Cookie Consent byPrivacyPolicies.comDouleurs sur 26, 5 semaines après TR - Eugenol

Douleurs sur 26, 5 semaines après TR

Hierzfr

30/03/2022 à 12h30

Bonjour à tous,

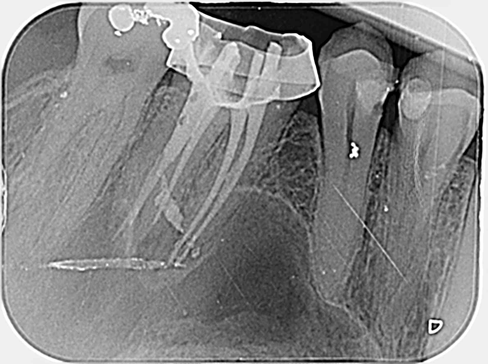
Je souhaiterais avoir votre avis concernant un patient de 40ans qui revient au cabinet 5 semaines après avoir dévitalisé sa 26 avec des douleurs qui s'accentuent depuis quelques jours.

A l'examen, rien de particulier à signaler. La dent est sensible à la percussion axiale et transversale.

J'ai refais une retroalveolaire et je trouve que ce n'est pas très nette au niveau de l'apex de la racine MV.

Qu'en pensez vous ?

Oji4fgcy7tqhw7vg3onx0gbai8fk - Eugenol

wind57

30/03/2022 à 12h56

si c'etait le leger depassement sur la racine MV il aurait eu mal au bout de 3 jours .Il faudrait plutot penser a 1 MV2(deuxieme canal dans la racine MV)


Hierzfr

30/03/2022 à 13h00

J'ai cherché mais je n'en ai pas trouvé. Peut-être une bifurcation apicale ?

J'hésite à envoyer chez un endodontiste. C'est peut-être encore un peu tôt pour juger de la persistance des douleurs...


Nouveau image bitmap fz77zh - Eugenol
Sethef

30/03/2022 à 13h55

4 éléments:
-la présence d'un MV2 est la norme, pas l'exception
-la probabilité d'un apex commun avec le MV1 est importante (la majorité?)
-l'apparition d'une lésion apicale sur un traitement défectueux, sur une dent initialement vivante, c'est plutôt quelques années après.
-au vu du contexte temporel, une banale sinusite d'origine virale est tout à fait crédible voire probable.


6szjws718sv1jksw54v4mpj3a6cu - Eugenol
vulpi

30/03/2022 à 14h01

Après TR? Ils y ont pas été de main morte !


mla3

30/03/2022 à 14h08

hypothèse complementaire : une fêlure passée inaperçue qui aurait progressé avec la perte de masse dentinaire liée à l'ouverture pulpaire.
Pour la sinusite : douleur a la pression sur la pommette, sensation de pesanteur quand on penche la tête vers les genoux , ecoulement nasal...
premier reflexe : mettre en sous occlusion franche si ce n'est déja fait.


Nouveau image bitmap fz77zh - Eugenol
Sethef

30/03/2022 à 14h32

Felure ça peut toujours, mais ça ne fait pas vraiment mal sur dent dévitalisée; et elle n'était pas porteuse d'un tenon précédemment. Alors on sait que ça existe, mais j'y crois moins.


Nouveau image bitmap fz77zh - Eugenol
Sethef

30/03/2022 à 14h40

OK pour la sous occ, systématique si perte d'une paroi après TR.


Avatar transparent iqadnc - Eugenol
adhoc

30/03/2022 à 16h51

Et toujours les jetons de perforer meme en y allant mollo a la recherche de ce foutu MV2 (ou parfois MV1!). Bon courage. Il faudrait pendre haut et court l'entité qui a créé ces dents humaines mal foutues :-)


vernal

30/03/2022 à 17h29

Et puis cette idée de faire les dents compliqués au fond de la bouche ! Sérieusement !!
D'aucuns diront que nous avons été fait à son image... avec des mv2 inconstants même chez les BAFP ou les athlètes à tablettes de chocolat (ne dégenrons pas !)


Hok 1b hgd3rj - Eugenol
Hokusai

30/03/2022 à 18h21

Peut être est ce causé par les 5 semaines d obturation provisoire débordante...


Nouveau image bitmap fz77zh - Eugenol
Sethef

30/03/2022 à 18h26

Tu rigoles? Ils peuvent rester 10 ans avec un pâté comak qui déborde d'1 cm, jamais ils s'en plaindront.


Nouveau image bitmap fz77zh - Eugenol
Sethef

30/03/2022 à 18h28

Sethef écrivait:
------

> -la probabilité d'un apex commun avec le MV1 est importante (la majorité?)


Tiens, je reviens la-dessus, c'est quoi les stats actuellement?


D771nu9wlsodivbzuvi1onniqgu4 - Eugenol
Duke The Root

30/03/2022 à 23h57

97% de présence du Mb2 sur les 6 maxillaire et une confluence observé sur 60% des cas.
Apres en effet il ya des bifurcations apicale, des mB3...
Tout un tas de variations sympa


Et7jtaj0pdi18gzjlxjiamlx15gs - Eugenol
Prunelles

31/03/2022 à 08h05

A propos de MV2. C’est quoi votre outil/lime de choix pour les perméabiliser ?


