Cookie Consent byPrivacyPolicies.commais qui a fait ça?!! - Eugenol

mais qui a fait ça?!!

DocL

31/03/2022 à 11h26

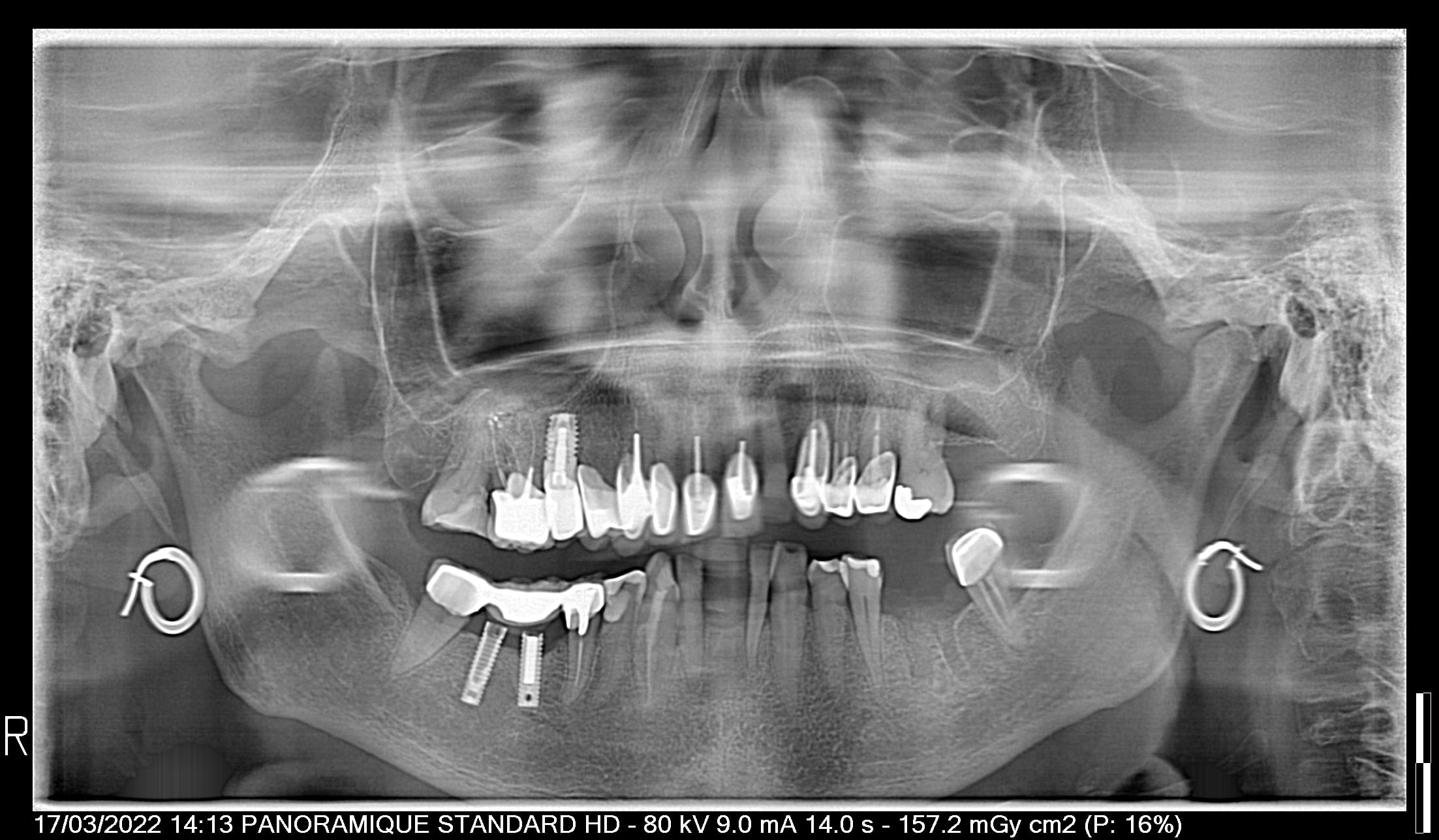
Bonjour
qui peut me dire la marque de ces implants foireux??
Pluton HELP!!!
merci

7w09h1towhuslcpor7grm2mxsfyq - Eugenol
Arqisve365sqsnygej3ryckjm2a3 - Eugenol

Images oecc9d ijdijh - Eugenol
Akrobat

31/03/2022 à 11h35

y a du ciment de scellement dans les pas de vis, tu pourras jamais retravailler dessus. Non?

