Cookie Consent byPrivacyPolicies.comLe boulanger - Eugenol

Le boulanger

Pierre logo clykpp - Eugenol
Denteo33

23/05/2022 à 17h28

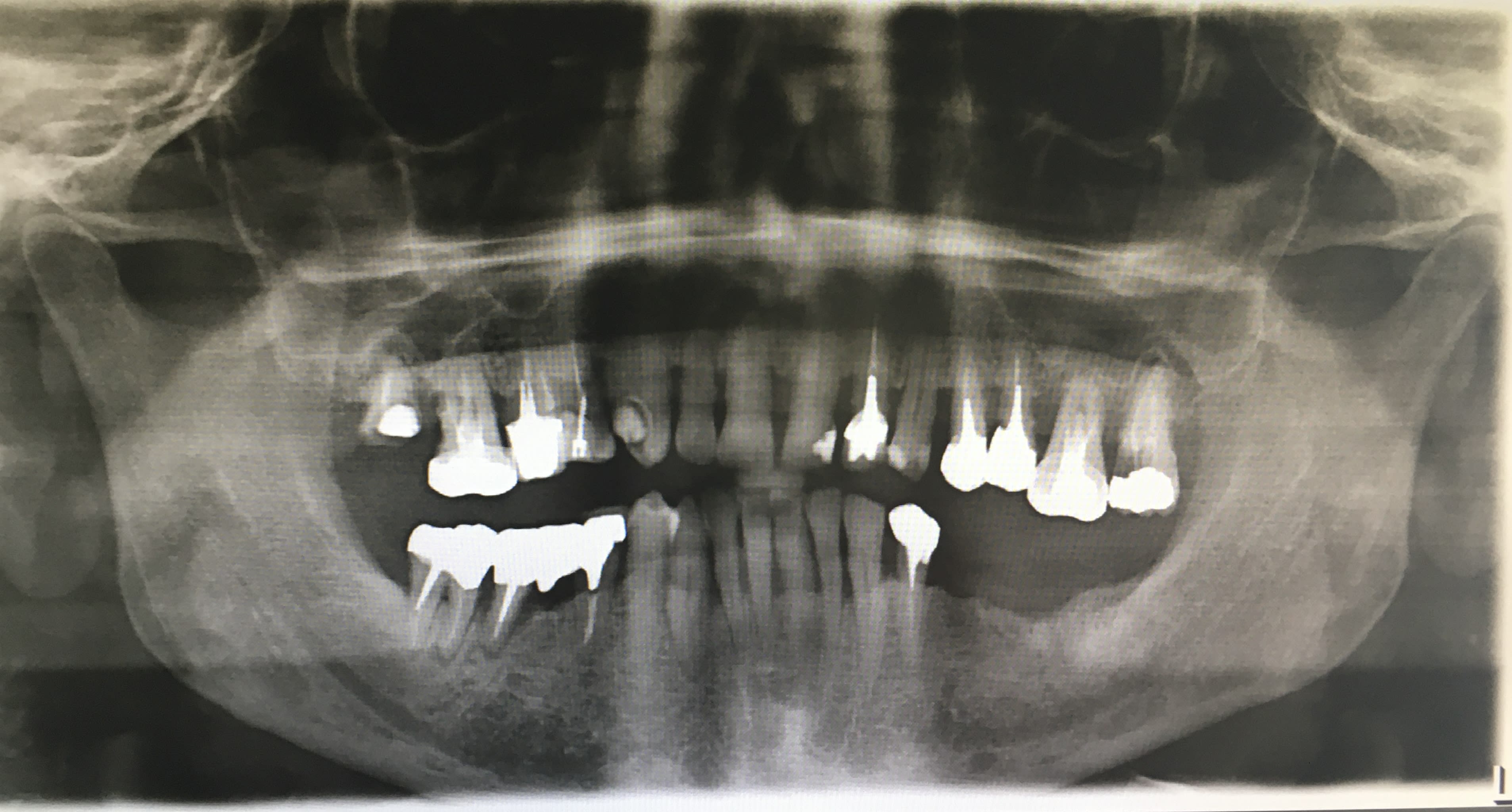
Patient de 62 ans, fumeur, hyper stresse, l’anesthésie qui prend super mal…
Je compte lui proposer - à la posit- un bridge complet à mise en charge immédiate en haut sous AG?

Ainsi que des implants secteur 3

Qu’en pensez vous?
Choqués?

Fh4jc6jkx6tnb1jrn67injy2irnf - Eugenol

Morgan ztbb1b - Eugenol
BONNET jc

23/05/2022 à 17h45

fumeur, cela ne veut rien dire.


Avatar transparent iqadnc - Eugenol
adhoc

23/05/2022 à 17h49

Les pulpects de 13 , 27 et l'extraction de 18(17?) ne vont pas se faire sous AG :-)


Photo pluton1b h9n4ea - Eugenol
pluton

23/05/2022 à 18h22

Denteo33 écrivait:
--------
> Patient de 62 ans, fumeur, hyper stresse, l’anesthésie qui prend super mal…
> Je compte lui proposer - à la posit- un bridge complet à mise en charge
> immédiate en haut sous AG?
>
> Ainsi que des implants secteur 3
>
> Qu’en pensez vous?
> Choqués?

déjà la motiver pour au moins diminuer au max le tabac.....quitte à l'aider avec patchs, ou cigarette electronique....
AG.....bof....je ne vois pas l'intérêt....