Nouveau image bitmap fz77zh - Eugenol
Sethef

31/03/2022 à 10h10

Sx ou S1

R25 pour la préparation.


Nouveau image bitmap fz77zh - Eugenol
Sethef

31/03/2022 à 10h17

Pour les 60% de confluence, qui recoupent assez mon impression générale, j'ai très souvent l'impression de plusieurs canaux alignés, en lame de couteau, qui une fois alésés n'en forment plus qu'un. Je rate quelque chose?


Duke The Root écrivait:
-------------
> 97% de présence du Mb2 sur les 6 maxillaire et une confluence observé sur 60%
> des cas.
> Apres en effet il ya des bifurcations apicale, des mB3...
> Tout un tas de variations sympa


Ylfwcw979cz1jnx9gfqeaxndiuzk - Eugenol
Algi

31/03/2022 à 10h35

Réactivation de douleurs 5 semaines après l'endo c'est clairement infectieux ou en tout cas le plus probable, desmodontite suite au dépassement ou réactive à l'irrigation ou une intolérance au matériau mis dans les canaux , voire à une réaction inflammatoire d'une lesion chronique qui a été "réveillée" par le traitement c'est en général dans les heures où le jours qui suivent..

Du coup perso je desobturerais, desinfecterais soigneusement et referais l'endo quitte à temporiser avant de refermer.


--

On a toujours le choix mais entre quoi et quoi?
Vas-y boulégue et l'avenir te le dira!


burnax

31/03/2022 à 10h40

mv2 avec les pathfiles violet


Hierzfr

31/03/2022 à 11h37

Dans cette éventualité une mise en sous occlusion et une prescription clamoxyl 2g/j pd 6jr peuvent-elles être indiquées le temps de reprendre le tr ?


mla3

31/03/2022 à 13h15

-reprendre ne récuperera pas le dépassement,
-Déposer toute l'obturation provisoire pour éliminer toute hypothèse de fissure
- verifier si la pression digitale en V à hauteur de l'apex est douloureuse , s'il y a voussure, voire mini collection.
- échec pour trouver le MV2, étiologie la plus probable de la douleur.... pourquoi pas un CBCT pour valider la presence et la morphologie du MV2 (voire d'un MV3), la presence ou pas d'une lésion apicale (en supposant qu'il ait un plafond osseux et non pas juste la membrane coiffant l'apex).la presence ou pas d'une fenestration de la paroi alvéolaire en V à hauteur de la zone apicale (irritation par le dépassement)
Partir à l'aventure risque d'aggraver les choses ou de conduire à un second échec.


burnax

31/03/2022 à 13h28

le nombre de fois où le CBCT nous montre des lésion interradiculaires non visibles sur les rétros ...
Ci-joint sur une reprise de traitement, où le cone Beam révélait une fenêtre vestibulaire et un plancher absent, et un mv2 absent.

Pf7xhi5lnswgu3gnml2k1rdvbw4l - Eugenol
7t1hhxx4tftq1gm5b89o5mi0myyx - Eugenol

D771nu9wlsodivbzuvi1onniqgu4 - Eugenol
Duke The Root

31/03/2022 à 15h44

@ sethef: En effet très souvent la racine Mesiale présente un canal principal (MV1) et un isthme qui court le long de la jonction mur/plancher.
Cet isthme peut contenir 1 canal supplémentaire ( MV2) ou plusieurs...
Si ton second canal mésial est assez proche du MV1 en général en effet une fois élargi cela peut n'en former qu'un.
Mais s'ils sont très proches, la probabilité d'en trouver d'autres est plus importante également.

Pour aléser un MV2 c'est le même principe qu'un autre canal, a la différence que plus le MV2 sera loin du MV1 plus l'entrée risque d'être angulé et moins un instrument type SX ou S1 n'engagera dedans.
Qui plus est le diamètre d'un mV2 ne permet que très rarement de passer directement un instrument en 20 25 de diamètre.


Nouveau image bitmap fz77zh - Eugenol
Sethef

31/03/2022 à 19h51


Retraitement de 17 et 16 en 2 temps.

La 17 retraitée en janvier présentait un canal MV en lame de couteau, comme décrit plus haut. La radio n'était pas si affolante que ça quant à la qualité du précédent traitement, et pourtant j'ai sorti des kilos de merde du canal.
La 16 présentait un MV2 distinct, non traité, mais qui ne semblait pas "visuellement" infecté.

La patiente a fait un covid il y a 10 jours, et me décrit au téléphone une récidive de l'infection de 17.
Elle se sent gonflée dans la zone, peut-être faudra-t-il extraire.

Des fois, même quand le traitement semble propre, ça veut pas.

6165n7hiiv8hiea3vmgk84er99dz - Eugenol

Nouveau image bitmap fz77zh - Eugenol
Sethef

11/04/2022 à 09h13

Echec de cicatrisation sur une endo "semblant" parfaitement réalisée.

F6s60d014of2fs6kesriu37cscfc - Eugenol

12