Cookie Consent byPrivacyPolicies.comEsthétique suite paro - Eugenol

Esthétique suite paro

Pierre logo clykpp - Eugenol
Denteo33

29/05/2022 à 21h58

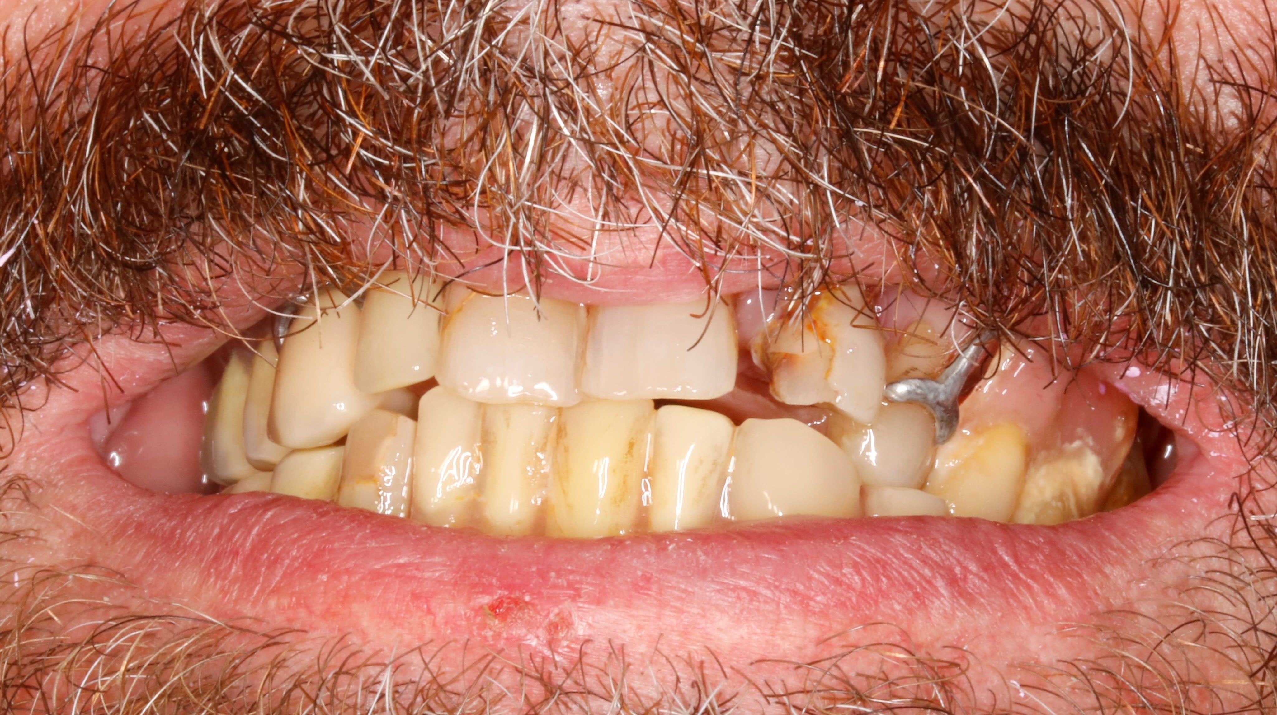
Comment géreriez vous ce cas suite paro avec récession gingivale …
Je pense que les facettes seraient trop délabrantes avec ses dents triangulaires…
J’aimerais, après éclaircissement, réaliser des chips compo pour fermer les espaces noirs
Qu’en pensez vous?

Je n’ai pas de modèles ni d’autres photos …

Fsu6w0ldyd4vma970gbwcacufyqx - Eugenol

Vw campersurfvan bmnk1q - Eugenol
enlaye

30/05/2022 à 07h56

À cause de la 22 , tu peux faire ce que tu veux ce sera moche ;
quand il n y a pas d os il n y aura jamais de papille et c est ça qui gâchera tout.
et pour faire symétrique il faudrait même aussi enlever la 12.


Vw campersurfvan bmnk1q - Eugenol
enlaye

30/05/2022 à 08h03

Tu en profiteras pour soulager les surcontacts antérieurs en faisant au moins une coronoplastie des dents du bas.
Ce n est pas un pb paro au départ c est un pb de calage post avec un mauvais centrage .


