendre un minimum l'orthodontie et dans la majorité des cas de comprendre les explications cliniques qui mènent à un traitement spécifique.
Tu es exclusif, specialiste? Quelle est ta formation?


Ylfwcw979cz1jnx9gfqeaxndiuzk - Eugenol
Algi

24/04/2022 à 11h44

axislol écrivait:
-------
> Algi :
> Ton argumentation est aussi vide que tes connaissances. Les centres sont
> partiellement responsable en civil (le praticien l'est aussi), et concernant le
> déontologique et le pénal, c'est le praticien qui est exclusivement responsable.
> Le praticien se cachant derrière le centre est une chimère.


Ah ouais ? Et les centres fermés pour "raison administrative" parceque on ne veut pas dire la vérité sur leurs pratiques criminelles?

Quelles condamnations pour les praticiens de dentexia ? Des peines sans aucun rapport avec la gravité des faits avérés...

Donc merci pour tes conseils confraternité mais je ne considère pas les praticiens complices comme des confrères et sinon t'as raison continuons l'omerta et soyons main dans la main avec eux.


--

On a toujours le choix mais entre quoi et quoi?
Vas-y boulégue et l'avenir te le dira!


axislol

24/04/2022 à 11h45

atrax écrivait:
-----
> axislol écrivait:
> -------
> > Atrax, certes tu es aussi insultant que les autres, mais tu ne réponds en
> aucun
> > cas à mes question. Je réitères : votre con-fraternité est affligeante.
> >
> > Joindre à une demande d'extraction, un dossier ODF complet avec examen
> clinique/
> > diag / plan de ttt n'est non seulement pas coutume, mais également rarement
> lu,
> > et enfin un omni n'a pas les outils pour juger de la qualité de ses
> > informations.
> >
> > Je parle des confrères, je ne parle pas des centres. Quand on reçoit un
> patient
> > adressé d'un confrère (et à fortiori si l'on est pas d'accord), la NORME,
> c'est
> > de contacter le confrère et d'échanger. Pas de se confondre dans sa
> médiocrité,
> > à se croire plus orthodontiste que l'ortho, à se croire tout sachant sans
> jamais
> > faire des erreurs quand on pense en voir une chez l'autre.
> >
> > Une fois les échanges fait, il y aura déjà plus matière à en tirer des
> > conclusions (je répète tout de même, un omni n'est pas ortho et ne devrait pas
> > avoir la prétention de donner des leçons)
>
> Il me semble que tu ne saisi pas la situation. Cette praticienne n'a pas été
> capable de lire une radio dentaire digne d'un étudiant de fin de deuxième année.
> Je reste factuel, le praticien qui ne sait pas poser un diagnostic que tout
> étudiant dentaire en fin de premier cycle serait capable de faire ne mérite même
> pas le temps passé pour en discuter.
> Par ailleurs, tu as une bien mauvaise image des omnipraticiens qui sont capables
> pour la plupart de comprendre un minimum l'orthodontie et dans la majorité des
> cas de comprendre les explications cliniques qui mènent à un traitement
> spécifique.
> Tu es exclusif, specialiste? Quelle est ta formation?


J'ai fais de l'omnipratique et je suis maintenant odf exclusif
ma formation ? j'ai 6 C.E.S, une formation privée d'un an en implanto, une formation privée de 3 ans en ODF, un D.U. d'ODF, un D.U. d'apnée du sommeil, un D.U. d'expertise judiciaire, des formations multiples en gouttières transparentes.
Tu comptais prouver par A+B que j'ai moi aussi un parcours médiocre ? Souhaites tu comparer ton parcours au mien?
Quel est l'intérêt de le savoir ?
Mon C.V. ne remet pas en cause ce que je dis. Il ne s'agit pas d'une image mauvaise DES omnipraticiens, juste de ceux qui déversent leur propos colérique et profondément anticonfraternel sur ce forum.


12