Et moi qui dort pas quand les limites sont pas nickels...
--
Tacheron


Ylfwcw979cz1jnx9gfqeaxndiuzk - Eugenol
Algi

31/03/2022 à 11h42

Inlay core sur implants.... concept intéressant 😄


--

On a toujours le choix mais entre quoi et quoi?
Vas-y boulégue et l'avenir te le dira!


moritooth

31/03/2022 à 11h50

J'aime bien les deux implants non connectés sous l'inter de bridge dentoporté...

C'est du grand Mendès !!


DocL

31/03/2022 à 11h59

bon mais ça me dit pas c'est quoi la marque de l'implant (vous aurez noté la fracture du col sur l'implant sur larétroalvéolaire!!) c'est la mère et la fille charcutées par le même dentiste..


Rape p0as4f - Eugenol
rapelapente

31/03/2022 à 12h11

Algi écrivait:
----
> Inlay core sur implants.... concept intéressant 😄
>
Il y en a parmi nous qui sont créatifs !!!
Mais ça doit tenir en plus ! Un moment, jusqu'à ce que le col de l'implant casse quand le tenon se plie ...
Ah ! Ah!
>
> On a toujours le choix mais entre quoi et quoi?
> Vas-y boulégue et l'avenir te le dira!


--
Schooner For Ever


Rape p0as4f - Eugenol
rapelapente

31/03/2022 à 12h19

Akrobat écrivait:
-------
> y a du ciment de scellement dans les pas de vis, tu pourras jamais retravailler
> dessus. Non?
>
> Et moi qui dort pas quand les limites sont pas nickels...
> --
> Tacheron

Le ciment importe peu.
Il a du aléser dedans pour faire rentrer ses tenons.
La marque importe peu, il faut tout enlever.

--
Schooner For Ever


Vw campersurfvan bmnk1q - Eugenol
enlaye

31/03/2022 à 12h48

3 implants d un coté , 2 de l autre ? oulà Maurice , les glaçons c est bien mais mets un peu d eau , quand même , tu vois pas que ça porte aux yeux ??


Jf35

31/03/2022 à 13h32

Le 1er avril c’est demain non?


Photo pluton1b h9n4ea - Eugenol
pluton

31/03/2022 à 15h36

de grandes chances que çà soit du sterioss

https://www.spotimplant.com/fr/implants-dentaire/steri-oss/steri-oss-original-non-hex

et vu l'état...., c'est trèpan => poubelle d'autant que tu peux toujours te gratter pour avoir des pèces prothétiques....


Ylfwcw979cz1jnx9gfqeaxndiuzk - Eugenol
Algi

31/03/2022 à 15h59

Mefi les noms des patientes et du praticien apparaissent quand on ouvre les images.


--

On a toujours le choix mais entre quoi et quoi?
Vas-y boulégue et l'avenir te le dira!


ceel

31/03/2022 à 16h33

Moi ça me fait du bien de voir des cas comme ça, je me dis, au moins, que je ne suis pas le plus nul


Hok 1b hgd3rj - Eugenol
Hokusai

31/03/2022 à 17h05

C est pas mal du tout... Belle gestion des excès de ciment... Très bonne adaptation.


Evident2 euit5k - Eugenol
C-evident

31/03/2022 à 19h22

C'est pour faire des TFM + couronnes RAC0 ? ;-)


Tozzi

01/04/2022 à 10h14

Tu as du bol c'est la dent du milieu. Tu peux retailler et faire un bridge :)