Avatar transparent iqadnc - Eugenol
adhoc

30/05/2022 à 08h54

Une fois son occlusion reglée avec les bons conseils d'enlaye, pour son esthétique il aura toujours 60-70 ans.
Tes compos en embrasure seraient du sur traitement inutile qui en plus commenceront a devenir moches dans 1.5 an.
Rien, implanto ou Lourdes.


Gabzou

30/05/2022 à 10h13

Même avis négatif sur les compos d'embrasure: ça va devenir moche rapidement, et en plus ça risque d'être iatrogène pour le maintien de l'hygiène.
Facettes et dents de cheval, chirurgie paro magique si tu connais un magicien, ou abstention. Dans le pire des cas c'est avulsion puis implant/amovible.


Photo 158 mluhia - Eugenol
robin

30/05/2022 à 11h09

allez, une solution à l'ancienne que je n'ai jamais essayé. une épithese en résine rose qui vient se " clipser " sur les incisives. c'est purement esthétique, faut l'enlever pour la nettoyer comme une prothese adjointe, ça peut rendre service...


Vw campersurfvan bmnk1q - Eugenol
enlaye

30/05/2022 à 12h24

:-)) l éfou lui :-)
non non , là , c est la vrai indication du bridge .
et oui pcq meme si tu voulais mettre des implants en place de latérale , il te faudrait quand même couronner les centrales . du coup c est con de ne pas en profiter pour faire un bridge .
ah puis les facettes aussi t oublies .
en effet dans un cas comme ça à tous les coups , les points de contacts occlusaux des incisives se trouvent trop bas et sous la ligne de plus grand contour des cingulums .
ben oui pcq les incisives ont egressé et vestibulé . ce qui fait que tu vas etre obligé de retoucher les cingulums , alors ce serait con aussi de vouloir ne faire que des facettes .


Pubg2 rjl8jc - Eugenol
lemondestvaste

30/05/2022 à 15h10

Pour être sur de bien te comprendre Enlaye, un bridge 13 23 ? Et tu gardes 12 22 finalement ??


Vw campersurfvan bmnk1q - Eugenol
enlaye

30/05/2022 à 15h48

oui meme 2 bridges 13/11 et 21/23 , après avoir enlevé 12 et 22


Wadi

30/05/2022 à 15h50

De l'ortho puisque la paro est stabilisée ?


Gabzou

30/05/2022 à 16h01

Question subsidiaire, il a quoi à la mandibule? Parce que je ne distingue pas grand chose en distal des canines. Et traiter de l'antérieur dans un tel état paro et occlusal sans calages post c'est du suicide.


Vw campersurfvan bmnk1q - Eugenol
enlaye

30/05/2022 à 16h02

.


Vw campersurfvan bmnk1q - Eugenol
enlaye

30/05/2022 à 16h13

Wadi écrivait:
----
" De l'ortho puisque la paro est stabilisée ? "
mais il n y a pas de pb paro , il n y en a jamais eu :-)
de l ortho ? pourquoi faire ??


Gabzou

30/05/2022 à 16h42

Perte osseuse et récession gingivale, pour moi c'est la définition d'un problème paro. Quelle qu'en soit l'étiologie.

Effectivement l'ortho je vois mal l'intérêt, esthétiquement les petits décalages ne sont pas vraiment un problème par rapport à l'exposition radiculaire.


Wadi

30/05/2022 à 16h55

J'ai l'impression de voir une endoalvéolie maxillaire droite. L'ortho pourrait corriger cela et, également, symétriser le tout. Ce qui rendrait ensuite la solution prothétique retenue plus facile à réaliser.

Si la problématique paro est causée par un problème d'occlusion, l'ortho pourrait aussi corriger l'angle inter-incisif en ajustant la version et la position des incisives maxillaires et/ou mandibulaires. A voir, également, si on peut ingrésser les incisives maxillaires.