Pierre logo clykpp - Eugenol
Denteo33

23/05/2022 à 19h17

- Fumeur ~ 15 cigarettes
- Sous AG : car l’anesthésie prend chez lui super difficilement : les extractions du secteur 3 ont été très penibles


Avatar transparent iqadnc - Eugenol
adhoc

23/05/2022 à 19h33

Sous AG, ok, denteo. Mais les deux dents a devitaliser 13 et 27 peuvent etre tres hasardeuses, necessiter peut etre si tu ne trouves pas des canaux, un deuxieme RV long. Et tu dois faire ca avec le stress du temps d'anesthésie generale, avec l'anesthesiste qui regarde sa montre, pffff....
Bof, perso, j'aurais les chocottes sans entrainement contre la montre de l'AG :-) C'est toujours la ou ca merdoie :-)
L'extraction de 18 semble fastoche, par contre!


Gabzou

24/05/2022 à 00h18

J'ai toujours des doutes face au bridge complet quand toutes les dents sont là. Quand les dents vont bien je me demande pourquoi jumeler; et quand on pourrait se dire que le bridge sert de contention (comme dans ton cas) ce qui semblerait l'indication, je me dit qu'il y a forcément une dent qui va merder dans le tas et nécessiter des bricolages bien moches avec avulsions sous le bridge etc... dans quelques années.
Cela dit vu le patient et si la paro est stabilisée, pourquoi pas.

Qu'est ce que tu appelles anesthésie qui prends mal? A priori on a réussi à lui traiter endo 10 dents, je ne vois pas pourquoi ce que tu prévois ne serait pas possible, surtout si c'est au maxillaire et qu'il te reste peu de dents vivantes.
C'est de l'AG de confort pour toi et pour lui, la différence c'est que lui n'est pas conscient des risques de l'AG et que tu devrais l'en dissuader et diminuer son stress.


Pierre logo clykpp - Eugenol
Denteo33

24/05/2022 à 03h52

C’est pour cela que j’aime toujours Eugenol, pour les échanges d’idées.

Je parlais d’un bridge complet sur IMPLANTS!

La majorité des nonoliens est donc beaucoup plus conservatrice que je ne le suis et partirait sur la conservation maximale des dents avec un bridge complet « de contention »


Morgan ztbb1b - Eugenol
BONNET jc

24/05/2022 à 08h46

J'avais aussi compris bridge sur implants mais ce n'était pas clair. Fumeur, 15 cigarettes, hum!


Evident2 euit5k - Eugenol
C-evident

24/05/2022 à 08h55

Denteo33 écrivait:
> Qu’en pensez vous?
J'exposerais à ton patient toutes les actions possibles, avantages , inconvénients, opportunités, etc..
Il choisira en fonction de son projet de vie.


Bebe 038 nf8eum - Eugenol
danteyeah

24/05/2022 à 08h56

Denteo33 écrivait:
--------
> C’est pour cela que j’aime toujours Eugenol, pour les échanges d’idées.
>
> Je parlais d’un bridge complet sur IMPLANTS!
>
> La majorité des nonoliens est donc beaucoup plus conservatrice que je ne le
> suis et partirait sur la conservation maximale des dents avec un bridge complet
> « de contention »

Effectivement chacun voit le cas sous le filtre de ce qu'il maîtrise le mieux. Pour toi c'est bridge implanto et à part la clope tout semble bien jouable.
Pour moi c'est un jolie cas de restauration conventionnelle complète UNITAIRE Emax avec implanto pour 35 36 45 46 16 26, à équilibrer évidement. Mais quasi sûr que l'implanto totale sera plus pénard à faire !


Photo pluton1b h9n4ea - Eugenol
pluton

24/05/2022 à 09h24

Denteo33 écrivait:
--------
> - Fumeur ~ 15 cigarettes

çà c'est ce qu'il avoue.....compte le double....donc un bon paquet/jour

> - Sous AG : car l’anesthésie prend chez lui super difficilement : les
> extractions du secteur 3 ont été très penibles
>

chez le gros fumeur, c'est souvent le cas....cqfd pour le faire diminuer fortement......


Gabzou

24/05/2022 à 12h09

Le bridge implanto se défends aussi, sans doute autant que bridge sur dents. Par contre la gestion du niveau osseuse va être délicate.
Je comprends mieux l'AG, même si je reste assez réfractaire, mais je ne sais pas à quel point ça a été compliqué pour les avulsions (qui étaient à la mandibule cela dit, c'est toujours plus compliqué).


Vw campersurfvan bmnk1q - Eugenol
enlaye

24/05/2022 à 12h28

quoique tu fasses tu seras l homme de la situation vu que tu le lèves à 4h , c est en phase avec un boulanger .


Avatar transparent iqadnc - Eugenol
adhoc

24/05/2022 à 16h34

P'tet moins dans les DOMS east coast:-)


Pierre logo clykpp - Eugenol
Denteo33

24/05/2022 à 18h40

Non je me couchais !


Avatar transparent iqadnc - Eugenol
adhoc

24/05/2022 à 19h31

:-))


Pubg2 rjl8jc - Eugenol
lemondestvaste

25/05/2022 à 08h34

Et pourquoi pas une partie des soins sous meopa ? Perso mon le résultat sur mon fils a été bluffant. J'étais pas très pro meopa et vraiment ça permet de soins apaisés. Je suis revenu de mes préjugés.



Ça c'est pour la blague ...