Cookie Consent byPrivacyPolicies.comidentification implant - Eugenol

identification implant

moi22

15/04/2022 à 11h58

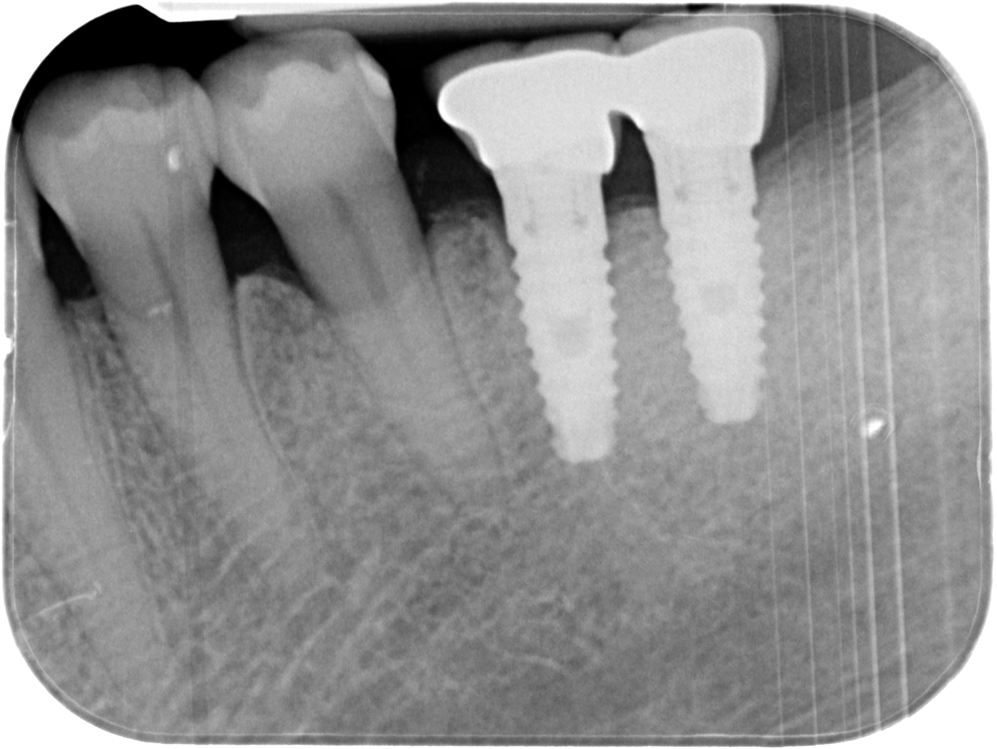
Bonjour à tous, avez vous une idée de la marque de ces implants posées il y a environ 15 ans ?

Merci pour vos retours.

3o4a7sfkg72e30nlgkl2je85qdx8 - Eugenol

Photo pluton1b h9n4ea - Eugenol
pluton

15/04/2022 à 14h27

dommage que la radio soit pas un peu plus nette/contrastée....
mais ils ont une bonne gueule de biohorizons....