Ylfwcw979cz1jnx9gfqeaxndiuzk - Eugenol
Algi

30/05/2022 à 18h29

Ce qui me fait rire ici c'est qu'on voit vaguement de 13 à 23 et que ça part dans des délires que même si on avait moulages face profil et vue de derrière ils resteraient très madame soleil....
Certes enlaye à beaucoup d'expérience mais c.est limite boule de cristal cette histoire.


--

On a toujours le choix mais entre quoi et quoi?
Vas-y boulégue et l'avenir te le dira!


Vw campersurfvan bmnk1q - Eugenol
enlaye

30/05/2022 à 19h02

Gabzou écrivait:
------
" Perte osseuse et récession gingivale, pour moi c'est la définition d'un problème paro. Quelle qu'en soit l'étiologie. "
oui , c est un peu ce que je voulais dire , tu dis :
" quelle en soit l étiologie " or s il y a effectivement une étiologie occlusale , de toute evidence il n y a pas eu de ttt occlusal , donc il n y a pas eu de ttt paro :-)))


Vw campersurfvan bmnk1q - Eugenol
enlaye

30/05/2022 à 19h15

Wadi écrivait:
----
" Si la problématique paro est causée par un problème d'occlusion, l'ortho pourrait aussi corriger l'angle inter-incisif en ajustant la version et la position des incisives maxillaires et/ou mandibulaires. A voir, également, si on .... "

ah oui ? ben moi je te parie un billet violet que tu ne trouveras aucun ortho qui accepte de s occuper de ce cas et ceci pour 2 raisons :
d abord pcq il n y a plus d os ,
mais surtout c est que tu vas toi lui donner des ordres et ça ils n aiment pas , mais alors pas du tout .
tu comprends c est gênant de se faire payer 10 fois plus que l architecte alors que tu es sous ses ordres .


Vw campersurfvan bmnk1q - Eugenol
enlaye

30/05/2022 à 19h17

Algi écrivait:
----
" Certes enlaye à beaucoup d'expérience mais c.est limite boule de cristal cette histoire. "

bien sur avec les éléments qu on a , c est de la pure fiction , mais c est aussi le jeu d Eugenol :-))


Hok 1b hgd3rj - Eugenol
Hokusai

30/05/2022 à 19h28

tu lui dis juste de laisser pousser sa moustache... pbm solved.


Vw campersurfvan bmnk1q - Eugenol
enlaye

30/05/2022 à 19h42

oui , la moustache sauve :-)
celui là que je viens de finir a grand coup de raco , n est pas prêt de l enlever , enfin , j espère :-)

Zzgy7cbd1y2daxgmn4g1a1l76b0x - Eugenol
Dxmmj1ci5k1hnr27r83gbybq0jgj - Eugenol

Ylfwcw979cz1jnx9gfqeaxndiuzk - Eugenol
Algi

30/05/2022 à 20h19

Une foule avec des dents dedans.... je savais que ça existait !

OK je sors


--

On a toujours le choix mais entre quoi et quoi?
Vas-y boulégue et l'avenir te le dira!


Hok 1b hgd3rj - Eugenol
Hokusai

30/05/2022 à 21h00

enlaye écrivait:
------
> oui , la moustache sauve :-)
> celui là que je viens de finir a grand coup de raco , n est pas prêt de l
> enlever , enfin , j espère :-)

mais mais !!?! c est de la full zircone !!?!?


Vw campersurfvan bmnk1q - Eugenol
enlaye

30/05/2022 à 23h22

Oui zircon full , au prix raco voir moins .


Vw campersurfvan bmnk1q - Eugenol
enlaye

31/05/2022 à 00h33

Mais bon , le fait que ce soit du full ou pas ne change pas le pb .
Le pb étant que l os ayant disparu , l ancienne embrasure se vide et donc s agrandi et que la nouvelle a venir devient trop petite . Forcément puisque l axe des dents est divergent .
Donc plus l os diminue plus tu dois raccourcir les dents en longueur et en largeur . Ce qui ne ressemble plus à rien .
Ou alors tu te fais de la place en largueur ( par exemple en enlevant les latérales ) et dans ce cas tu n es plus guidé par la gestion de la papille et tu peux alors conserver l aspect originel des dents et du sourire .


12