Cookie Consent byPrivacyPolicies.comQuel est cet implant ? - Eugenol

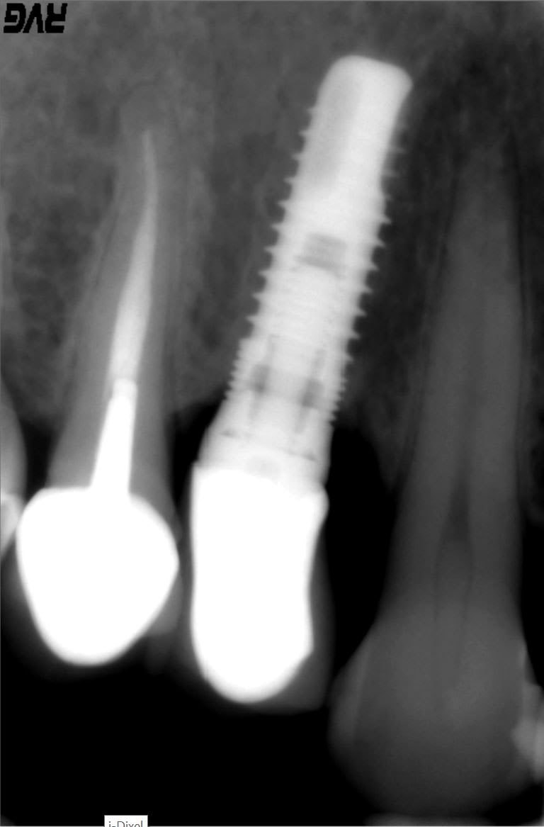
Quel est cet implant ?

OOscar

14/04/2022 à 08h52

Je vous remercie pour votre aide.

N6jt6ytjq8rrql7gnov979uc7n71 - Eugenol

Photo pluton1b h9n4ea - Eugenol
pluton

14/04/2022 à 13h11

Serf EVL N
Maintenant Global D


OOscar

14/04/2022 à 13h39

Super. Merci beaucoup.